Магнитно-резонансная томография (МРТ) сосудов головного мозга — важный инструмент для диагностики инсультов, аневризм и других опасных заболеваний. Подготовка к процедуре критична для получения точных результатов. В статье представлены рекомендации и шаги для правильной подготовки к МРТ, что поможет снизить стресс и повысить эффективность обследования.
Что такое МРТ головного мозга
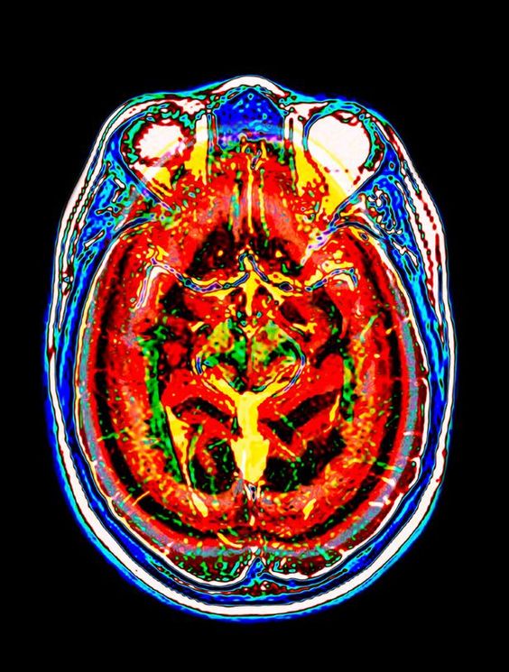
На сегодняшний день магнитно-резонансная томография (МРТ) головного мозга представляет собой превосходную альтернативу рентгенологическим методам исследования этого органа. Она имеет минимальное количество противопоказаний и позволяет получать высококачественные снимки, на которых четко видны изменения в тканях. Одним из значительных преимуществ является возможность получения изображений в цифровом формате, что делает МРТ незаменимым инструментом в случаях, когда требуется консультация нескольких специалистов.
Ранее детальное обследование мозга без хирургического вмешательства было практически невозможным, а существующие методы не могли полностью удовлетворить потребности врачей, особенно когда речь шла о тех участках мозга, которые надежно защищены черепными костями.
МРТ основывается на явлении ядерного магнитного резонанса, которое заключается в изменении электромагнитного отклика ядер водорода при их возбуждении электромагнитными волнами в сильном постоянном магнитном поле. Поскольку водород присутствует во всех тканях организма, МРТ позволяет получать послойные снимки, из которых можно создать трехмерную модель исследуемого органа. Для улучшения качества изображения иногда вводится контрастное вещество через катетер или внутривенно.
В отличие от рентгеновских исследований, МРТ обладает высокой чувствительностью, что позволяет получать изображения мягких тканей без необходимости использования дополнительного оборудования и контрастных веществ. Эта особенность особенно полезна при диагностике заболеваний сосудов головного мозга и шеи.
МРТ сосудов также известна как ангиография или магнитно-резонансная ангиография (МРА). Этот метод позволяет визуализировать просвет сосудов, что помогает специалистам оценить анатомические и функциональные характеристики кровотока. Принцип работы данного исследования отличается от стандартной процедуры МРТ и основан на изменении сигнала от движущихся жидкостей внутри неподвижных тканей.
Эта особенность позволяет выявлять изменения в структуре стенок сосудов без применения контрастных веществ, хотя для повышения качества обследования они все же могут использоваться. Основной способ введения контрастного вещества — через сонную или позвоночную артерию с помощью катетера или пункционной иглы. Такой подход позволяет выделить кровоток одного сосуда или всей сосудистой системы, питающей мозг.
Ангиография и МРТ головного мозга являются одними из самых популярных методов исследования этого органа, так как практически не имеют противопоказаний. Однако их проведение должно обязательно согласовываться с лечащим врачом.
Благодаря возможности получения большого количества качественных изображений, МРТ головы и сосудов головного мозга способствует раннему выявлению патологических изменений и точному описанию пораженных участков.
Врачи рекомендуют тщательно подготовиться к МРТ сосудов головного мозга, чтобы обеспечить точность результатов. Прежде всего, важно обсудить с врачом все имеющиеся заболевания и аллергии, особенно на контрастные вещества, если они будут использоваться. За несколько дней до процедуры следует избегать употребления кофеина и алкоголя, так как они могут повлиять на сосудистый тонус. Накануне исследования желательно не есть тяжелую пищу, а также не курить. В день МРТ пациенту следует прийти в удобной одежде без металлических деталей и оставить все украшения и аксессуары дома. Наконец, важно сохранять спокойствие и следовать указаниям медицинского персонала во время процедуры для получения наиболее информативных снимков.

Показания
Магнитно-резонансная томография (МРТ) обладает высокой чувствительностью, что позволяет исследовать внутренние структуры черепа и получать информацию о происходящих в них процессах. Поэтому врачи назначают эту процедуру при подозрении на различные заболевания:
- изменения в мозговых тканях, образование кист;
- диагностика инсульта;
- нарушения кровообращения, вызванные сужением сосудов;
- определение объема кровоизлияния при травмах головы;
- повреждение сосудов;
- наличие тромбов и их локализация.
МРТ сосудов головного мозга отличается высокой точностью и занимает минимальное время, что особенно важно при серьезных травмах и прединсультных состояниях. Чем быстрее будет установлена причина плохого самочувствия, тем лучше.
Кроме диагностики явных повреждений сосудов и ухудшения мозгового кровообращения, врачи часто направляют пациентов на обследование при подозрении на опухоли головного мозга. Если изменения подтверждаются, МРТ позволяет точно определить размер образования в трех проекциях, что важно для дальнейшего наблюдения при медикаментозном лечении кисты. Эти данные также могут быть полезны при необходимости хирургического вмешательства.
Существует множество состояний и заболеваний, связанных с нарушениями в работе мозга, при которых важно обследовать не только сам орган, но и питающие его шейные артерии:
- патологические приступы головной боли, причины которых не удается выяснить стандартными методами;
- нарушения тонуса сосудов вегетативной нервной системы;
- шум в ушах и частые головокружения;
- травмы головы различной степени тяжести;
- нарушения мозгового кровообращения и признаки кислородного голодания;
- артериальная гипертензия;
- аневризмы аорты и сосудов, питающих мозг;
- приступы тошноты и рвоты без улучшения состояния;
- частые потери сознания без очевидных причин;
- кровоизлияния в мозг при инсульте;
- сужение сосудов при атеросклерозе;
- венозный тромбоз;
- врожденные пороки сердца;
- предрасположенность к васкулиту;
- наличие различных новообразований в головном мозге, мешающих нормальному кровотоку;
- диагностика лейкоатероза может осложняться другими нарушениями, такими как дегенеративные изменения тканей и нарушения метаболизма.
В некоторых случаях МРТ головного мозга может быть проведена детям, например:
- при судорожном синдроме;
- при резком ухудшении слуха и зрения;
- при заметном отставании в психомоторном развитии;
- при эпилепсии;
- при изменениях психического состояния;
- при подозрении на закрытую травму головы, полученную в результате падения;
- при нарушениях работы эпифиза, что может привести к образованию кист шишковидной железы, отвечающей за нормальное развитие и половое созревание ребенка.
Поскольку этот метод оказывает минимальное воздействие на организм, существуют показания для проведения МРТ головного мозга у беременных женщин, при условии, что контрастное вещество не используется.
Расшифровку снимков, полученных в результате магнитно-резонансного исследования, выполняет врач-диагност-радиолог. Обычно этот процесс занимает немного времени. Однако стоит помнить, что описание результатов не является диагнозом — для его интерпретации необходимо обратиться к лечащему врачу.
| Этап подготовки | Действия | Важные нюансы |
|---|---|---|
| Запись на исследование | Сообщите врачу о наличии имплантатов, аллергии, беременности. | Уточните, требуется ли направление от врача. |
| Подготовка к исследованию | За 2-3 часа до МРТ воздержитесь от приема пищи и напитков (особенно при МРТ с контрастом). | Примите душ, не используйте косметику, лак для волос, дезодоранты. |
| Непосредственно перед МРТ | Снимите все металлические предметы (украшения, часы, заколки, очки, слуховые аппараты). | Оставьте мобильный телефон и другие электронные устройства за пределами кабинета МРТ. |
| Во время исследования | Следуйте инструкциям рентгенолога: лежите неподвижно, не разговаривайте. | При возникновении дискомфорта или паники сообщите об этом через микрофон. |
| После исследования | Если вводился контраст, пейте больше жидкости для его выведения. | Обсудите результаты с лечащим врачом. |
Как подготовиться к МРТ головного мозга
Магнитно-резонансная томография (МРТ) сосудов головного мозга осуществляется с использованием специализированного оборудования — томографа. Этот аппарат создает мощное магнитное поле, которое может притягивать металлические предметы, находящиеся вблизи, что может привести к травмам как пациента, так и медицинского персонала.
Поэтому перед началом процедуры важно убедиться, что на теле отсутствуют следующие предметы:
- серьги, цепочки, пирсинги;
- часы;
- съемные слуховые аппараты и протезы;
- зажигалки, пластиковые карты;
- булавки, заколки;
- очки, авторучки;
- металлические детали одежды, броши.
Одним из преимуществ данного исследования является то, что специальная подготовка к МРТ головного мозга не требуется. Достаточно прийти за 15 минут до назначенного времени в медицинское учреждение, где будет проводиться обследование. Не забудьте взять с собой паспорт и документы, подтверждающие наличие льгот.
При диагностике заболеваний головного мозга с помощью МРТ важно обратить внимание на выбор томографа. Для получения наиболее точных результатов рекомендуется использовать закрытый томограф, так как его мощность выше, чем у открытого. Однако использование закрытого аппарата может быть ограничено в случае большого веса пациента или страха замкнутого пространства. Если страх не слишком выражен, можно воспользоваться успокоительными средствами.
Обследование следует проходить в свободной одежде без металлических элементов. Иногда предлагается переодеться в специальную больничную форму для МРТ. Также стоит позаботиться о сменной обуви — лучше взять с собой резиновые шлепанцы, которые легко снять перед тем, как лечь на кушетку аппарата.
Во время работы томограф издает громкий монотонный звук, поэтому рекомендуется использовать беруши для защиты слуха. Оптимально проходить обследование на голодный желудок, так как введение контрастного вещества может вызвать тошноту и рвоту. В этом случае можно взять с собой немного питьевой воды в пластиковой бутылке.
Основная подготовка к исследованию заключается в правильном психическом настрое пациента — важно не нервничать и помнить, что в случае необходимости на помощь всегда придут специалисты.
Для детей младше 5 лет обследование проводится только под наркозом, а подготовка детей старшего возраста осуществляется родителями.

О чем необходимо предупредить специалиста
Для выполнения МРТ головного мозга специальная подготовка не требуется, однако перед процедурой врач-диагност должен собрать как можно больше информации о пациенте. Поэтому перед обследованием больному следует сообщить следующие данные:
- наличие беременности;
- наличие аллергии на определенные медикаменты;
- страх перед замкнутыми пространствами и повышенная нервозность;
- перенесенные заболевания в предшествующий период;
- наличие электронных и металлических предметов в теле пациента (слуховые аппараты, осколки, дробь, сосудистые клипсы и зубные импланты).
Если пациент слишком впечатлителен и нуждается в успокоении, врачи могут предложить применение седативных средств перед началом магнитно-резонансного исследования.
Противопоказания
Несмотря на множество положительных аспектов, проведение магнитно-резонансной томографии (МРТ) сосудов головного мозга имеет свои противопоказания. Их можно разделить на две категории: относительные и абсолютные противопоказания.
Если противопоказание попадает во вторую категорию, то обследование возможно при соблюдении всех необходимых мер предосторожности.
Клаустрофобия и страх замкнутого пространства. В таких случаях процедуру можно выполнить под наркозом или с использованием мощных успокоительных средств.
Следует воздержаться от проведения процедуры в следующих случаях:
- Наличие неферромагнитных имплантов во внутреннем ухе.
- Установленные на сердце протезы клапанов, а также инсулиновые насосы.
Лицам с сердечной недостаточностью необходимо проявлять особую осторожность при проведении МРТ.
К абсолютным противопоказаниям относятся ситуации, при которых МРТ обследование мозга строго запрещено.
- Исследование нельзя проводить при наличии кардиостимулятора.
- Несъемные электронные и металлические импланты.
- Наличие кровоостанавливающей клипсы в сосудах головного мозга.
Как проводится МРТ головного мозга
На сегодняшний день существует два типа томографов: закрытые и открытые. В большинстве случаев для проведения МРТ сосудов головного мозга используется закрытый томограф, так как он обеспечивает более высокое качество изображений.
Перед началом обследования пациенту предлагают подписать согласие на процедуру, а при необходимости вводят седативные препараты.
Затем пациента укладывают на кушетку и информируют о том, что в течение определенного времени необходимо оставаться неподвижным. Если пациент не может контролировать свои движения, его фиксируют с помощью специальных ремней. Голова помещается в капсулу, которая обеспечивает ее стабильное положение, а под шею подкладывается валик. После этого кушетка задвигается в туннель томографа, а медицинский работник покидает помещение, и начинается процесс сканирования.
Не стоит волноваться — процедура проходит под внимательным контролем, а в капсуле установлен микрофон, который позволяет вызвать медицинский персонал. В случае ухудшения самочувствия пациента исследование будет немедленно остановлено.
В среднем, время, необходимое для проведения МРТ головного мозга или обследования сосудов, составляет около 20-30 минут. Если используется контрастное вещество, процедура займет в два раза больше времени, так как сначала выполняется общее сканирование мозга, а затем, с контрастом, более детальное.
Если обследование проводилось под наркозом, пациента некоторое время наблюдает врач-анестезиолог в стационаре из-за возможных осложнений после наркоза.
После завершения обследования рекомендуется избегать резких движений в течение некоторого времени, однако специальная реабилитация не требуется, и пациент может сразу вернуться к своим обычным делам.
Возможные осложнения в ходе и после МРТ
При проведении МРТ головного мозга могут возникнуть некоторые неудобства во время процедуры. Основной причиной дискомфорта является громкий звук, издаваемый работающим томографом, а также неприятные ощущения, связанные с введением контрастного вещества. В таких ситуациях важно сохранять спокойствие и стараться контролировать свои эмоции. Если это не помогает, можно обратиться за помощью к медицинскому персоналу через громкую связь или нажав кнопку вызова.
Современные технологии обеспечивают высокую точность диагностики, поэтому обследование сосудов головного мозга все чаще осуществляется без применения контрастных красителей, что снижает вероятность возникновения осложнений. Кроме того, появилась возможность сочетать магнитно-резонансную томографию с компьютерной томографией, что позволяет быстро получить трехмерное изображение мозгового кровообращения.
В редких случаях исследование может сопровождаться передозировкой седативных средств или аллергическими реакциями на контрастные вещества.
Результаты МРТ головного мозга
При выполнении всех требований для проведения МРТ головного мозга и обследования сосудов этого органа, на выходе получается значительное количество изображений, сделанных в различных проекциях.
Эти изображения передаются врачу-радиологу для расшифровки и анализа. Процесс занимает примерно 1,5—2 часа, поскольку необходимо тщательно изучить обширный объем данных. Получив заключение и снимки МРТ, рекомендуется обратиться к своему лечащему врачу, чтобы он смог установить точный диагноз.
Факторы, влияющие на четкость изображения
Яркость изображения, получаемого при магнитно-резонансной томографии (МРТ) мозга, зависит не только от мощности используемого томографа. На снимках ярко выделяются участки, богатые жировыми клетками, поскольку они содержат больше атомов водорода. В результате костная ткань отображается в темных тонах.
Если при проведении МРТ головы и шеи наблюдается низкая плотность изображения, это может свидетельствовать о необходимости использования контрастного вещества. Подобная ситуация часто возникает при диагностике опухолей мягких тканей мозга. Это связано с тем, что при наличии различных кист в пораженной области увеличивается содержание жидкости, что, в свою очередь, приводит к снижению МР-сигнала.
При выполнении МРТ толщина среза составляет 5-10 мм. Изменение этого диапазона может негативно сказаться на качестве изображения. Однако такой подход не всегда позволяет точно определить размер новообразования с первого раза, что может удлинить процесс диагностики.
Качественно выполненное МРТ мозга позволяет выявить нарушения кровообращения в этом органе, а также измерить пораженные участки при кровоизлияниях и травмах. Кроме того, оно помогает обнаружить изменения в структуре мозгового вещества, что делает его незаменимым инструментом в диагностике множества заболеваний.
Видео: ответы на самые частые вопросы
Подготовка к магнитно-резонансной томографии (МРТ) не вызывает особых трудностей. На начальном этапе нативного сканирования пациент не испытывает значительных неудобств. Для обследования органов малого таза необходимо употреблять достаточное количество жидкости. Исследование желудочно-кишечного тракта проводится после выполнения клизмы.
МРТ головного мозга без использования контрастных веществ требует лишь психологической подготовки. Во время процедуры важно сохранять неподвижность. Это может быть сложно для пациентов с неврологическими или психическими расстройствами, а также для тех, кто страдает от мышечных подергиваний. В таких случаях можно использовать седативные препараты. Для маленьких детей процедура проводится под наркозом. Открытые МРТ-аппараты идеально подходят для обследования новорожденных и грудничков, так как имеют свободный край, где может находиться взрослый.
После получения направления на исследование необходимо посетить врача-радиолога. Специалист изучит амбулаторную карту, результаты предыдущих исследований, определит показания и противопоказания, а также даст рекомендации по поводу разрешенных и запрещенных продуктов.
Магнитно-резонансная томография считается безопасной процедурой, так как не связана с радиационным облучением, в отличие от компьютерной томографии (КТ). Для минимизации теоретических рисков МРТ не рекомендуется проводить в первом триместре беременности. Процедура с контрастированием может повысить вероятность осложнений. Введение парамагнитного металла гадолиния улучшает визуализацию структур головы.

Как правильно подготовиться к МРТ головного мозга
Подготовка к процедуре МР-томографии требует тщательного планирования. Врач-радиолог принимает окончательное решение о том, возможно ли проведение исследования, а также выбирает метод и тактику его выполнения. Подготовка не требуется в следующих случаях:
Для улучшения самочувствия пациента специалисты иногда советуют выпить стакан воды за три часа до процедуры. Легкий завтрак поможет избежать дискомфорта, связанного с голодом. Если планируется контрастная томография, то прием пищи следует исключить за четыре часа до исследования. Гадолиний, используемый в качестве контрастного вещества, редко вызывает аллергические реакции, такие как кожный зуд, дерматит или высыпания. Соблюдение рекомендаций врача помогает минимизировать риск осложнений.
Пациент обязан сообщить медицинскому персоналу о наличии аллергических заболеваний, таких как бронхиальная астма или астматический бронхит. Даже небольшая доза контрастного вещества может вызвать серьезные осложнения у чувствительных людей, поэтому перед введением препарата проводится провокационная проба. Вводится минимальная доза контраста, после чего наблюдается состояние пациента. Сканирование продолжается только при отсутствии кожных реакций и других негативных изменений в здоровье.
Если возникают какие-либо осложнения, манипуляция должна быть немедленно прекращена. В процедурной комнате имеется аптечка для оказания экстренной медицинской помощи, и специалисты быстро вводят необходимые лекарства. Пациент остается под наблюдением медицинского персонала для оказания помощи в случае возникновения угрожающих жизни состояний. Исключение ошибок при проведении МРТ головного мозга возможно только при правильной подготовке к обследованию.
Выведение парамагнетиков происходит через почки, поэтому почечная недостаточность является противопоказанием для контрастной процедуры. Возможность проведения МР-сканирования у пациентов с недостаточностью почек определяется на основе анализа концентрации креатинина в крови и моче. Правильная подготовка возможна только после оценки результатов анализов.
Большая часть контрастного вещества выводится через мочевую систему. Увеличение его содержания в крови может указывать на почечную недостаточность, что исключает возможность проведения контрастной томографии. Биохимический анализ крови и общий анализ мочи являются обязательными диагностическими методами, которые назначаются перед магнитно-резонансным сканированием головного мозга и других органов.
На предварительном этапе проводятся анализы общего состояния мочи и крови, а также биохимические исследования. Эти показатели контролируются для своевременного выявления почечной или печеночной недостаточности. Наличие таких патологий замедляет выведение гадолиния и других контрастных веществ, поэтому МР-томография противопоказана пациентам с заболеваниями почек и печени из-за высокого риска отравления.
Кому противопоказана МР-томография мозга с контрастом
МР-томография может проводиться беременным женщинам в первом триместре. Наблюдения радиологов не выявили осложнений у плода после данной процедуры. Клинические исследования также подтверждают отсутствие негативного воздействия магнитного поля на человеческий эмбрион. Медицина основывается на доказательствах, и на данный момент нет данных о влиянии магнетизации на генетический фон. Тем не менее, нельзя полностью исключать возможность изменений в генах под воздействием магнитного поля. Вопрос о влиянии ядерного резонанса на организм человека требует дальнейшего изучения. Будущим матерям рекомендуется воздерживаться от исследования, если нет серьезных медицинских показаний.
Людям, страдающим от клаустрофобии, следует заранее сообщить специалисту о своих страхах. Аппараты имеют замкнутую конструкцию, что может вызывать дискомфорт. В случае клаустрофобии обследование можно провести на открытых установках, которые имеют свободные стороны.
Для решения диагностических задач достаточно возможностей открытых аппаратов. В научных целях используются закрытые высокопольные модели, которые способны выявлять патологические изменения размером в несколько десятых миллиметра.
Пациентам с психическими расстройствами могут быть назначены транквилизаторы, которые помогают снять возбуждение и справиться с неврологическими заболеваниями.
Перед проведением магнитно-резонансной томографии необходимо снять все металлические предметы, включая:
- Шпильки;
- Нейростимуляторы;
- Заколки;
- Кардиостимуляторы (если это возможно);
- Сосудистые клипсы;
- Зубные протезы;
- Ушные импланты;
- Сердечные клапаны;
- Ювелирные украшения;
- Часы.
Банковские карты, мобильные телефоны и часы лучше оставить за пределами процедурной комнаты. Металлические предметы удаляются на этапе подготовки к МРТ головного мозга.
Перед сканированием радиолог обязательно проверит, нет ли у пациента металлических объектов в теле. Согласно стандартам, рекомендуется проводить МРТ головы детям под наркозом, чтобы избежать их подвижности.
Для исключения наличия инородных тел в организме пациента на этапе подготовки выполняется рентгенография. Рентгенодиагностика необходима для выявления металлических фрагментов или остатков пуль после огнестрельных ранений.
Направление от участкового терапевта или лечащего врача является обязательным условием для проведения обследования. Специалист на предварительном этапе не всегда может точно определить показания и противопоказания. Окончательное решение всегда остается за врачом лучевой диагностики, который укажет, как правильно подготовиться к обследованию.
Для предотвращения подвижности головы используется предварительная фиксация. Верхняя часть туловища приподнимается в зависимости от плоскости томографии. Процедура занимает около 40 минут. В зависимости от целей томографии устанавливается правильное положение головы. При необходимости во время сканирования может быть выполнен поворот туловища. Сканирование осуществляется последовательно через несколько миллиметров, в зависимости от возможностей оборудования.
Как делают магнитно-резонансную томографию головы с контрастом
Увеличение видимости сосудов головного мозга достигается благодаря внутривенному введению гадолиния. Этот препарат делает артерии восприимчивыми к магнитному полю. Гадолиний является парамагнитным и гипоаллергенным соединением, и случаи гиперчувствительности к нему встречаются довольно редко. Перед проведением контрастирования необходимо убедиться в отсутствии беременности у женщины.
Современные аппараты оснащены автоматическими дозаторами, которые последовательно вводят препараты на основе солей гадолиния. Во время распространения вещества по сосудам выполняется томография. Процедура не вызывает болевых ощущений, единственным дискомфортом может стать металлический привкус во рту.
Дополнительным методом обследования является спектроскопия, которая позволяет оценить биохимические процессы в мозговой ткани. Подготовка к этому этапу более сложная. Дети должны оставаться неподвижными в течение примерно 40 минут. Для грудных детей и новорожденных сканирование головы проводится под наркозом, а школьникам могут назначаться успокоительные препараты.
Взрослые пациенты после томографии могут вернуться к привычному образу жизни и соблюдать правильное питание. Дети требуют более тщательной подготовки: за несколько дней до контрастирования их помещают в стационар вместе с матерью.
Что можно кушать и пить перед МРТ
Подготовка к исследованию может вызвать определенные трудности, особенно когда речь идет о сканировании мочевого пузыря. Этот орган имеет тонкие стенки, которые могут слипаться без предварительного наполнения. Для получения четкого изображения необходимо заполнить пузырь водой. Рекомендуется выпить 2-3 литра жидкости за 4 часа до проведения магнитно-резонансной томографии.
Кроме того, перед сканированием кишечника стоит провести очистительную клизму. Удаление каловых масс и остатков пищи значительно улучшает видимость стенок желудочно-кишечного тракта.
Что можно кушать перед МРТ головного мозга
За четыре часа до проведения магнитно-резонансной томографии головы с использованием контраста разрешено употребление следующих продуктов:
- Черный хлеб и другие изделия из муки;
- Свежие овощи;
- Напитки, содержащие кофеин.
Все продукты должны быть подвергнуты термической обработке. Фрукты и овощи, а также укроп рекомендуется готовить на пару.
Перед МРТ головы можно включить в рацион нежирную рыбу, мясо, кисломолочные напитки и тушеные овощи. По поводу приема медикаментов обязательно стоит проконсультироваться с врачом.
Для маленьких детей прием пищи разрешен за 5 часов до обследования. Младенцы, находящиеся на искусственном вскармливании, должны быть должным образом подготовлены перед наркозом. Рекомендуется избегать использования газообразующих смесей.
Можно ли пить алкоголь перед МРТ
Специалисты подчеркивают, что употребление алкоголя и магнитно-резонансная томография (МРТ) несовместимы. Бывают ситуации, когда МРТ необходимо пройти после семейных праздников. Последний прием спиртных напитков должен быть не менее чем за 48 часов до процедуры. Контрастное МРТ сосудов головного мозга особенно чувствительно к алкоголю. После употребления спиртного артерии сначала расширяются, затем происходит обезвоживание, и через несколько минут сосуды сужаются. Это нарушение кровоснабжения может привести к искажению сигналов от атомов водорода под воздействием мощного магнитного поля.
Ответ на вопрос, можно ли пить алкоголь перед МРТ, очевиден. Метаболиты этилового спирта являются сильными нейротоксическими веществами. У людей, злоупотребляющих алкоголем, могут возникать необратимые изменения в мозге. Если провести МРТ головы на следующий день после употребления спиртных напитков, нельзя ожидать точных результатов.
Томография четко выявляет необратимые изменения в мягких тканях. Искаженные данные могут возникнуть при поражении белого и серого вещества, коры, внутримозговых сосудов и шейных артерий. Алкогольное опьянение является противопоказанием для магнитно-резонансного сканирования мозга из-за возможного неадекватного поведения пациента на столе.
Перед процедурой необходимо правильно подготовиться. Есть и пить разрешается не позднее чем за 2 часа до обследования. Прием медикаментов также не рекомендуется перед сканированием брюшной полости.
Специалисты советуют не переедать перед МРТ головного мозга. Алкоголь следует исключить. Остальные рекомендации по подготовке даст врач лучевой диагностики.
После обследования пациент может вернуться к привычному образу жизни.
Подготовка к МРТ не требует таких усилий, как предварительные этапы других диагностических процедур. Отсутствие радиационного облучения делает это исследование популярным среди населения. Частные клиники предлагают платные услуги.
Стоимость магнитно-резонансной томографии головы выше, чем у компьютерной томографии. Цена определяется расходами на электроэнергию, необходимую для создания сильного магнитного поля. Высокая стоимость также связана с дорогостоящим ремонтом и техническим обслуживанием оборудования.
Можно ли проходить магнитно-резонансную томографию головного мозга во время менструации? Как МРТ влияет на женский репродуктивный цикл? Существуют ли противопоказания к МРТ в период менструации?
Свяжитесь с нами по телефону 8 (812) 241-10-46 с 7:00 до 00:00 или оставьте заявку на сайте в любое удобное время.
Помните, что МРТ головного мозга проводится только с письменного согласия пациента или его законных представителей.
Когда показано МРТ головного мозга?
Исследование назначается в следующих случаях:
- наличие постоянных болей в области шеи или головы;
- подозрение на наличие опухолей;
- проявления нарушений мозгового кровообращения;
- парезы, слабость в конечностях, гиперестезия или онемение;
- проблемы с речью;
- случаи паралича;
- периодические обмороки;
- постоянные головокружения;
- замеченные отклонения в умственном развитии ребенка или снижение интеллекта у взрослого, а также провалы в памяти и эпизоды полной или частичной дезориентации в пространстве.
При каких болезнях направляют на МРТ головы?
Врач обязательно выпишет направление на МРТ, если у пациента наблюдаются следующие состояния:
- серьезные травмы головы или сотрясения;
- врожденные аномалии развития;
- заболевания опорно-двигательного аппарата;
- онкологические заболевания головного мозга или наличие метастазов;
- рассеянный склероз;
- эпилептические приступы или отдельные эпизоды эпилепсии;
- аневризмы;
- гидроцефалия;
- васкулиты;
- артериовенозные мальформации;
- патологические изменения в гипофизе или области турецкого седла;
- риск инсульта;
- заболевания носоглотки, затрудняющие или делающие невозможным носовое дыхание;
- воспалительные процессы в мозговых оболочках;
- деменция неясного происхождения;
- СПИД.
Подбор одежды для процедуры
При подготовке к магнитно-резонансной томографии (МРТ) сосудов головного мозга важным аспектом является правильный выбор одежды. Это связано с тем, что во время процедуры пациент должен находиться в комфортной и безопасной обстановке, а также избежать возможных помех для получения качественных изображений.
Во-первых, рекомендуется выбирать свободную и удобную одежду. Это позволит вам расслабиться во время процедуры и избежать дискомфорта, особенно если вам нужно будет лежать в одном положении на протяжении длительного времени. Одежда должна быть из натуральных тканей, таких как хлопок или лен, чтобы обеспечить хорошую вентиляцию и комфорт.
Во-вторых, стоит обратить внимание на отсутствие металлических элементов в одежде. Это может включать в себя металлические застежки, молнии, пуговицы или украшения. Металл может вызвать артефакты на изображениях и помешать точной интерпретации результатов. Поэтому лучше всего выбирать одежду без металлических деталей или с минимальным их количеством.
Также рекомендуется избегать ношения тяжелых аксессуаров, таких как ремни с металлическими пряжками, большие украшения или часы. Если вы носите очки, лучше всего использовать пластиковую оправу, так как металлические детали могут также повлиять на качество снимков.
Кроме того, стоит учитывать, что в помещении, где будет проводиться МРТ, может быть прохладно. Поэтому, если вы склонны к замерзанию, лучше взять с собой легкий свитер или плед, который можно будет использовать во время ожидания процедуры.
Наконец, перед процедурой рекомендуется обсудить с медицинским персоналом все вопросы, касающиеся одежды и возможных ограничений. Это поможет избежать недоразумений и обеспечит максимально комфортное прохождение МРТ.
Психологическая подготовка к МРТ
Психологическая подготовка к МРТ сосудов головного мозга играет важную роль в успешности процедуры и комфорте пациента. Понимание процесса, а также преодоление возможных страхов и тревог помогут сделать исследование более спокойным и эффективным.
Первым шагом к психологической подготовке является получение информации о том, как проходит процедура. МРТ (магнитно-резонансная томография) — это неинвазивный метод исследования, который использует магнитные поля и радиоволны для получения изображений внутренних структур организма. Зная, что процедура безопасна и безболезненна, пациенты могут снизить уровень тревожности.
Многие люди испытывают страх перед замкнутыми пространствами (клаустрофобия), что может стать серьезным препятствием во время МРТ. Чтобы справиться с этим, рекомендуется заранее обсудить свои опасения с врачом или медицинским персоналом. В некоторых случаях может быть предложено использование открытого МРТ-аппарата, который обеспечивает большее пространство и меньшее ощущение замкнутости.
Также полезно заранее подготовить себя к тому, что во время процедуры необходимо будет оставаться неподвижным. Это может вызвать дискомфорт, особенно если у пациента есть проблемы с болями или другими физическими ограничениями. Для уменьшения напряжения можно использовать дыхательные техники, такие как глубокое дыхание или медитация, которые помогут расслабиться и сосредоточиться на чем-то другом.
Важно помнить, что во время процедуры пациент может общаться с медицинским персоналом через специальный микрофон. Это знание может помочь снизить уровень тревожности, так как вы будете уверены, что в любой момент сможете сообщить о своих ощущениях или попросить о помощи.
Наконец, стоит подумать о том, как вы будете себя чувствовать после процедуры. Некоторые пациенты могут испытывать легкую усталость или головокружение. Подготовьте план на день, чтобы у вас была возможность отдохнуть после исследования. Возможно, стоит взять с собой кого-то из близких, кто сможет поддержать вас и отвлечь после процедуры.
В заключение, психологическая подготовка к МРТ сосудов головного мозга включает в себя информирование о процессе, преодоление страхов, использование техник релаксации и планирование последующих действий. Все эти шаги помогут сделать процедуру более комфортной и менее стрессовой.
Что взять с собой на процедуру
Подготовка к МРТ сосудов головного мозга включает в себя не только соблюдение рекомендаций врача, но и правильное оснащение себя необходимыми вещами. Вот список того, что стоит взять с собой на процедуру:
- Направление на обследование: Если вам назначили МРТ, обязательно возьмите с собой направление от врача. Это может быть как бумажный документ, так и электронная версия, если ваша клиника принимает такие форматы.
- Документы: Не забудьте взять с собой паспорт или другой документ, удостоверяющий личность. Это необходимо для идентификации вас в медицинском учреждении.
- Страховой полис: Если у вас есть медицинская страховка, возьмите с собой страховой полис. Это может помочь избежать дополнительных расходов на процедуру.
- Удобная одежда: Рекомендуется надеть свободную и удобную одежду, которая не содержит металлических элементов. Это связано с тем, что во время МРТ необходимо будет снять все металлические предметы, включая украшения, ремни и даже некоторые элементы одежды.
- Личные вещи: Если вы планируете ждать своей очереди, возьмите с собой книгу, журнал или другие развлечения, чтобы скоротать время. Также можно взять с собой наушники и музыку, если это разрешено в клинике.
- Список принимаемых лекарств: Если вы принимаете какие-либо лекарства, полезно иметь при себе их список. Это может быть важно для врача, особенно если у вас есть аллергии или хронические заболевания.
- Сопровождающее лицо: Если вам требуется помощь или поддержка, особенно если вы испытываете тревогу перед процедурой, возьмите с собой близкого человека. Это может помочь вам чувствовать себя более комфортно.
- Напитки и закуски: В зависимости от времени ожидания и ваших личных предпочтений, можно взять с собой воду или легкие закуски. Однако стоит уточнить у медицинского персонала, разрешено ли это, особенно если вам предстоит контрастное усиление.
Подготовившись заранее и собрав все необходимые вещи, вы сможете минимизировать стресс и сосредоточиться на самой процедуре. Не забудьте также уточнить у врача или в клинике все детали, касающиеся подготовки к МРТ, чтобы избежать неприятных сюрпризов.




