Энцефалопатия головного мозга у подростков — серьезная медицинская проблема, требующая внимательного подхода. В этом возрасте мозг активно развивается, и нарушения его функционирования могут иметь долгосрочные последствия для здоровья. В статье рассмотрим основные причины энцефалопатии, ее симптомы, методы диагностики и лечения, а также важность раннего выявления заболевания. Понимание этих аспектов поможет родителям и специалистам своевременно реагировать на тревожные сигналы и обеспечивать подросткам необходимую медицинскую помощь.
Энцефалопатия головного мозга — что это?
Термин «энцефалопатия» в медицине охватывает ряд заболеваний, которые не имеют воспалительной природы и влияют на нервную систему.
Основной причиной этих патологий является повреждение определенной группы нейронов в головном мозге под воздействием негативных внешних и внутренних факторов.
Энцефалопатия не представляет собой отдельное заболевание и возникает исключительно на фоне осложнений различных патологий.
Узнайте о симптомах и методах лечения гидроцефалии головного мозга у детей здесь.
Врачи отмечают, что энцефалопатия головного мозга у подростков становится все более распространенной проблемой. Специалисты подчеркивают важность ранней диагностики и комплексного подхода к лечению. Причинами заболевания могут быть как генетические факторы, так и внешние воздействия, такие как травмы или инфекции. Врачи акцентируют внимание на необходимости регулярных медицинских осмотров, особенно для подростков, занимающихся спортом или подверженных стрессу. Психологи и неврологи рекомендуют родителям следить за эмоциональным состоянием детей, так как психоэмоциональные расстройства могут усугублять течение болезни. Важно, чтобы подростки получали поддержку и понимание, что способствует их выздоровлению и улучшению качества жизни.

Почему развивается?
Факторы, способствующие развитию энцефалопатии у новорожденных, отличаются от причин этого заболевания у детей более старшего возраста.
В данном случае ключевую роль играет процесс развития плода в утробе матери.
Родовые травмы также могут стать одной из причин возникновения энцефалопатии.
У детей старшего возраста это заболевание чаще всего является следствием других патологий или результатом черепно-мозговых травм.
Энцефалопатию у детей могут вызвать следующие факторы:
- последствия гипоксии, возникшей в утробе;
- осложнения, связанные с родовыми травмами;
- злоупотребление вредными привычками во время беременности;
- врожденные патологии сердечно-сосудистой и дыхательной систем;
- нестабильное артериальное давление;
- осложнения инфекционных и вирусных заболеваний;
- нарушения в системе кровообращения;
- последствия черепно-мозговых травм;
- осложнения, вызванные желтухой у новорожденных;
- дефицит витаминов в организме (особенно витамина В);
- токсическое воздействие на центральную нервную систему.
| Тип энцефалопатии | Возможные причины | Основные симптомы |
|---|---|---|
| Перинатальная энцефалопатия (ПЭП) | Гипоксия/ишемия во время родов, родовые травмы, внутриутробные инфекции | Задержка психомоторного развития, судороги, нарушения сна, повышенная возбудимость или вялость |
| Токсическая энцефалопатия | Отравления (лекарства, наркотики, алкоголь, промышленные яды), тяжелые инфекции | Головные боли, тошнота, рвота, нарушения сознания, судороги, поведенческие изменения |
| Дисциркуляторная энцефалопатия | Врожденные аномалии сосудов головного мозга, артериальная гипертензия, сахарный диабет, атеросклероз (редко у подростков) | Головные боли, головокружения, снижение памяти и внимания, быстрая утомляемость, эмоциональная лабильность |
| Метаболическая энцефалопатия | Нарушения обмена веществ (печеночная, почечная недостаточность, гипогликемия, наследственные метаболические заболевания) | Сонливость, спутанность сознания, тремор, судороги, кома |
| Посттравматическая энцефалопатия | Черепно-мозговые травмы (сотрясения, ушибы головного мозга) | Головные боли, головокружения, нарушения сна, снижение когнитивных функций, раздражительность, депрессия |
| Энцефалопатия Вернике | Дефицит тиамина (витамина B1), часто связанный с алкоголизмом или тяжелым недоеданием | Нарушения зрения (нистагм, офтальмоплегия), атаксия, спутанность сознания, амнезия |
Какая бывает?
Энцефалопатия может быть врожденной и приобретенной.
В первом случае данное заболевание возникает из-за негативного влияния различных факторов на мозг ребенка в процессе его внутриутробного развития.
Приобретенные формы недуга начинают проявляться после рождения (в том числе из-за родовых травм). Кроме того, энцефалопатия делится на несколько категорий в зависимости от причины, вызвавшей ее развитие.
- Дисциркуляторная (возникает из-за нарушений венозного оттока).
- Сосудистая (является следствием заболеваний сосудов).
- Перинатальная (развивается в результате повреждения плода во время внутриутробного развития).
- Метаболическая (возникает на фоне осложнений хронических заболеваний органов).
- Токсическая (вызывается воздействием токсинов на головной мозг).
- Посттравматическая (основным фактором являются травмы головы).
- Билирубиновая (развивается из-за воздействия свободного билирубина на центральную нервную систему).
- Резидуальная (является следствием нейроинфекций).
- Гипертензивная (может развиваться на фоне артериальной гипертензии).
- Лейкоэнцефалопатия (основной причиной является рассеянный склероз).
- Энцефалопатия Вернике (развивается из-за критического дефицита витамина В).
- Неуточненная (точные причины патологии не удается установить).
В медицинской практике выделяют три степени прогрессирования энцефалопатии. На начальном этапе симптомы могут быть нечеткими. Вторая степень характеризуется ухудшением клинической картины.
Третий этап прогрессирования болезни сопровождается развитием необратимых процессов у ребенка, что может привести к инвалидности и стойким неврологическим расстройствам.

Как распознать?
Степень выраженности симптомов энцефалопатии у детей определяется множеством факторов. Ключевое значение имеет возраст ребенка, состояние его нервной системы, тип причины, вызвавшей заболевание, а также наличие или отсутствие сопутствующих хронических заболеваний.
Патологическое состояние может развиваться постепенно, однако в некоторых случаях симптомы могут возникать внезапно и проявляться с высокой интенсивностью.
Среди симптомов и признаков энцефалопатии у детей можно выделить следующие состояния:
- сильные головные боли;
- повышенная тревожность и капризность;
- предрасположенность к навязчивым мыслям;
- ухудшение памяти;
- повышенное внутричерепное давление;
- чрезмерная усталость;
- психические и вегетативные расстройства;
- снижение или отсутствие аппетита;
- нарушения интеллектуальных функций;
- эпизоды неврозов;
- предрасположенность к обморокам;
- проблемы со слухом и зрением;
- дневная сонливость и бессонница ночью;
- развитие фобий и панических атак.
Чем опасна?
Энцефалопатия оказывает крайне негативное влияние на нейроны головного мозга. Увеличение степени тяжести этой патологии может привести к необратимым изменениям. Избавиться от некоторых осложнений будет невозможно.
При энцефалопатии нарушается функционирование нервной системы, что может вызвать у ребенка предрасположенность к депрессивным состояниям, астеническому синдрому и различным вегето-сосудистым расстройствам.
Если не начать лечение вовремя, осложнения будут нарастать. К числу осложнений энцефалопатии относятся следующие заболевания:
- стойкие вегетативные пароксизмы;
- развитие детского церебрального паралича (ДЦП);
- эпилепсия;
- парезы и параличи;
- инфаркт миокарда;
- прогрессирующая умственная отсталость;
- задержка речевого и физического развития;
- риск возникновения шизофрении;
- внутренние кровоизлияния;
- ранний остеохондроз;
- эпилептический синдром;
- остановка сердца;
- прогрессирование гидроцефалии;
- летальный исход.
Постановка диагноза
В процессе диагностики энцефалопатии участвует несколько врачей, однако именно невропатолог отвечает за установление диагноза.
Дополнительные консультации у специалистов проводятся в случаях, когда возникают трудности с определением причин заболевания или степени поражения организма ребенка. Ключевыми методами диагностики энцефалопатии являются как инструментальные, так и лабораторные исследования.
В ходе диагностики применяются следующие методы:
- анализ крови на наличие токсинов;
- общий анализ крови и мочи;
- реоэнцефалография (РЭГ);
- измерение артериального давления;
- анализ спинномозговой жидкости;
- биохимический анализ крови и мочи;
- нейросонография;
- метаболические тесты;
- определение уровня кислорода в крови;
- ультразвуковое исследование (УЗИ) головного мозга;
- допплерография;
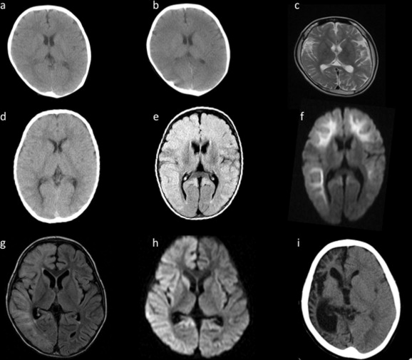
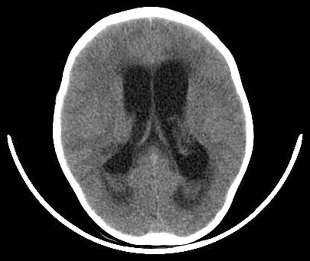
- компьютерная томография (КТ) и магнитно-резонансная томография (МРТ) головного мозга;
- электроэнцефалография.
к содержанию ↑
Методы лечения и препараты
Лечение новорожденных с энцефалопатией осуществляется в родильных домах. Если возникают осложнения, малыша переводят в специализированные медицинские учреждения. В период восстановления ребенок, как правило, проходит лечение дома под контролем врачей из поликлиники.
Гипоксическая энцефалопатия в основном лечится с помощью медикаментов, которые положительно влияют на мозговое кровообращение. К таким препаратам относятся:
Для устранения судорожного синдрома применяются диазепам и фенобарбитал. Также используются мочегонные средства и препараты, снижающие уровень интоксикации. Лекарства могут вводиться различными способами: внутривенно, внутримышечно, с помощью электрофореза, перорально или энтерально. В качестве дополнительного метода лечения и профилактики заболевания может быть эффективна мануальная терапия.
При тяжелых формах билирубиновой энцефалопатии ребенку вводят плазму. Если это не дает результата, может потребоваться переливание крови.
Заболевание требует длительного лечения и наблюдения у невропатолога. Ребенка с гипоксигенной или ишемической энцефалопатией необходимо регулярно показывать нейрохирургу.
У детей старшего возраста энцефалопатия лечится следующими препаратами:
- пантогам;
- глютаминовая кислота;
- кавинтон;
- глицин;
- стугерон;
- фенотропил;
- церебролизин.
Помимо медикаментозного лечения, назначаются физиотерапия, акупунктура, мануальная терапия, лечебная физкультура, остеопатия и фитотерапия.
Эффективность лечения во многом зависит от правильной и своевременной диагностики, а также от точного выполнения всех рекомендаций врачей. В таком случае у ребенка есть возможность на полное выздоровление без последствий в будущем.
Какой исход?
В большинстве случаев энцефалопатия приводит к полному выздоровлению ребенка. Однако такой положительный исход возможен только при условии адекватного и комплексного лечения.
Если симптомы заболевания долгое время оставались без внимания, диагностика была проведена с задержкой, а терапия осуществлялась с нарушениями, это может привести к осложнениям и негативным последствиям для организма ребенка.
Энцефалопатия способна вызывать необратимые изменения в головном мозге, что делает невозможным восстановление его нормальной функции.
Цели профилактики
Профилактика энцефалопатии включает в себя основные правила ухода за ребенком и заботы о его здоровье.
С раннего возраста ребенок должен получать полноценное питание и необходимое количество витаминов.
Родителям следует незамедлительно обращаться к специалистам, если у ребенка появляются признаки нарушений в работе внутренних органов или ухудшение общего состояния. Особое внимание к своему образу жизни должны уделять женщины в период беременности.
Профилактика энцефалопатии включает в себя следующие рекомендации:
- Избежание родовых травм у новорожденного.
- Профилактика гипоксии плода во время внутриутробного развития.
- Укрепление иммунной системы ребенка с раннего возраста.
- Отказ от вредных привычек в период беременности.
- Защита детского организма от токсического воздействия.
- Полноценное и своевременное лечение инфекционных заболеваний.
Если у ребенка обнаружено повышенное внутричерепное давление, необходимо как можно скорее провести полное обследование.
Такой симптом зачастую является первым звоночком о нарушении работы нейронов головного мозга. Своевременная диагностика позволяет выявить энцефалопатию на ранних стадиях. Вероятность полного выздоровления маленького пациента значительно возрастает.
Детский невролог о энцефалопатии у детей в этом видео:
Настоятельно рекомендуем не заниматься самолечением. Запишитесь к врачу!
Медицинские специалисты отмечают рост числа случаев энцефалопатии у детей. Это серьезное заболевание требует немедленного лечения. Современная комплексная терапия может помочь стабилизировать состояние ребенка, снизить риск осложнений и повысить шансы на выздоровление.

Что это такое
Энцефалопатия представляет собой общее название для заболеваний головного мозга, которые не сопровождаются воспалительными процессами. Это состояние может возникать по различным причинам и проявляется повреждением нейронов.
У детей данное заболевание может развиваться как в утробе матери, так и после рождения. В связи с этим выделяют две основные формы: приобретенную и перинатальную (врожденную).
Перинатальная энцефалопатия возникает в период с 28-й недели беременности до 7-го дня жизни новорожденного (для недоношенных детей — до 28 суток).
Причины возникновения
Энцефалопатия у новорожденных может развиваться как в период внутриутробного формирования, так и во время родов. Наиболее частыми факторами, способствующими возникновению этого состояния у младенцев, являются:
- недоношенность;
- наследственные заболевания;
- травмы, полученные в процессе родов;
- использование определенных медикаментов матерью;
- инфекции, возникшие во время беременности;
- ранний возраст матери;
- токсикозы, угроза выкидыша или преждевременных родов;
- зависимость матери от наркотиков или алкоголя;
- серьезные заболевания почек и печени;
- недостаток кислорода в мозге;
- повышенное внутричерепное давление.
У детей старшего возраста энцефалопатия чаще всего возникает вследствие перенесенных инфекций, токсического воздействия на нервную систему или черепно-мозговых травм.
Симптомы и признаки
После появления на свет за новорожденным необходимо внимательно следить, чтобы не упустить признаки возможного заболевания.
Перинатальная энцефалопатия у младенца проявляется следующими симптомами:
- запрокидывание головы;
- повышенная тревожность;
- рефлекторные подергивания;
- частый плач;
- вялость или, наоборот, чрезмерная активность;
- испуг при ярком свете;
- выпученные глаза;
- частые срыгивания;
- плохой сон.
Симптоматика может проявляться с разной интенсивностью, а затем исчезать. Отклонения в психофизическом развитии могут наблюдаться у 50% детей с такими признаками.
Резидуальная энцефалопатия представляет собой сложное для диагностики состояние. Это связано с тем, что симптомы могут проявляться лишь на короткий срок. Рецидивы могут возникать спустя несколько лет и часто являются следствием воспалительных и инфекционных заболеваний, повышенного давления, черепно-мозговых травм. Основные признаки резидуальной энцефалопатии включают:
- головные боли;
- эмоциональную нестабильность;
- тошноту;
- проблемы с памятью;
- рвоту;
- нарушения моторики.
На фоне этой дисфункции у ребенка может развиться эпилепсия.
Билирубиновая энцефалопатия развивается очень быстро, что затрудняет ее своевременное выявление. Клинические проявления этой болезни делятся на асфиксическую и спастическую фазы.
Признаки асфиксической фазы у новорожденного:
- отсутствие сосательных рефлексов;
- анемия;
- задержка дыхания;
- мышечные судороги;
- хрипы;
- посинение кожи.
Лицо ребенка может выглядеть как маска, а в глазах читается страх.
Признаки спастической фазы заболевания:
- пронзительный крик;
- субкортикальные поражения;
- симптом Грефе;
- мышечное напряжение.
При появлении указанных симптомов билирубиновой энцефалопатии необходимо немедленно обратиться к врачу, иначе у малыша могут развиться необратимые неврологические процессы.
Гипоксически-ишемическая энцефалопатия может быть распознана по следующим признакам:
- беспокойный сон;
- тремор конечностей;
- повышенные рефлексы;
- тремор подбородка;
- мышечная дистония.
Недоношенные дети, страдающие этим заболеванием, подвержены риску эпилепсии. Часто гипоксически-ишемическая энцефалопатия приводит к водянке мозга. В результате у ребенка может наблюдаться повышенное внутричерепное давление и отставание в физическом и психическом развитии. Симптомы могут включать набухание родничка и увеличение головы. Своевременное медицинское вмешательство поможет предотвратить переход болезни в хроническую стадию.
Диагностика заболевания
Диагностика играет ключевую роль в определении наличия или отсутствия заболевания. Энцефалопатия у детей выявляется с помощью различных методов:
Лабораторные исследования
- общий анализ крови;
- биохимический анализ крови;
- оксигемометрия;
- анализ крови на токсические вещества;
- общий анализ мочи;
- исследование спинномозговой жидкости.
Инструментальные методы
- допплерография;
- ультразвуковое исследование головы;
- нейросонография;
- электроэнцефалография;
- магнитно-резонансная ангиография;
- компьютерная томография;
- реоэнцефалография.
Обязательно требуется консультация специалистов: невропатолога, логопеда, офтальмолога и психолога. Установить точный диагноз возможно лишь после полного обследования.
Осложнения и последствия
Перинатальная энцефалопатия у детей (что это такое, было рассмотрено ранее) обычно поддается лечению, если диагностика и терапия проводятся своевременно. Однако при значительном поражении головного мозга могут возникнуть различные осложнения:
- хронические головные боли;
- астенический синдром;
- эпилепсия и гидроцефалия;
- неврозы и депрессивные состояния;
- детский церебральный паралич (ДЦП);
- умственная отсталость;
- синдром Дауна;
- шизофрения в зрелом возрасте;
- заболевания глаз.
Характеристика проблемы
Энцефалопатия у детей представляет собой комплексное расстройство функций головного мозга, которое может развиваться очень быстро. Эта патология зачастую формируется еще в утробе матери, начиная с двадцать восьмой недели беременности или за неделю до родов. Симптомы заболевания могут проявиться сразу после рождения или спустя несколько лет.
Если заболевание является врожденным, то речь идет о перинатальной энцефалопатии. Важно, чтобы врач смог вовремя выявить первые признаки недуга и назначить адекватное лечение. В таких случаях в 90% случаев удается купировать симптомы, что значительно снижает риск возникновения осложнений в будущем.
Кроме того, энцефалопатия может развиться в результате повреждений головного мозга в любом возрасте. В этом случае говорят о приобретенной форме заболевания. Она может возникнуть вследствие травм головы, нарушений обмена веществ, воздействия радиоактивного излучения или проблем с кровообращением.
При этом заболевании у детей наблюдается нарушение кровоснабжения головного мозга, что приводит к недостатку кислорода. В медицинской практике энцефалопатия головного мозга у детей охватывает различные аномальные состояния и заболевания, возникающие из-за гибели нервных клеток мозга.
Разновидности заболевания
В медицине выделяют несколько типов заболеваний, основываясь на травмирующих факторах:
- Сосудистая энцефалопатия проявляется аномальным развитием сосудов, что приводит к нарушению кровоснабжения мозга.
- Дисциркуляторная энцефалопатия возникает из-за затрудненного оттока крови, что приводит к ее застою в головном мозге.
- Токсическая форма связана с воздействием различных токсинов на клетки мозга, что может наблюдаться при заболеваниях новорожденных, таких как желтуха или гемолитический синдром. В данном случае речь идет о билирубиновой энцефалопатии.
- Эпилептическая энцефалопатия у детей развивается после перенесенного энцефалита или менингита и проявляется эпилептическими приступами.
- Гипертензивная энцефалопатия возникает из-за повреждения нейронов при постоянно высоком артериальном давлении, а также нарушениях работы почек и надпочечников.
- Посттравматическая энцефалопатия развивается в результате травм головного мозга, включая повреждения, полученные во время родов.
- Болезнь Вернике возникает при нехватке витаминов группы В, что приводит к недостаточному питанию клеток мозга и их гибели.
- Перинатальная энцефалопатия у детей развивается из-за негативного воздействия факторов на головной мозг в утробе матери.
- Резидулярная энцефалопатия появляется в возрасте трех лет в результате воздействия неблагоприятных факторов на мозговые клетки.
Причины появления патологии
Заболевание чаще всего возникает в период внутриутробного развития, однако оно также может проявиться у детей, которые уже подросли, под воздействием различных неблагоприятных факторов. Наиболее распространенными причинами являются:
- Генетическая предрасположенность.
- Молодой возраст матери, наличие угрозы выкидыша или преждевременных родов.
- Рождение недоношенного ребенка.
- Травмы, полученные во время родов.
- Инфекционные заболевания и прием лекарств во время беременности.
- Проблемы с иммунной системой у ребенка.
- Неуточненная энцефалопатия у детей, причины которой остаются неизвестными.
- Инфекционные болезни у детей более старшего возраста, такие как краснуха.
Факторы риска
К негативным факторам, способствующим возникновению энцефалопатии, можно отнести:
- аневризмы сосудов и их недостаточность;
- заболевания крови, такие как токсоплазмоз, лейкоз, повышенный уровень билирубина;
- инфекционные и вирусные недуги, включая желтуху, гепатит, грипп, пневмонию и другие;
- патологии внутренних органов;
- сепсис;
- сахарный диабет у матери.
Нервная система детей отличается высокой чувствительностью. При получении черепно-мозговой травмы риск возникновения осложнений значительно возрастает, даже если лечение было проведено успешно. Энцефалопатия у детей встречается довольно часто.
Часто заболевание развивается под воздействием нескольких факторов одновременно. Подбор терапии будет зависеть от причины, вызвавшей заболевание, поэтому основная задача врача – точно установить источник проблемы.
Симптомы и признаки болезни
Признаки заболевания могут проявляться как слабо, так и весьма заметно, поэтому крайне важно, чтобы ребенок находился под контролем невролога. Интенсивность симптомов зависит от места органического поражения мозга, его масштабов и наличия сопутствующих заболеваний. Также значительную роль играют возраст ребенка и степень зрелости его нервной системы.
Как правило, у детей с энцефалопатией головного мозга можно наблюдать следующие симптомы:
- поздний крик при рождении;
- нарушения сосательного рефлекса;
- проблемы со сном, постоянный плач;
- сбои в сердечном ритме;
- изменения мышечного тонуса;
- косоглазие и наклон головы;
- повышенное внутричерепное давление;
- проблемы с памятью в раннем возрасте;
- гиперактивность или замедленность;
- развитие неврозов, проявляющихся в виде фобий и панических атак на различные объекты и явления окружающей среды.
С прогрессированием заболевания все эти симптомы становятся более выраженными. У детей могут возникать обмороки, нарушения интеллекта и задержка в умственном развитии.
Признаки патологии в зависимости от ее вида
Дисциркуляторная и токсическая энцефалопатия у детей проявляется через нарушения сна: малыш не может уснуть и часто плачет, у него развивается псевдоневрастенический синдром. Со временем у ребенка возникают головокружения, проблемы с координацией движений, колебания артериального давления, а также нарушения слуха и зрения, возможны эпилептические приступы. Если не начать лечение, заболевание будет прогрессировать, и ребенок окажется в состоянии постоянной прострации, у него повысится мышечный тонус, разовьется вегетососудистая дистония, нарушатся сухожильные рефлексы.
При билирубиновой энцефалопатии у ребенка наблюдаются симптомы интоксикации, такие как потеря аппетита, затрудненное дыхание, повышение температуры, закатывание глаз. В тяжелых случаях может развиться детский церебральный паралич. При наличии отека мозг увеличивается в объеме, что приводит к увеличению размеров головы малыша.
Тяжелые последствия
Энцефалопатия у детей младше одного года — это заболевание, о котором слышали многие. Оно может привести к серьезным последствиям, связанным с недостаточным питанием клеток головного мозга. В результате этого происходит их гибель, что может остановить развитие ключевых отделов и функций организма. При смешанном типе патологии существует риск закупорки сосудов мозга. Если поражение охватывает значительную область, вероятность летального исхода значительно возрастает. К самым тяжелым осложнениям в таких случаях относятся:
- утрата зрения;
- афазия и дизартрия;
- ишемический инсульт.
При первых симптомах заболевания крайне важно незамедлительно начать лечение, чтобы предотвратить развитие осложнений и отека головного мозга.
Диагностические мероприятия
Перинатальная и резидуальная энцефалопатия у детей — это состояние, которое подробно рассматривается в данной статье. Диагностика основывается на сборе анамнеза, клиническом осмотре ребенка, а также на результатах лабораторных и инструментальных исследований. Во время осмотра врач измеряет артериальное давление, после чего назначает анализы крови и мочи, а также исследование спинномозговой жидкости. Для определения причин возникновения данной патологии ребенка направляют на следующие диагностические процедуры:
- МРТ и КТ.
- Ангиография головного мозга.
- Допплерография и ЭЭГ.
- УЗИ.
На основании данных этих исследований устанавливается диагноз «энцефалопатия» у детей.
Терапия
Лечение следует начинать незамедлительно после появления первых признаков заболевания. Важным аспектом терапии является соблюдение специальной диеты, которая подразумевает исключение соли, насыщенных жиров и холестерина из рациона. Рекомендуется включать в питание продукты, богатые йодом, витаминами и аскорбиновой кислотой. Кроме того, родителям стоит организовать для ребенка прогулки на свежем воздухе, занятия лечебной физкультурой и массаж. Фитотерапия эффективно помогает справиться с симптомами заболевания и минимизирует его негативные последствия. В качестве дополнительного метода лечения можно использовать эфирные масла, такие как ромашка или лаванда.
Медикаментозное лечение
Лечение энцефалопатии у детей представляет собой длительный и сложный процесс. Основной целью терапии является устранение причин, приведших к заболеванию, а также восстановление поврежденных клеток головного мозга в максимально возможной степени. Врач может назначить следующие группы медикаментов:
- Нейропротекторы, способствующие восстановлению поврежденных клеток мозга.
- Препараты, улучшающие кровообращение и венозный отток.
- Седативные средства или транквилизаторы для снижения активности клеток.
- Гормональные и сосудорасширяющие препараты в инъекционной форме, такие как «Папаверин» или «Но-шпа».
- Лекарства для облегчения мигрени и головокружения.
- Витаминные и минеральные комплексы, способствующие улучшению обменных процессов в нервных клетках.
- Препараты, устраняющие симптомы заболевания.
- Электрофорез.
Дозировка лекарств определяется врачом с учетом возраста пациента и выраженности симптомов. После завершения первого курса лечения ребенка ставят на учет к неврологу, и он должен регулярно проходить обследования. Терапия может проводиться как амбулаторно, так и в стационаре под постоянным наблюдением медицинского персонала. В тяжелых случаях энцефалопатия у детей может потребовать искусственной вентиляции легких, гемодиализа или питания через зонд. Иногда может понадобиться хирургическое вмешательство для нормализации кровообращения в головном мозге. В современной медицине также применяется методика пересадки стволовых клеток, которая считается высокоэффективной.
Кроме того, ребенку могут быть назначены массаж, лечебная физкультура, фитотерапия, а после завершения основного лечения — плавание.
Прогноз
Прогноз для пациентов обычно положительный, если лечение начинается вовремя. Большинство детей полностью выздоравливают и не сталкиваются с последствиями или осложнениями в будущем. Однако в тяжелых случаях могут возникнуть необратимые изменения, которые могут привести к инвалидности. Часто в таких ситуациях у детей наблюдаются задержка развития, гидроцефалия, вегетососудистая дистония, детский церебральный паралич, шизофрения и эпилепсия. Поэтому крайне важно обращать внимание на первые признаки заболевания.
Профилактика
К методам профилактики можно отнести:
- своевременное лечение инфекционных и вирусных заболеваний у беременной женщины или новорожденного;
- предотвращение гипоксии плода;
- минимизация воздействия токсинов на организм ребенка;
- отказ от вредных привычек у будущей матери.
Чтобы избежать родовой травмы, врачу следует проявлять внимательность и осторожность, а будущая мама должна строго следовать рекомендациям акушеров и медицинских специалистов в процессе родов. По мере роста ребенка важно избегать стрессовых ситуаций. Ребенка необходимо обучить правилам безопасности как на улице, так и в домашних условиях и в детских учреждениях, чтобы предотвратить травмы головы. Родители должны внимательно следить за здоровьем и питанием своих детей.
Диагностика энцефалопатии у детей становится настоящей трагедией для родителей. Однако это заболевание поддается лечению, и важно начать терапию как можно раньше. Если патология будет выявлена сразу после рождения, у ребенка есть все шансы на полное выздоровление.
Роль семьи и поддержки в лечении
Лечение энцефалопатии головного мозга у подростков требует комплексного подхода, в котором важную роль играют не только медицинские специалисты, но и семья, а также поддержка со стороны близких. Психоэмоциональное состояние подростка, страдающего от данного заболевания, может существенно повлиять на эффективность терапии и восстановление.
Семья является основным источником эмоциональной поддержки для подростка. Понимание и принятие со стороны родителей и других членов семьи помогают создать комфортную атмосферу, в которой подросток может открыто обсуждать свои переживания и страхи. Это, в свою очередь, способствует улучшению психоэмоционального состояния и повышению мотивации к лечению.
Важно, чтобы родители были вовлечены в процесс лечения. Они должны быть осведомлены о характере заболевания, его симптомах и методах терапии. Это знание позволяет родителям лучше понимать поведение своего ребенка и адекватно реагировать на изменения в его состоянии. Кроме того, участие родителей в медицинских консультациях и реабилитационных мероприятиях может помочь установить доверительные отношения с врачами и другими специалистами.
Поддержка со стороны семьи также включает в себя создание здоровой и стабильной домашней обстановки. Это может быть достигнуто через регулярное общение, совместные занятия и активное участие в жизни подростка. Важно, чтобы подросток чувствовал себя нужным и ценным членом семьи, что способствует его эмоциональному благополучию.
Кроме того, семья может помочь подростку в адаптации к изменениям, вызванным заболеванием. Это может включать в себя помощь в организации учебного процесса, участие в реабилитационных мероприятиях и поддержку в социальной жизни. Поддержка сверстников также играет важную роль, и семья может способствовать налаживанию контактов с другими подростками, которые сталкиваются с аналогичными проблемами.
Не менее важным аспектом является работа с психологами и психотерапевтами, которые могут помочь подростку справиться с эмоциональными трудностями, связанными с заболеванием. Семья должна поддерживать подростка в этом процессе, поощряя его к посещению сеансов и открытым обсуждениям своих чувств.
Таким образом, роль семьи и поддержки в лечении энцефалопатии головного мозга у подростков является ключевой. Эмоциональная поддержка, вовлеченность в процесс лечения и создание здоровой домашней обстановки могут значительно улучшить качество жизни подростка и способствовать его выздоровлению.
Психологические аспекты и влияние на подростка
Энцефалопатия головного мозга у подростков может оказывать значительное влияние на психологическое состояние и общее развитие молодого человека. Психологические аспекты данного заболевания часто остаются в тени, однако они играют ключевую роль в формировании личности и социального поведения подростка.
Во-первых, важно отметить, что энцефалопатия может вызывать различные когнитивные нарушения, такие как проблемы с памятью, вниманием и обучением. Эти нарушения могут привести к снижению успеваемости в школе, что, в свою очередь, вызывает у подростка чувство неуверенности и низкой самооценки. Подростки, страдающие от когнитивных расстройств, могут испытывать трудности в общении с ровесниками, что может привести к социальной изоляции и депрессии.
Во-вторых, эмоциональные расстройства, такие как тревожность и депрессия, часто сопутствуют энцефалопатии. Подростки могут испытывать постоянное беспокойство о своем здоровье и будущем, что усиливает стресс и негативно сказывается на их психоэмоциональном состоянии. Эти чувства могут быть усугублены непониманием со стороны окружающих, включая родителей и учителей, которые могут не осознавать серьезности состояния подростка.
Кроме того, подростки с энцефалопатией могут сталкиваться с трудностями в формировании и поддержании межличностных отношений. Из-за изменений в поведении и эмоциональной реакции они могут быть неправильно поняты сверстниками, что может привести к конфликтам и недопониманию. Это создает замкнутый круг, в котором социальная изоляция усугубляет психологические проблемы, а психологические проблемы, в свою очередь, усугубляют социальную изоляцию.
Важно также учитывать, что подростковый возраст является критическим периодом для формирования идентичности. Энцефалопатия может нарушить этот процесс, вызывая у подростка чувство неуверенности в себе и своей индивидуальности. Они могут начать сомневаться в своих способностях и возможностях, что может привести к отказу от участия в различных видах деятельности, включая спорт, искусство и учебу.
Поддержка со стороны семьи, друзей и специалистов играет важную роль в преодолении психологических трудностей, связанных с энцефалопатией. Психотерапия, групповые занятия и поддержка со стороны сверстников могут помочь подросткам справиться с их состоянием и улучшить качество жизни. Важно создать безопасную и поддерживающую среду, где подросток сможет открыто обсуждать свои чувства и переживания, что поможет ему справиться с вызовами, связанными с заболеванием.
Советы для родителей и педагогов
Энцефалопатия головного мозга у подростков представляет собой серьезную проблему, требующую внимания как со стороны родителей, так и педагогов. Важно понимать, что ранняя диагностика и адекватное лечение могут значительно улучшить качество жизни подростка и предотвратить дальнейшие осложнения. Вот несколько советов, которые могут помочь в этой ситуации.
1. Обратите внимание на симптомы: Родителям и педагогам следует быть внимательными к изменениям в поведении и состоянии подростка. К основным симптомам энцефалопатии могут относиться головные боли, нарушения сна, изменения в настроении, проблемы с концентрацией и памятью. Если вы заметили такие изменения, не откладывайте визит к врачу.
2. Поддерживайте здоровый образ жизни: Правильное питание, регулярные физические нагрузки и достаточное количество сна играют важную роль в поддержании здоровья мозга. Обеспечьте подростку сбалансированное питание, богатое витаминами и минералами, а также поощряйте его заниматься спортом.
3. Создайте комфортную учебную среду: Педагоги должны учитывать индивидуальные потребности подростков с энцефалопатией. Это может включать предоставление дополнительных временных ресурсов для выполнения заданий, использование различных методов обучения и создание спокойной атмосферы в классе.
4. Психологическая поддержка: Эмоциональное состояние подростка также имеет большое значение. Родителям следует быть внимательными к психологическим аспектам, таким как стресс и тревога. Рассмотрите возможность обращения к психологу или психотерапевту, если подросток испытывает трудности в адаптации.
5. Регулярные медицинские осмотры: Поддерживайте регулярные визиты к врачу для мониторинга состояния здоровья подростка. Это поможет своевременно выявить любые изменения и скорректировать лечение при необходимости.
6. Обучение и информирование: Педагоги и родители должны быть осведомлены о природе заболевания и его последствиях. Это позволит им лучше понимать, с чем сталкивается подросток, и как можно помочь ему в учебе и повседневной жизни.
Следуя этим рекомендациям, родители и педагоги могут оказать значительную помощь подросткам, страдающим от энцефалопатии головного мозга, и способствовать их успешной интеграции в общество и учебный процесс.













