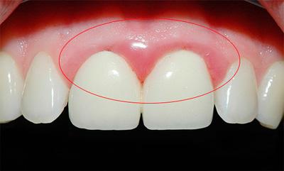
Наверное, каждый сталкивался с проблемой боли в зубах, с опуханием десен и дискомфортом, связанным с этим состоянием.
Как правило, человек пренебрегает тем, чтобы обратиться к врачу по этому поводу, надеясь, что все пройдет само собой. Максимум, может прополоскать ротовую полость настоем ромашки или чем-то подобным.
Однако состояние, когда опухла десна и при этом болит зуб, иногда становится предвестником начинающейся болезни, требующей осмотра и лечения стоматолога.
Odnoklassniki
Причины болей и воспалений
Боль в десне под зубом может возникать в результате:
- стоматологических заболеваний;
- травм разного действия;
- неправильного проведения гигиенических процедур ротовой полости.
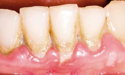
Если своевременно не заниматься лечением стоматологических заболеваний, то это провоцирует размножение бактерий и возникновение воспалительного процесса. А такие заболевания, как флюс, киста, гингивит и абсцесс приносят сильную боль даже в спокойном состоянии.
Скопления мягкого микробного зубного налета
Самое распространенное заболевание, которое провоцирует боль в десне — гингивит. При нем наблюдается отечность тканей вокруг зуба и их кровоточивость. Если не заняться лечением вовремя, то данное заболевание может перерасти в пародонтит. Поражаются глубокие ткани слизистой, что чревато возникновением сильной боли. Боль чувствуется даже, если нажимать на губу под носом. Связь зуба с тканями, которые его держат, нарушается, поэтому нажимая на зуб можно отметить его движение.
Именно поэтому рекомендуется на начальной стадии лечить воспалительный процесс, тогда терапия даст быстрый результат без осложнений.
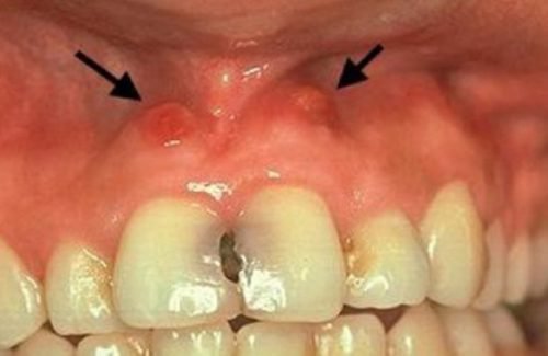
Периодонтит. В этом случае зуб при надавливании на десну болит в результате развития абсцесса и скопления гноя у корня зуба. Такие неприятности могут появиться, если длительное время не заниматься лечением кариеса, который привел к пульпиту.
Хронический периодонтит обоих центральных резцов
Некачественное лечение. Боль десны возле зуба, может быть спровоцирована неправильным (некачественным) лечением. Некачественная чистка каналов, неполное их заполнение, что оставляет место для развития бактерий и распространению инфекции. Травму тканей можно получить о края неровной пломбы, что и является причиной возникновения сильной боли в процессе надавливания на десну.
Почему опухают губы
Если опухла губа, причинами такого явления могут стать:
- ушибы;
- травмы слизистой оболочки;
- герпесная или другие инфекции;
- нарушение правил проведения стоматологических процедур;
- воспалительные процессы;
- сон в «неправильном» положении;
- аллергические реакции.
Когда опухает губа, это может быть спровоцировано онкологическими заболеваниями, термическими травмами в виде обморожений или ожогов, реакцией организма на анестезию, на пищевые раздражители (цирусовые, мяту, перец). Рот может опухнуть, если накануне проводились косметические процедуры, связанные с коррекцией его формы, скрабированием, нанесением перманентного макияжа, прокалываниями, пирсингом.
Опуханию по утрам может предшествовать большое количество жидкости, выпитой накануне вечером или развитие аллергических реакций. Отеки нередко встречаются на лице у мужчин, злоупотребляющих алкоголем. В этом случае в течение дня они держатся 2 часа и больше.
В некоторых случаях губы опухают из-за привычки кусать их. Это может приводить к инфицированию с последующим развитием отека, повреждений слизистой и необходимости лечить человека антибиотиками.
Распространенной является следующая ситуация – опухла губа от герпеса. Данный вирус присутствует в организме более чем 80% населения земного шара. Во время простуды, беременности герпес активизируется в виде болячек на различных участках тела.
Схема лечения для устранения боли и воспаления
Что делать, когда десна вокруг зуба болит при надавливании? Выбор метода лечения напрямую зависит от причины, которая привела к болезненности тканей и ее определить точно сможет только стоматолог.
Если диагностирован гингивит или пародонтит, то врач назначит процедуры, которые смогут нейтрализовать негативное воздействие бактерий. Для этого в стоматологическом кабинете дантист снимает профессиональным методом налет и образовавшиеся камни (аппаратным или ручным методом). Далее, специалист распишет систему по противовоспалительному лечению и обяжет тщательно выполнять дома гигиену ротовой полости утром и вечером.
При пародонтите на первом этапе нужно вылечить кариес, удалить старый пломбировочный материал и прочистить каналы, которые закрываются временной пломбой. После лечения пациенту назначается противовоспалительная терапия антибиотиками. Если после процедуры, когда действие анестезии завершится, зуб и десна снова начнут болеть, то можно попить Парацетамол. Если слизистая под зубом воспалилась, то рекомендуется полоскать ротовую полость Хлоргексидином или отваром ромашки и коры дуба. Только когда доктор удостоверится в полном отсутствии воспаления, он сможет запломбировать каналы и поставить постоянную пломбу. Нажмите на зуб — если появляется боль, то надо продолжать лечение.
Ромашка для полосканий снимает воспаление
Чем лечить флюс, который образовался на десне? Такая реакция вызывается гноем, собравшимся под зубом, который давит на ткани и нервы в поисках выхода. Это и является причиной болей, которые возникают, если надавить на десну. В этом случае не удастся себе помочь самостоятельно, единственный выход — хирургическое вмешательство. Специалист разрезает место флюса и очищает его от гноя.
После проведения такой операции потребуется промывание антисептическими растворами и регулярный осмотр зубов и десен, чтобы исключить повтор ситуации.
Часто болит десна при надавливании в результате ее травмирования, полученного после лечения. Такое воспаление снимается полосканием антибактериальными и заживляющими жидкостями. Если рана спровоцирована острым концом пломбы, то его нужно сточить и заполировать. Дантист назначит специальный раствор для полоскания в зависимости от глубины и количества ран.
Независимо от причины болевого синдрома нельзя накладывать теплые компрессы на десну. Если развивается воспалительный процесс, то при прогревании он может только усилиться.
Первая доврачебная помощь взрослым
Что делать если опухла губа, а обратиться к врачу нет возможности? Следует предпринять некоторые меры для предотвращения осложнений. Для того чтобы справиться с отёком самостоятельно, иногда достаточно приложить ко рту холодный компресс, например, полотенце с завёрнутыми в него кусочками льда. Это особенно полезно, если губа припухла в результате травмы.
В некоторых случаях опухание верхней губы можно остановить, сделав компресс из листьев алоэ. Следует разрезать их вдоль и срезанной стороной приложить к повреждённой губе. Иногда помогает небольшой компресс из остуженного чайного пакетика.
Алоэ используют для первой доврачебной помощи
Народные методы лечения
Любые полоскания и другие народные средства не помогут полностью избавиться от причин, которые привели к воспалению. Тем более, если проблема запущена и больно надавливать на десну около зубов. Однако, используя народные рецепты можно притупить боль и приостановить (снизить) темп развития воспалительного процесса. Лечение с использованием народных рецептов дает хорошие результаты, когда проводится в комплексе с медикаментозным. Ниже представим несколько самых действенных рецептов, которые помогут снять боль и убрать нагноение:
- «Зубная паста индейцев». Данная паста обладает дезинфицирующим свойством и хорошо успокаивает воспаленную слизистую десен. Для приготовления потребуется 3 ст. ложки измельченной морской соли и 2 ч.л. измельченной сухой кожи банана. Порошкообразные составляющие перемешиваются и разводятся оливковым маслом до пастообразного состояния. Состав наносится на зуб и втирается в ткани вокруг него утром и вечером. Выдерживается как минимум 10 минут. После того как остатки сплевываются ротовую полость нельзя полоскать.
- Деготь от нарыва. Когда между зубами на мягких тканях появился флюс или опухоль, то с ними также можно бороться, используя народные средства. Одно из самых действенных, заключается в использовании ржавого гвоздя. В огнеупорную посуду наливается около 5 см липового меда (обязательно жидкого). Берется старый гвоздь, обильно покрытый ржавчиной, накаливается до красноты и опускается в мед. Ржавчина вступает с медом в реакцию, образуя темное вещество, по составу напоминающее деготь. Этим веществом смазываются на ночь больные мягкие ткани во рту. Через несколько процедур нарыв должен прорвать, а рана постепенно зажить.
- Смесь ранозаживляющая. Смешивается желток с чайной ложкой сахарной пудры и столовой ложкой оливкового масла. Небольшой кусочек белой чистой ткани пропитывается данной смесью и накладывается в виде аппликации на больное место.
«Зубная паста индейцев» — морская соль и кожура банана
Как снять боль при надавливании на десну
Помните, помочь искоренить боль, испытываемую при нажатии на десны или зубы, может только врач-стоматолог. Важно быстро определить причину неприятных ощущений и назначить грамотное лечение. Однако, чтобы устранить неприятные ощущения до визита к врачу, можно попробовать следующие методы:
- Принять обезболивающие таблетки, например, парацетамол или анальгин. Главное – не переусердствовать с подобными средствами, так как они могут вызвать привыкание и негативно повлиять на работу внутренних органов.
- Как следует почистить зубы, стараясь освободить воспаленную полость от налета и частичек пищи.
- Прополоскать рот раствором пищевой соды, фурацилином или марганцовкой.
Помните, категорически запрещается прогревать щеки и десны и прикладывать к больному месту теплые компрессы. Тепло может спровоцировать более серьезное воспаление. Также без назначения врача нельзя принимать антибактериальные или противовоспалительные препараты.
Запрещается также класть в полость больного зуба анальгетики. Такой популярный способ далеко не безопасен: можно не только занести инфекцию, но и получить серьезный ожог слизистой.
Осложнения при воспалении десен
Если нажимая на десну, она начинает болеть, это является важным поводом для посещения стоматолога. При длительном игнорировании проблемы, не придавая данному симптому значения, пациент рискует спровоцировать усиление воспалительного процесса. Запущенный гингивит перерастет в пародонтит. Воспалившиеся мягкие ткани и опустившиеся зубные камни оголяют шейку зуба, делая его подвижным, что может привести к их потере. Для женщин в положении последствиями воспалительных процессов в ротовой полости могут стать развитие сердечных, эндокринных и легочных болезней. Болезнетворные бактерии негативно влияют на состояние здоровья будущих матерей.
Если не лечить периодонтит, можно спровоцировать интоксикацию организма и снижение иммунитета. Активное размножение патогенных бактерий на зубах и деснах приводит к тому, что они попадают в кровь. По крови инфекция быстро разносится по всему организму, вызывая заражение органов, что может привести к летальному исходу.
Образование свищей и кист на мягких тканях челюсти тоже не добавляют здоровья и красоты. В тяжелых случаях свищ может затрагивать мышцу лица, к тому же дефект уже сложно скрыть от посторонних глаз. Иногда грануляции растворяются и образуют в десне полость, заполненную жидкостью. Такая киста, нажимая на челюсть, вызывает острую боль, а при разрыве даже может спровоцировать ее перелом.
Киста на десне
Каждая зубная болезнь из вышеперечисленного списка может быть устранена в процессе правильного лечения, назначенного специалистом стоматологом. Ведь сами по себе заболевания не исчезают, с ними нужно бороться всеми доступными методами. Если при надавливании десна отзывается болью нужно искать причину такой реакции. Бактерии могут попасть в ротовую полость из носа или горла, и прекрасно развиваться в теплом влажном месте, провоцируя возникновение воспалительного процесса. Запущенные болезни в ротовой полости могут нанести непоправимый вред человеческому организму. Занимайтесь своим здоровьем постоянно и не пропускайте плановые осмотры у дантиста.
Source: zubnoimir.ru
Диагностика
За помощью нужно направиться, в первую очередь, к стоматологу. Если по результатам осмотра он определит, что сможет вылечить опухоль, пациент пройдёт обследование (обычно, направляют на рентген).
В ряде случаев опухоль проявляется из-за проблем внутри костных тканей или иных патологий, лечение которых стоматологу не под силу. Чаще всего, пациенту требуется операция. В такой ситуации он направит больного к челюстно-лицевому хирургу.
Обратите внимание! Поскольку губа может распухнуть и из-за непрофессионального лечения (неправильная установка пломбы, периодонтит и пр.), обращаться нужно только к квалифицированному специалисту.





