Лейкоэнцефалопатия головного мозга у детей — серьезное неврологическое заболевание, поражающее белое вещество мозга и вызывающее когнитивные и моторные нарушения. В статье рассмотрим основные формы лейкоэнцефалопатии, их причины, механизмы развития, клинические проявления, а также диагностику и лечение. Понимание этой патологии важно для родителей и врачей, так как ранняя диагностика и адекватное лечение могут улучшить качество жизни детей с этим заболеванием.
Классификация
Существует несколько типов лейкоэнцефалопатии.
Врачи отмечают, что лейкоэнцефалопатия головного мозга у детей представляет собой серьезную проблему, требующую внимательного подхода. Это заболевание характеризуется поражением белого вещества мозга, что может приводить к различным неврологическим нарушениям. Специалисты подчеркивают важность ранней диагностики, так как своевременное вмешательство может существенно улучшить прогноз для ребенка.
Медики акцентируют внимание на том, что причины лейкоэнцефалопатии могут быть разнообразными: от генетических факторов до инфекционных заболеваний. Врачи рекомендуют родителям быть внимательными к любым изменениям в поведении и развитии ребенка, так как это может быть сигналом о наличии проблемы.
Лечение требует комплексного подхода, включая медикаментозную терапию и реабилитацию. Врачи также подчеркивают необходимость междисциплинарного взаимодействия, чтобы обеспечить детям наилучшие условия для развития и адаптации.

Мелкоочаговая
Это сосудистая лейкоэнцефалопатия, представляющая собой хроническое заболевание, возникающее на фоне повышенного артериального давления. Она также известна как прогрессирующая сосудистая лейкоэнцефалопатия или субкортикальная атеросклеротическая энцефалопатия.
Дисциркуляторная энцефалопатия, которая характеризуется медленным прогрессированием диффузного поражения сосудов головного мозга, имеет схожие клинические проявления с мелкоочаговой лейкоэнцефалопатией. Ранее это заболевание входило в Международную классификацию болезней десятого пересмотра (МКБ-10), но в настоящее время оно из нее исключено.
Наиболее часто мелкоочаговая лейкоэнцефалопатия диагностируется у мужчин старше 55 лет, у которых имеется генетическая предрасположенность к данному заболеванию.
В группу риска попадают пациенты, страдающие следующими заболеваниями:
- атеросклероз (образование холестериновых бляшек, которые закупоривают сосуды и нарушают кровоснабжение головного мозга);
- сахарный диабет (при этом заболевании кровь становится более вязкой, что замедляет ее движение);
- врожденные и приобретенные заболевания позвоночника, приводящие к ухудшению кровоснабжения мозга;
- ожирение;
- алкоголизм;
- никотиновая зависимость.
Кроме того, к развитию этой патологии могут способствовать неправильное питание и малоподвижный образ жизни.
| Причина | Симптомы | Диагностика |
|---|---|---|
| Генетические мутации (например, синдром Ван дер Кнаапа, мегалоэнцефалическая лейкоэнцефалопатия с субкортикальными кистами) | Задержка психомоторного развития, судороги, атаксия, спастичность, нарушения зрения и слуха | МРТ головного мозга, генетическое тестирование, биохимический анализ крови и мочи |
| Метаболические нарушения (например, лейкодистрофии, митохондриальные заболевания) | Регресс ранее приобретенных навыков, мышечная слабость, нарушения глотания, дыхательная недостаточность | МРТ головного мозга, биохимический анализ крови и мочи, биопсия мышц или кожи |
| Инфекции (например, врожденные инфекции, ВИЧ-ассоциированная лейкоэнцефалопатия) | Лихорадка, судороги, менингеальные симптомы, очаговая неврологическая симптоматика | МРТ головного мозга, анализ ликвора, серологические исследования |
| Гипоксически-ишемическое повреждение (например, перивентрикулярная лейкомаляция у недоношенных) | Задержка развития, церебральный паралич, когнитивные нарушения | МРТ головного мозга, УЗИ головного мозга (у новорожденных) |
| Токсические воздействия (например, воздействие некоторых лекарственных препаратов, отравления) | Острая энцефалопатия, судороги, кома, очаговая неврологическая симптоматика | МРТ головного мозга, токсикологический анализ крови и мочи |
Прогрессирующая мультифокальная лейкоэнцефалопатия
Это наиболее опасная форма заболевания, которая часто приводит к летальному исходу. Патология имеет вирусное происхождение.
Возбудителем является полиомавирус человека 2. Этот вирус присутствует у 80% населения, однако заболевание развивается только у пациентов с первичными и вторичными иммунодефицитами. У таких людей вирусы, попадая в организм, еще больше ослабляют иммунную систему.
Прогрессирующая многоочаговая лейкоэнцефалопатия диагностируется у 5% пациентов с ВИЧ и у половины больных СПИДом. Ранее это заболевание встречалось гораздо чаще, но благодаря антиретровирусной терапии (ВААРТ) его распространенность значительно снизилась. Клинические проявления патологии разнообразны.
Заболевание может проявляться следующими симптомами:
- периферическими парезами и параличами;
- односторонней гемианопсией;
- синдромом оглушения сознания;
- изменениями личности;
- поражением черепно-мозговых нервов;
- экстрапирамидными синдромами.
Нарушения в центральной нервной системе могут варьироваться от легкой дисфункции до тяжелого слабоумия. У пациентов могут наблюдаться проблемы с речью и полная потеря зрения. Часто у больных развиваются серьезные нарушения со стороны опорно-двигательного аппарата, что приводит к утрате работоспособности и инвалидности.
В группу риска входят следующие категории людей:
- пациенты с ВИЧ и СПИДом;
- получающие лечение моноклональными антителами (назначаемыми при аутоиммунных и онкологических заболеваниях);
- перенесшие пересадку органов и принимающие иммунодепрессанты для предотвращения отторжения;
- страдающие злокачественной гранулемой.
Перивентрикулярная (очаговая) форма
Патология возникает вследствие хронического недостатка кислорода и нарушенного кровоснабжения головного мозга. Ишемические зоны могут находиться как в белом, так и в сером веществе мозга.
Чаще всего патологические участки располагаются в мозжечке, стволе мозга и лобной коре больших полушарий. Эти области мозга играют ключевую роль в контроле движений, поэтому при развитии данной формы заболевания наблюдаются нарушения двигательной активности.
Эта разновидность лейкоэнцефалопатии встречается у детей, которые страдают от различных заболеваний, связанных с гипоксией во время родов и в первые дни жизни. Данная патология также известна как «перивентрикулярная лейкомаляция» и часто становится причиной развития детского церебрального паралича (ДЦП).
Лейкоэнцефалопатия с исчезающим белым веществом
Данная патология диагностируется у детей, и первые признаки заболевания могут проявляться у пациентов в возрасте от 2 до 6 лет. Основной причиной ее возникновения является генетическая мутация.
У таких пациентов можно наблюдать следующие симптомы:
- нарушения координации движений, связанные с повреждением мозжечка;
- слабость в конечностях;
- ухудшение памяти, снижение умственной активности и другие когнитивные расстройства;
- атрофия зрительного нерва;
- эпилептические приступы.
У детей младше года могут возникать проблемы с кормлением, рвота, высокая температура, задержка в психическом развитии, повышенная возбудимость, а также повышенный тонус мышц рук и ног, судороги, ночное апноэ и даже кома.
Клиническая картина
Признаки лейкоэнцефалопатии, как правило, развиваются постепенно. На начальных этапах заболевания пациент может проявлять рассеянность, неловкость и безразличие к окружающему. У него возникают слезливость, затруднения в произношении сложных слов, а также снижение умственной активности.
С течением времени добавляются проблемы со сном, повышается мышечный тонус, больной становится более раздражительным, у него могут наблюдаться непроизвольные движения глаз и шум в ушах.
Если не начать лечение лейкоэнцефалопатии на этой стадии, заболевание будет прогрессировать, что может привести к психоневрозам, выраженному слабоумию и судорогам.
К основным симптомам этого заболевания относятся следующие отклонения:
- двигательные расстройства, проявляющиеся в нарушении координации, слабости в конечностях;
- возможен односторонний паралич рук или ног;
- речевые и зрительные нарушения (скотома, гемианопсия);
- онемение различных участков тела;
- проблемы с глотанием;
- недержание мочи;
- эпилептические приступы;
- снижение интеллекта и легкое слабоумие;
- тошнота;
- головные боли.
Все симптомы, связанные с поражением нервной системы, развиваются очень быстро. У пациента может наблюдаться ложный бульбарный паралич, а также паркинсонический синдром, который проявляется нарушениями походки, письма и дрожанием тела.
Практически у каждого пациента отмечается ухудшение памяти и интеллекта, а также неустойчивость при изменении положения тела или во время ходьбы.
Часто люди не осознают, что страдают от болезни, и именно поэтому к врачу их приводят родственники.
Диагностика
В дополнение к консультации невролога и выполнению клинических анализов крови, для диагностики заболеваний специалисты применяют:
- компьютерную томографию;
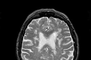
- магнитно-резонансную томографию, особенно для выявления диффузно очаговой перивентрикулярной лейкоэнцефалопатии;
- ультразвуковую допплерографию;
- биопсию мозговых тканей;
- электроэнцефалографию;
- пункцию спинномозговой жидкости.
Терапия
Лейкоэнцефалопатия является хроническим заболеванием, которое на сегодняшний день не поддается полному излечению. Тем не менее, важно обратиться к медицинскому учреждению для подбора подходящего медикаментозного лечения. Основная задача терапии заключается в замедлении прогрессирования болезни и восстановлении функций головного мозга.
Лечение лейкоэнцефалопатии требует комплексного подхода, включая как симптоматическую, так и этиотропную терапию. Каждый случай требует индивидуального подхода.
Врач может назначить следующие группы препаратов:
- средства, улучшающие мозговое кровообращение (например, Винпоцетин, Актовегин, Трентал);
- нейрометаболические стимуляторы (такие как Фезам, Пантокальцин, Луцетам, Церебролизин);
- ангиопротекторы (например, Стугерон, Курантил, Зилт);
- поливитаминные комплексы, содержащие витамины группы В, ретинол и токоферол;
- адаптогены, такие как экстракт алоэ и стекловидное тело;
- глюкокортикостероиды для снятия воспалительных процессов (например, Преднизолон, Дексаметазон);
- антидепрессанты (например, Флуоксетин);
- антикоагулянты, помогающие снизить риск тромбообразования (такие как Гепарин, Варфарин);
- при вирусной природе заболевания могут быть назначены Зовиракс, Циклоферон, Виферон.
Дополнительно могут быть рекомендованы:
- физиотерапия;
- рефлексотерапия;
- акупунктура;
- дыхательные упражнения;
- гомеопатические средства;
- фитотерапия;
- массаж области шеи и плеч;
- мануальная терапия.
Сложность лечения заключается в том, что многие противовирусные и противовоспалительные препараты не способны преодолевать гематоэнцефалический барьер, что ограничивает их эффективность в воздействии на патологические очаги.
Прогноз при лейкоэнцефалопатии
Продолжительность жизни с данной болезнью зависит от общего состояния здоровья, возраста, в котором были выявлены первые симптомы, а также от причин заболевания. При адекватной медицинской помощи пациенты могут прожить всего несколько лет. В случае неэффективного лечения, больной может не дожить и до полугода. Некоторые люди уходят из жизни всего через 2-3 месяца после установления диагноза.
Важным аспектом является правильный выбор терапевтического подхода. К сожалению, родственники некоторых пациентов ошибочно прибегают к лечению голоданием, хотя его положительное воздействие не было научно подтверждено. Напротив, такой подход может еще больше ослабить организм, и иммунная система может упасть до критически низкого уровня. В таких случаях пациент может не продержаться и недели.
Профилактика
Заболевание не имеет четко установленной схемы лечения и профилактики. Для минимизации риска его развития врачи рекомендуют следовать простым советам, а именно:
- отказаться от алкоголя и курения;
- придерживаться принципов здорового питания;
- избавиться от избыточного веса;
- обеспечить адекватное лечение гипертонии у пожилых пациентов;
- регулярно гулять на свежем воздухе;
- увеличивать уровень умственной и физической активности;
- принимать витаминно-минеральные комплексы.
На данный момент не существует полного набора профилактических рекомендаций.
Что такое лейкоэнцефалопатия головного мозга
Под общим понятием подразумевается заболевание, при котором происходит поражение белого вещества головного мозга. Очаги поражения увеличиваются из-за нарушений кровообращения в сосудах и возможного инфицирования вирусом. Согласно данным Всемирной организации здравоохранения, наследственный фактор играет значительную роль в развитии лейкоэнцефалопатии, что связано с наличием измененного гена.
Это заболевание может привести к серьезным последствиям: наблюдается прогрессирование слабоумия, ухудшение зрения вплоть до полной его потери, а также возможны судороги. Основная угроза заключается в том, что лейкоэнцефалопатия не поддается лечению с помощью медикаментов или хирургических методов. Терапия в данном случае носит паллиативный характер и направлена на улучшение состояния пациента и продление его качества жизни.
Причины лейкоэнцефалопатии
Причины возникновения заболевания могут быть связаны как с врожденным, так и с приобретенным иммунодефицитом, а также с воздействием полиомавируса на организм.
Факторы, способствующие развитию болезни, можно перечислить следующим образом:
- вирус иммунодефицита человека;
- синдром приобретенного иммунодефицита (СПИД);
- злокачественные опухоли крови;
- артериальная гипертензия;
- длительное применение иммунодепрессантов;
- перенесенные операции по трансплантации органов;
- лимфогранулематоз;
- туберкулез;
- заболевания легких;
- злокачественные новообразования в организме.
Лейкоэнцефалопатия головного мозга представляет собой неизлечимый процесс, независимо от ее формы и причин возникновения.
Виды лейкоэнцефалопатии
Медицина выделяет несколько типов заболеваний:
-
Мелкоочаговая форма. Это состояние рассматривается как хронический процесс, при котором происходит постепенное разрушение клеток головного мозга. В группе риска находятся пациенты старше 60 лет. Основной причиной является наследственная предрасположенность. Данная форма часто наблюдается у людей с хронической артериальной гипертензией. На начальных стадиях проявляются симптомы старческого слабоумия, которые в дальнейшем могут привести к летальному исходу.
-
Прогрессирующая мультифокальная форма. Лейкоэнцефалопатия этого типа имеет вирусное происхождение и характеризуется резким началом и быстрым прогрессированием. На фоне снижения иммунной защиты наблюдается разжижение белого вещества, что запускает необратимые процессы. Исход заболевания, как правило, фатален.
-
Перивентрикулярная неспецифическая форма. Поражение мозга происходит на фоне ишемии, чаще всего затрагивая столб. Основной причиной является длительная гипоксия клеток и сосудов головного мозга. Первым признаком заболевания становятся двигательные расстройства. У детей лейкоэнцефалопатия этого типа может привести к детскому церебральному параличу, и часто заболевание прогрессирует из-за родовой травмы.
Сколько живут при лейкоэнцефалопатии – прогноз
На сегодняшний день невозможно полностью вылечить лейкоэнцефалопатию сосудистого генеза. Основная задача медикаментозного лечения заключается в поддержании качества жизни пациента и его продлении. Прогнозы, к сожалению, неутешительные: лишь 40% людей с данным диагнозом смогут прожить более полугода с момента его установления.
Достичь положительных результатов можно, если начать антиретровирусную терапию сразу после обнаружения поражений в мозговой ткани. В этом случае продолжительность жизни пациента может увеличиться до 1-2 лет. Однако избежать проявлений деменции не удастся.
При остром течении заболевания, сопровождающемся активным прогрессированием ретровируса, продолжительность жизни пациента не превышает одного месяца.
Летальный исход является неизбежным и представляет собой конечный результат лейкоэнцефалопатии любого типа.
Симптомы и признаки
Лекоэнцефалопатия на начальной стадии проявляется нечеткими клиническими признаками, а характерные симптомы начинают проявляться по мере прогрессирования заболевания.
К числу первых симптомов болезни можно отнести:
- снижение работоспособности;
- проблемы со сном;
- мышечный гипертонус;
- повышенную раздражительность;
- апатию;
- нарушения координации движений;
- подавленное настроение;
- рассеянность.
На ранних этапах развития заболевания пациент начинает терять интерес к жизни, отказывается от выполнения привычных домашних дел и испытывает трудности с произношением сложных слов.
Клиническая картина на более поздних стадиях выглядит следующим образом:
- слабость в конечностях;
- нарушения координации движений;
- изменения в походке;
- паралич верхних и нижних конечностей (как односторонний, так и двусторонний);
- проблемы с речью;
- потеря зрения;
- снижение интеллекта;
- отсутствие контроля над мочеиспусканием;
- дисфагия.
С особенными трудностями сталкиваются близкие пациента по мере прогрессирования деменции. Человек, страдающий от этого состояния, не осознает, что нуждается в помощи и уходе, может проявлять агрессию и иногда становиться социально опасным.
Лечение
Лечение лейкоэнцефалопатии головного мозга включает комплексный подход, который сочетает медикаментозные, физиотерапевтические и другие вспомогательные методы. Эта болезнь считается неизлечимой, поэтому основная задача врача заключается в том, чтобы продлить жизнь пациента и улучшить ее качество.
При лейкоэнцефалопатии происходит повреждение сосудов головного мозга, поэтому медикаментозная терапия направлена на восстановление их функционирования. Ключевыми задачами являются нормализация кровообращения и повышение проницаемости стенок сосудов. При необходимости могут быть использованы препараты, способствующие разжижению крови.
Паллиативная терапия также включает в себя применение немедикаментозных методов:
В некоторых случаях может потребоваться помощь специалистов, таких как психолог, логопед или психиатр.
Какие таблетки пить
Медикаментозная терапия направлена на создание следующих условий:
- замедление прогрессирования заболевания;
- восстановление функций мозга;
- устранение симптомов болезни;
- воздействие на факторы, способствующие развитию заболевания.
При лейкоэнцефалопатии пациентам рекомендуется использовать следующие препараты:
- Средства, способствующие улучшению метаболизма мозга – Кавинтон.
- Ноотропные препараты – Фенотропил, Пирацетам.
- Ангиопротекторы – Плавикс, Курантил.
- Витаминные комплексы и адаптогенные средства.
- Антикоагулянты – Гепарин и его производные.
При наличии показаний могут быть назначены антиретровирусные препараты.
Народные средства
Народные методы лечения могут служить дополнительными средствами, однако их применение должно предваряться консультацией с врачом.
Основные рецепты представлены ниже:
- Жидкий мед следует смешать с соком репчатого лука в соотношении 2:1. Полученную смесь нужно тщательно перемешать и оставить в холодильнике на 2 дня. Рекомендуется принимать по 2 столовые ложки дважды в день в течение 2 недель.
- Смешайте в равных пропорциях жидкий мед, сок лука и свеклы. Консистенция должна быть вязкой. Принимать по 1 столовой ложке в день на протяжении 1 месяца.
- Для очищения сосудов необходимо соединить сок из 5 головок чеснока с соком из 3 спелых лимонов. Смесь настаивается в течение 2 суток, после чего процеживается и добавляется 1 столовая ложка меда. Принимать по 4 столовые ложки в день.
- Свежие плоды шиповника нужно измельчить и залить кипятком, настаивая до остывания. Затем воду сливают, а распаренные плоды смешивают с натуральным медом. Употреблять по 2 столовые ложки в день.
- Плоды боярышника заливаются кипятком и настаиваются в течение 10 часов. В охлажденный напиток добавляется мед, который следует выпить утром.
Перед началом использования народных методов рекомендуется провести тест на чувствительность к активным компонентам. Растительные ингредиенты могут вызвать сильную аллергическую реакцию у некоторых людей.
Несмотря на свою простоту, перечисленные рецепты отличаются высокой эффективностью и безопасностью. Ингредиенты, входящие в состав этих средств, богаты витаминами, что способствует восстановлению иммунной системы организма.

Последствия
Независимо от формы и степени тяжести заболевания, лейкоэнцефалопатия головного мозга, как правило, приводит к летальному исходу. Продолжительность жизни пациента может варьироваться в следующих пределах:
- 1-2 месяца – в случае вирусного поражения с резким началом и быстрым прогрессированием;
- до полугода – возможно при своевременном распознавании первых признаков болезни и правильном выборе методов паллиативной терапии;
- 1-2 года – при условии немедленного применения специфических противовирусных препаратов после появления первых симптомов заболевания.
Заключение
Вирусная форма заболевания развивается на фоне ослабления иммунной системы, поэтому основные профилактические меры следует направить на поддержание защитных функций организма на должном уровне. В период сезонного авитаминоза полезно принимать поливитаминные комплексы. Степень тяжести и прогрессирования болезни зависит от общего состояния пациента. На данный момент не существует разработанной методики лечения лейкоэнцефалопатии, однако ведущие сосудистые хирурги совместно с вирусологами активно ищут эффективные методы воздействия на это заболевание.
Лейкоэнцефалопатия головного мозга представляет собой хроническое заболевание, при котором происходит разрушение подкоркового белого вещества, что неизбежно ведет к развитию деменции. Болезнь Бинсвангера является одной из форм атеросклеротической лейкоэнцефалопатии, при которой наблюдается атеросклероз мелких артерий и диффузное поражение белого вещества в обоих полушариях головного мозга.
Этиология возникновения болезни Бинсвангера и ее формы
Происхождение заболевания связано с постоянным повышением артериального давления. Чаще всего это наблюдается у пожилых людей, у которых фиксируются колебания давления в течение суток. Редко болезнь Бинсвангера выявляется при отсутствии вышеуказанных нарушений. Кроме того, к этому состоянию могут приводить церебральная или амилоидная ангиопатия, а также другие сосудистые патологии.
Первые симптомы подкорковой патологии обычно проявляются в возрасте 55-60 лет. Однако у людей с генетической предрасположенностью к болезни Бинсвангера признаки деменции могут возникнуть даже в молодом возрасте.
Тем, кто относится к группе риска и может столкнуться с лейкоэнцефалопатией, важно понимать, что это за заболевание. Разрушение белого вещества происходит из-за сужения просветов и увеличения толщины сосудов головного мозга. Это приводит к ухудшению кровоснабжения и постепенной атрофии белого вещества, в котором возникают кровоизлияния и уплотнения. Головной мозг с уменьшающимся белым веществом заполняется жидкостью.
Код заболевания по МКБ 10 обозначается как I67.3. При описании клинической картины выделяют различные формы патологии: мелкоочаговая, прогрессирующая мультифокальная, перивентрикулярная и лейкоэнцефалопатия с исчезающим белым веществом.
Формы лейкоэнцефалопатии
Форма заболевания влияет не только на проявления симптомов, но и на среднюю продолжительность жизни, возраст пациента, а также на скорость наступления летального исхода.
Мелкоочаговая лейкоэнцефалопатия
Мелкоочаговая лейкоэнцефалопатия сосудистого происхождения возникает на фоне повышенного артериального давления и имеет медленный прогресс. Обычно ее диагностируют у людей старше 55 лет, которые имеют предрасположенность к этому заболеванию. Генетическая предрасположенность приводит к гипомиелинизирующей деструкции белого вещества. Симптоматика данной дисциркуляторной деменции развивается постепенно и на начальных стадиях проявляется слабо. У пациентов часто наблюдаются такие сопутствующие заболевания, как сахарный диабет, атеросклероз и проблемы с опорно-двигательным аппаратом.
Важно отметить, что в группе риска находятся мужчины, страдающие от избыточного веса и повышенного уровня холестерина. Неправильное питание, недостаток физической активности, злоупотребление алкоголем и курение играют значительную роль в развитии данной патологии.
Прогрессирующая мультифокальная лейкоэнцефалопатия
Прогрессирующая мультифокальная лейкоэнцефалопатия представляет собой одну из самых серьезных форм заболевания, вызванную вирусом полиомы, и может привести к инвалидности. Эта болезнь может затрагивать как молодых, так и пожилых людей. Она характеризуется множественными очагами поражения в различных участках нервной системы и, помимо деменции, проявляется следующими симптомами:
- нарушения в речи;
- проблемы с опорно-двигательным аппаратом;
- ухудшение зрения или полная слепота;
- изменения в личности и другие психические расстройства.
Данная форма болезни Бинсвангера зависит от состояния иммунной системы и наблюдается у 50% пациентов с диагнозом СПИД. Кроме того, прогрессирующая сосудистая лейкоэнцефалопатия затрагивает людей с аутоиммунными или онкологическими заболеваниями, а также тех, кто перенес трансплантацию органов.
Справка! Вирус, вызывающий данное заболевание, обнаруживается у 80% населения Земли, однако к развитию лейкоэнцефалопатии он приводит только при наличии иммунодефицита, например, при ВИЧ.
Перивентрикулярная лейкоэнцефалопатия
Данная форма заболевания является очаговой и локализуется в стволе мозга, мозжечке и лобной доле. Эти области отвечают за двигательные функции, поэтому нарушения в работе опорно-двигательного аппарата неизменно сопровождают данное заболевание.
Лейкоэнцефалопатия возникает из-за недостатка кислорода в мозге, что приводит к нарушениям кровообращения. Болезнь может развиваться как у взрослых, так и у детей, особенно тех, чьи мозги подверглись гипоксии во время родов. Это состояние известно как перивентрикулярная резидуальная лейкоэнцефалопатия и может привести к развитию детского церебрального паралича (ДЦП).
Лейкоэнцефалопатия с исчезающим белым веществом
Ее выявляют как у детей в возрасте одного года, так и у малышей до шести лет. Основной причиной возникновения заболевания являются генетические мутации. У пациентов отмечаются проблемы с координацией движений, речью, а также ухудшение памяти и когнитивных функций. Часто наблюдается атрофия зрительного нерва, могут возникать эпилептические приступы.
Важно! Симптомы могут проявляться уже при рождении: повышенный мышечный тонус в конечностях, задержка в развитии, рвота во время кормления, судороги и повышенная температура тела.
Причины
Основной фактор, способствующий развитию лейкоэнцефалопатии головного мозга, заключается в недостаточной активности иммунной системы. К числу факторов, способствующих этому заболеванию, можно отнести вирусные инфекции, включая ВИЧ, а также ослабление организма из-за применения иммунодепрессантов. Кроме того, к причинам возникновения данного недуга относятся:
- сердечно-сосудистые заболевания;
- высокое кровяное давление;
- недостаток кислорода в мозге;
- злокачественные новообразования;
- нарушения в работе лимфатической системы;
- туберкулез;
- токсическое воздействие алкоголя и табака;
- генетическая предрасположенность.
Симптомы и признаки лейкоэнцефалопатии
Симптоматика болезни Бинсвангера варьируется в зависимости от ее разновидности и прогрессирования. В некоторых случаях проявления развиваются медленно и поэтапно, в других — возникают внезапно и в совокупности. Начальная стадия заболевания часто сопровождается апатией пациента к окружающему, снижением концентрации, а также уменьшением работоспособности и умственных способностей. К основным проявлениям болезни можно отнести:
- нарушения сна;
- повышенный тонус мышц;
- трудности с логическим мышлением;
- повышенную раздражительность;
- непроизвольные движения глаз;
- шум в ушах;
- невротические состояния;
- судороги;
- проблемы с движением, слабость в конечностях, а иногда — паралич;
- нарушения зрения;
- головные боли, анемию и тошноту;
- недержание мочи.
Примечание! Обычно пациенты не осознают своего заболевания и продолжают вести привычный образ жизни. К врачу обращаются их близкие, заметившие тревожные симптомы.
Лечение лейкоэнцефалопатии
Это серьезное заболевание не поддается лечению ни традиционными, ни народными методами. Основная цель терапии заключается в снижении вирусной нагрузки в организме, поддержании пациента в стабильном состоянии, укреплении иммунной системы и облегчении симптомов. Многие специалисты, в том числе те, кто предоставляет лечение за границей, рекомендуют такие методы, как мануальная терапия, рефлексотерапия, дыхательные упражнения и массаж. Лекарственные средства и их дозировки подбираются индивидуально, и чаще всего назначаются:
- Препараты для улучшения мозгового кровообращения: Актовегин, Трентал;
- Нейрометаболические стимуляторы: Луцетам, Фезам;
- Витаминные комплексы;
- Инъекции ингибиторов норадреналина;
- Противовирусные медикаменты.

Осложнения
Летальный исход неизбежен для всех, кто страдает от болезни Бинсвангера, в течение 1-2 лет после появления первых симптомов. Отсрочить этот процесс невозможно, однако использование медикаментов может помочь продлить жизнь на указанный срок. Кроме того, среди осложнений, связанных с лейкоэнцефалопатией, можно выделить:
- сердечно-сосудистые заболевания;
- паралич и инвалидность;
- потерю слуха и зрения;
- ухудшение памяти;
- изменения в личности.
Лейкоэнцефалопатия головного мозга у детей
У новорожденных может развиваться перивентрикулярная лейкоэнцефалопатия, которая, например, может быть вызвана неправильным положением плода или обвитием пуповины. В результате кислородного голодания некоторые нейроны головного мозга погибают, что приводит к нарушениям в развитии и речи. Такие дети испытывают трудности с самостоятельным передвижением, и у них может быть диагностирован детский церебральный паралич (ДЦП).
Кроме того, у детей может наблюдаться лейкоэнцефалопатия с исчезающим белым веществом, вызванная генетическими нарушениями. Эти пациенты, помимо умственной отсталости, часто сталкиваются с задержкой в развитии, проблемами с движением, а также могут иметь низкую остроту зрения или быть полностью слепыми.
Возможна ли профилактика
Специальных мер по профилактике болезни Бинсвангера не существует. Тем не менее, можно снизить вероятность ее развития, если:
- Укреплять иммунную систему и принимать витамины.
- Поддерживать нормальный вес.
- Вести активный и здоровый образ жизни.
- Увеличить время, проведенное на свежем воздухе.
- Соблюдать правильное питание.
- Избегать случайных половых контактов и использовать презервативы.
- При наличии диабета, гипертонии или атеросклероза следовать рекомендациям врача и принимать назначенные препараты.
Болезнь Бинсвангера не поддается лечению, и летальный исход может наступить всего через несколько месяцев после появления первых симптомов. Однако облегчить состояние пациента и немного улучшить качество его жизни в последние годы возможно с помощью медикаментов и физиотерапии. Людям из группы риска настоятельно рекомендуется придерживаться здорового образа жизни.
Роль генетических факторов в развитии лейкоэнцефалопатии
Лейкоэнцефалопатия головного мозга у детей представляет собой группу заболеваний, характеризующихся поражением белого вещества мозга. Одним из ключевых аспектов, влияющих на развитие этой патологии, являются генетические факторы. Исследования показывают, что наследственные мутации и генетические предрасположенности могут играть значительную роль в возникновении различных форм лейкоэнцефалопатии.
Существует несколько генов, мутации в которых ассоциированы с развитием лейкоэнцефалопатий. Например, мутации в генах, отвечающих за метаболизм липидов, могут приводить к нарушению миелинизации, что, в свою очередь, вызывает повреждение белого вещества. Одним из таких заболеваний является лейкоэнцефалопатия с миелиновой недостаточностью, вызванная мутациями в гене PLP1, который кодирует белок, необходимый для формирования миелиновой оболочки нервных волокон.
Кроме того, генетические факторы могут взаимодействовать с внешними условиями, такими как инфекции, токсические воздействия и метаболические нарушения, что также может способствовать развитию лейкоэнцефалопатии. Например, у детей с предрасположенностью к определённым генетическим заболеваниям, таким как муковисцидоз или фенилкетонурия, риск развития лейкоэнцефалопатии может увеличиваться при наличии неблагоприятных факторов окружающей среды.
Важно отметить, что генетическая предрасположенность не всегда приводит к развитию заболевания. Наличие мутации в гене не гарантирует, что у ребенка разовьется лейкоэнцефалопатия; на это могут влиять и другие факторы, такие как возраст, пол, состояние здоровья и даже образ жизни. Поэтому для более точного понимания роли генетических факторов в развитии лейкоэнцефалопатии необходимы дальнейшие исследования, направленные на изучение взаимодействия генетических и экологических факторов.
Современные методы генетического тестирования позволяют выявлять предрасположенность к лейкоэнцефалопатиям на ранних стадиях, что может помочь в ранней диагностике и профилактике заболеваний. Это особенно важно для детей, так как раннее вмешательство может значительно улучшить прогноз и качество жизни пациентов.
Таким образом, генетические факторы играют важную роль в развитии лейкоэнцефалопатии головного мозга у детей, и их изучение является ключевым направлением в области педиатрической неврологии. Понимание генетических основ этих заболеваний может привести к разработке новых методов диагностики и лечения, а также к более эффективным стратегиям профилактики.
Психологические и социальные аспекты жизни детей с лейкоэнцефалопатией
Лейкоэнцефалопатия головного мозга у детей представляет собой группу заболеваний, характеризующихся поражением белого вещества мозга. Эти состояния могут оказывать значительное влияние не только на физическое здоровье ребенка, но и на его психологическое и социальное благополучие. Психологические аспекты жизни детей с лейкоэнцефалопатией часто связаны с их когнитивными и эмоциональными функциями, а также с взаимодействием с окружающим миром.
Дети, страдающие от лейкоэнцефалопатии, могут испытывать трудности в обучении и социальной адаптации. Когнитивные нарушения, такие как проблемы с вниманием, памятью и обучением, могут привести к снижению самооценки и чувству неполноценности. Эти дети могут сталкиваться с трудностями в общении со сверстниками, что может способствовать социальной изоляции и депрессии.
Эмоциональные проблемы также часто наблюдаются у детей с лейкоэнцефалопатией. Они могут испытывать повышенный уровень тревожности, страха и стресса, что может быть связано как с их состоянием здоровья, так и с реакцией окружающих. Негативные стереотипы и предвзятое отношение со стороны сверстников и взрослых могут усугублять эти чувства, создавая замкнутый круг, в котором ребенок становится еще более уязвимым.
Социальные аспекты жизни детей с лейкоэнцефалопатией также требуют внимания. Часто такие дети нуждаются в специализированной помощи и поддержке, что может ограничивать их возможности для участия в обычных социальных мероприятиях. Это может привести к недостатку социальных навыков и затруднениям в установлении дружеских отношений. Родители и опекуны играют ключевую роль в поддержке детей, помогая им адаптироваться к социальным условиям и развивать необходимые навыки.
Важно отметить, что поддержка со стороны семьи, друзей и специалистов может значительно улучшить качество жизни детей с лейкоэнцефалопатией. Психологическая помощь, участие в группах поддержки и специализированные образовательные программы могут помочь детям развивать уверенность в себе и улучшать их социальные навыки. Создание инклюзивной среды, где дети с особыми потребностями могут взаимодействовать с другими детьми, также способствует их эмоциональному и социальному развитию.
Таким образом, психологические и социальные аспекты жизни детей с лейкоэнцефалопатией являются важными компонентами их общего благополучия. Необходимость комплексного подхода к лечению и поддержке таких детей подчеркивает важность взаимодействия между медицинскими, психологическими и социальными службами для обеспечения наилучших условий для их развития и интеграции в общество.
Современные исследования и перспективы лечения лейкоэнцефалопатии
Лейкоэнцефалопатия головного мозга у детей представляет собой группу заболеваний, характеризующихся поражением белого вещества мозга. В последние годы исследования в этой области значительно активизировались, что связано с улучшением методов диагностики и пониманием патогенеза заболеваний. Современные исследования направлены на выявление причин, механизмов развития и возможных методов лечения лейкоэнцефалопатии.
Одним из ключевых направлений является изучение генетических факторов, способствующих развитию различных форм лейкоэнцефалопатии. В последние годы были идентифицированы несколько генов, мутации в которых могут приводить к нарушению миелинизации и, как следствие, к развитию лейкоэнцефалопатии. Генетические исследования позволяют не только лучше понять механизм заболевания, но и разрабатывать целенаправленные терапевтические подходы.
Кроме того, активно исследуются молекулы, способные влиять на процессы миелинизации. Например, препараты, содержащие факторы роста, такие как нейротрофические факторы, показывают многообещающие результаты в экспериментальных моделях. Эти молекулы могут способствовать восстановлению миелина и улучшению функций нервной системы. Однако клинические испытания таких препаратов на детях с лейкоэнцефалопатией находятся на ранних стадиях, и необходимы дополнительные исследования для оценки их безопасности и эффективности.
Современные технологии визуализации, такие как магнитно-резонансная томография (МРТ), также играют важную роль в диагностике и мониторинге прогрессирования заболевания. МРТ позволяет детально оценить состояние белого вещества мозга и выявить изменения, характерные для различных форм лейкоэнцефалопатии. Это, в свою очередь, помогает врачам более точно подбирать терапию и оценивать ее эффективность.
Важным аспектом является мультидисциплинарный подход к лечению детей с лейкоэнцефалопатией. Врачи различных специальностей, включая неврологов, генетиков, реабилитологов и психиатров, должны работать в команде для разработки индивидуализированного плана лечения. Это может включать как медикаментозную терапию, так и реабилитационные мероприятия, направленные на улучшение качества жизни детей и их семей.
Несмотря на достижения в области исследования и лечения лейкоэнцефалопатии, многие вопросы остаются открытыми. Необходимы дальнейшие исследования для более глубокого понимания патогенеза заболеваний, разработки новых методов диагностики и лечения, а также для улучшения качества жизни детей, страдающих от этой тяжелой патологии. Важно продолжать поддерживать научные исследования и клинические испытания, чтобы обеспечить надежные и эффективные решения для детей с лейкоэнцефалопатией.















