Аневризма аорты сердца — серьезное заболевание, требующее внимательной диагностики. Это патологическое расширение аорты, крупнейшей артерии организма, может привести к опасным осложнениям, включая разрыв сосуда. В статье рассмотрим, что такое аневризма аорты сердца, ее симптомы и важность своевременного распознавания для предотвращения серьезных последствий. Информация поможет читателям понять заболевание и его риски, а также обратить внимание на сигналы организма.
Аневризма аорты сердца – что это такое?
Аневризма аорты сердца представляет собой патологическое расширение одного из участков самой крупной артерии в человеческом организме. Основной причиной возникновения этой патологии является слабость стенки артерии. Формирование аневризмы аорты является необратимым процессом, что делает необходимым хирургическое вмешательство для лечения данного заболевания.
Чаще всего аневризма затрагивает грудной отдел аорты, который составляет около 2/3 всех зарегистрированных случаев. Согласно данным, полученным в ходе посмертных исследований, аневризма аорты выявляется у 0,6-6,5% пациентов. Аневризму аорты можно определить как любое расширение просвета сосуда, превышающее его нормальный диаметр в два раза. В основном это заболевание наблюдается у пожилых людей, часто на фоне гипертонической болезни и атеросклероза.
Аневризма аорты представляет собой крайне опасное состояние. Пациенты с таким диагнозом находятся под постоянной угрозой для жизни. Разрыв аневризмы может произойти в любой момент, что приведет к серьезному внутреннему кровотечению. В результате такого осложнения до 40% пациентов могут погибнуть, даже если они будут доставлены в медицинское учреждение вовремя.
Аневризма аорты сердца представляет собой локальное расширение стенки аорты, что может привести к серьезным осложнениям. Врачи подчеркивают, что данное состояние часто протекает бессимптомно, что делает его особенно опасным. Однако при прогрессировании аневризмы могут возникать такие симптомы, как боль в груди, одышка, а также дискомфорт в спине. Важно отметить, что при разрыве аневризмы риск летального исхода значительно возрастает. Специалисты рекомендуют регулярные обследования, особенно для людей с предрасположенностью к сердечно-сосудистым заболеваниям. Ранняя диагностика и своевременное лечение могут существенно повысить шансы на благоприятный исход.

Разновидности аневризмы аорты сердца
Существует несколько способов классификации аневризмы аорты сердца, основанных на различных признаках.
Виды аневризмы аорты сердца в зависимости от ее локализации.
Аневризма дуги аорты – по различным данным, эта патология встречается в 3-7 раз чаще у мужчин, а смертность в течение пяти лет после ее выявления может достигать 65%.
Аневризма нисходящего и восходящего грудного отдела аорты (мужчины страдают от нее в 3-5 раз чаще, чем женщины).
Аневризма синуса Вальсальвы.
Аневризма брюшной аорты – эта форма аневризмы быстро прогрессирует, увеличиваясь в диаметре на 10% всего за год, что часто приводит к разрыву.
Аневризма торакоабдоминальной части аорты.
Виды аневризмы аорты сердца в зависимости от ее строения. Здесь выделяют истинные и ложные аневризмы.
Истинная аневризма характеризуется выпячиванием стенки аорты в разные стороны. Существуют сифилитические и атеросклеротические истинные аневризмы.
Ложная аневризма формируется стенкой из соединительной ткани гематомы, при этом сама аорта не участвует в ее образовании. Тем не менее, ложная аневризма также представляет серьезную опасность.
Виды аневризмы аорты сердца в зависимости от ее формы.
Мешотчатая аневризма аорты, при которой стенка сосуда растягивается, образуя полость, заполненную кровью. Эта форма аневризмы чаще всего затрагивает восходящую часть аорты и имеет высокую склонность к разрывам.
Веретенообразная аневризма аорты. Этот тип дефекта характеризуется диффузным выпячиванием аорты по всему ее диаметру. Такие аневризмы могут достигать значительных размеров и вызывать симптомы сдавления.
| Что такое аневризма аорты? | Симптомы аневризмы аорты | Факторы риска и осложнения |
|---|---|---|
| Определение: Патологическое расширение участка аорты (самой крупной артерии организма), вызванное ослаблением ее стенки. Может быть мешковидной или веретенообразной формы. | Часто бессимптомна: На ранних стадиях аневризма может не проявляться никакими симптомами и обнаруживаться случайно при обследованиях по другим причинам. | Факторы риска: |
| Локализация: Чаще всего встречается аневризма брюшной аорты (ниже почечных артерий) и грудной аорты (восходящая, дуга, нисходящая). | Симптомы при увеличении или разрыве: | * Атеросклероз: Основная причина, связанная с накоплением бляшек на стенках артерий. |
| Причины: Ослабление стенки аорты может быть вызвано атеросклерозом, генетическими заболеваниями (синдром Марфана, Элерса-Данлоса), воспалительными процессами (аортит), травмами, инфекциями. | * Боль: В зависимости от локализации аневризмы: в груди, спине, животе, пояснице. Может быть острой, тупой, постоянной или приступообразной. | * Высокое артериальное давление (гипертония): Увеличивает нагрузку на стенки аорты. |
| Опасность: Главная опасность аневризмы — ее разрыв, который является жизнеугрожающим состоянием и требует немедленной медицинской помощи. | * Пульсация: Ощущение пульсации в животе (при аневризме брюшной аорты). | * Курение: Значительно повышает риск развития и разрыва аневризмы. |
| * Одышка, кашель, осиплость голоса: При сдавлении аневризмой грудной аорты близлежащих органов (трахеи, бронхов, пищевода, возвратного гортанного нерва). | * Пожилой возраст: Риск увеличивается с возрастом. | |
| * Затруднение глотания (дисфагия): При сдавлении пищевода. | * Наследственность: Наличие аневризмы у близких родственников. | |
| * Симптомы ишемии конечностей: При сдавлении или тромбозе артерий, отходящих от аорты. | * Пол: Мужчины чаще страдают аневризмой брюшной аорты. | |
| * При разрыве: Внезапная, сильная, раздирающая боль, резкое падение артериального давления, шок, потеря сознания. | Осложнения: | |
| * Разрыв аневризмы: Самое опасное осложнение, приводящее к массивному внутреннему кровотечению и часто к летальному исходу. | ||
| * Расслоение аорты: Разрыв внутренней оболочки аорты, приводящий к образованию ложного просвета между слоями стенки. | ||
| * Тромбоэмболия: Образование тромбов внутри аневризмы, которые могут отрываться и закупоривать другие артерии. | ||
| * Сдавление соседних органов: При больших размерах аневризмы. |
Почему образуется аневризма аорты сердца?
Аневризма аорты сердца может быть как врожденной, так и приобретенной. Врожденные аневризмы возникают из-за наличия у плода наследственных заболеваний, таких как синдром Марафана, фиброзная дисплазия, болезни соединительной ткани и другие. Также различные заболевания матери, перенесенные во время беременности, могут способствовать развитию аневризмы аорты у ребенка. Прогноз в таких случаях часто неблагоприятный, так как новорожденному может потребоваться сложная операция на сердце.
Что касается приобретенных аневризм аорты сердца, то их причины могут быть разнообразными:
Атеросклероз сосудистой стенки является основной причиной (до 80% случаев аневризмы аорты вызваны именно атеросклерозом). Под воздействием холестериновой бляшки, образующейся на аорте, начинаются дегенеративные процессы, которые ослабляют стенку сосуда, лишая ее эластичности и приводя к выпячиванию. В результате формируется аневризма.
Поздняя стадия сифилиса также может быть причиной. В этом случае патогенные бактерии проникают в стенку аорты с кровотоком и начинают ее разрушать. Однако в настоящее время эта причина встречается редко, так как сифилис успешно диагностируется и лечится.
Травмы, полученные в результате хирургических вмешательств на сердце, таких как коронография или коронарная ангиопластика, также могут привести к образованию аневризмы.
Воспалительные процессы, такие как специфический и неспецифический аортит, послеоперационные инфекции и грибковые заболевания аорты, могут стать причиной формирования аневризмы главного сосуда сердца. Иногда аневризма возникает из-за нетипичного расположения микобактерий туберкулеза, сальмонелл и других патогенных микроорганизмов.
Кроме того, существуют факторы, способствующие развитию аневризмы аорты сердца, которые в большинстве случаев связаны с образом жизни человека.
К таким факторам относятся:
Злоупотребление алкоголем и курение.
Неправильное питание (употребление продуктов с высоким содержанием холестерина).
Наличие хронических заболеваний, особенно гипертонии, которая диагностируется у 75% пациентов с аневризмой аорты сердца.
Таким образом, можно заключить, что аневризма не является самостоятельным заболеванием. Она всегда связана с теми или иными патологическими процессами в организме. Аневризма, по сути, представляет собой серьезное осложнение атеросклероза, гипертонической болезни, травм и других состояний.

Каким образом проявляет себя аневризма аорты сердца
Аневризма аорты сердца представляет собой серьезную угрозу, так как на протяжении длительного времени может не проявлять себя. Первые признаки обычно возникают только тогда, когда увеличенный сосуд начинает оказывать давление на близлежащие органы. В этом случае симптомы будут зависеть от места расположения аневризмы.
Если аневризма находится в грудной области, у пациента могут возникнуть такие симптомы, как кровохарканье на фоне сухого кашля, хриплый голос, одышка и сильные боли в груди.
Аневризма брюшной аорты в 40% случаев протекает без симптомов, что делает ее обнаружение чаще всего случайным, во время диагностики других заболеваний. К симптомам, характерным для аневризмы в брюшной полости, относятся: боли в животе и спине, а также ощущение пульсации в области живота. При сжатии кардиального отдела желудка и двенадцатиперстной кишки у пациента могут наблюдаться потеря веса, тошнота, рвота, отрыжка и чувство тяжести в верхней части живота.
Если аневризма достигает значительных размеров, симптомы становятся более выраженными. Это может проявляться в виде сильных головных болей и отечности верхней части тела.
При формировании аневризмы на дуге аорты основными симптомами являются усиленное слюнотечение и замедленный пульс.
Чем опасна аневризма аорты сердца?
Разрыв аневризмы аорты сердца представляет собой одно из самых серьезных осложнений данного заболевания. Об этом мы поговорим подробнее ниже.
Кроме того, аневризма может привести к следующим проблемам со здоровьем:
Образование тромбов, что связано с нарушением нормального кровотока. Тромб может отделиться от аорты и заблокировать более мелкие сосуды (например, мозговые артерии, артерии печени, почек, рук, ног и т.д.). Это может привести к некрозу соответствующих тканей.
Развитие пневмонии, вызванной сжатием бронхов или трахеи аневризмой аорты в грудной области.
Сдавление желчевыводящих путей, что ухудшает процессы пищеварения и может привести к таким заболеваниям, как холецистит, панкреатит, а также к диарее, запорам, вздутию живота и другим расстройствам.
Нарушение сердечной деятельности, проявляющееся в виде брадикардии или тахикардии. В некоторых случаях аневризма аорты может стать причиной стойких изменений в сердечном клапане, которые остаются необратимыми даже после удаления аневризмы.
Ишемическая болезнь нижних конечностей, которая может привести к образованию трофических язв и другим повреждениям мягких тканей.

Разрыв аневризмы аорты сердца – чем это грозит?
Разрыв аорты сердца у человека может иметь крайне серьезные последствия. У пациентов возникает обширное кровотечение, которое может привести к шоку, коме, коллапсу и острому сердечному недостатку.
Кровь может начать вытекать из разорвавшейся аневризмы в пищевод, брюшную полость, плевральную область, систему верхней полой вены или в перикард. Наиболее часто летальный исход наблюдается при тампонаде сердца, гемоперикардите, гемотораксе, а также при массивных внутренних кровотечениях.
Разрыву аневризмы могут способствовать различные факторы: интенсивные физические нагрузки, травмы, особенно полученные при падении, сильные эмоциональные потрясения, а также прием медикаментов, способствующих повышению артериального давления.
Среди симптомов разрыва аорты можно выделить: нарастающую слабость, потерю сознания, шум в ушах, резкую сильную боль, бледность кожи и появление темных пятен в области живота.
Для спасения жизни человека с разрывом аневризмы аорты сердца крайне важно незамедлительно вызвать бригаду скорой помощи.
Как можно обнаружить аневризму аорты сердца?
Диагностика этого опасного для жизни дефекта стенки аорты представляет собой серьезную задачу. Поэтому, если существует риск развития аневризмы (например, при наличии атеросклероза, гипертонической болезни или в пожилом возрасте), важно регулярно проходить медицинские обследования.
Ультразвуковое исследование (УЗИ) помогает обнаружить аневризму на ранних стадиях ее формирования, а также в тех случаях, когда она еще не проявила себя, но может появиться в ближайшем будущем.
Брюшная аневризма аорты хорошо видна на рентгеновских снимках. Это связано с тем, что на аневризме накапливается кальций, который создает тень во время исследования.
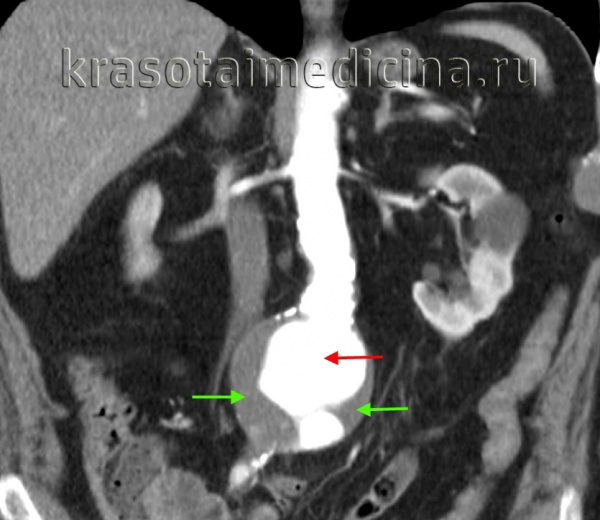
Если во время УЗИ у пациента была выявлена аневризма, ему назначают магнитно-резонансную томографию (МРТ) или компьютерную томографию (КТ). Эти методы позволяют получить наиболее полную информацию о существующем дефекте.
Методы лечения
Если аневризма не увеличивается в размерах и не проявляет симптомов, пациента ставят под наблюдение сосудистого хирурга. Для снижения вероятности осложнений назначаются антикоагулянты (такие как Аспирин, Варфарин, Клопидогрел), а также контролируются показатели артериального давления (например, с помощью Амлодипина, Эналаприла, Рамиприла) и уровня холестерина в крови (при помощи Симвастатина, Аторвастатина, Фенофибрата и других препаратов).
Избавиться от аневризмы можно только хирургическим путем. Показанием для операции является увеличение аневризмы до 4 см и более для брюшной формы, а для грудной — до 5,5 см. Также операция необходима, если за год аневризма увеличивается более чем на 0,5 см.
В случае разрыва аневризмы операция проводится срочно, так как это единственный способ спасти жизнь пациента.
Что касается хирургического вмешательства, оно может быть двух типов:
-
Открытая операция, при которой устанавливается искусственный сосуд, заменяющий поврежденный участок.
-
Стентирование. В этом случае выполняется пункция бедренной артерии, по которой до места расположения аневризмы вводится металлический стент. Достигнув нужной области, стент раскрывается и укрепляет аорту изнутри. Эта процедура менее травматична, но требует наличия специализированного оборудования и квалифицированного сосудистого хирурга.
Прогноз заболевания
Прогноз заболевания во многом определяется размерами аневризмы, наличием атеросклероза, а также местом и типом дефекта. В общем, прогноз остается неблагоприятным из-за высокого риска летального исхода в результате разрыва аневризмы. Если аневризма достигает 6 сантиметров и более, вероятность ее разрыва в течение года составляет 50%. При меньших размерах этот риск снижается до 20%.
Ранняя диагностика аневризмы аорты сердца значительно улучшает прогноз на успешное проведение операции и снижает уровень смертности среди пациентов во время вмешательства.
Образование: Диплом по специальности «Кардиология» был получен в ПМГМУ имени И. М. Сеченова в 2015 году. Здесь же была завершена аспирантура, и получен диплом «Кардиолог».
Аневризма аорты представляет собой патологическое локальное расширение участка главной артерии, вызванное слабостью ее стенок. В зависимости от расположения аневризмы, она может проявляться болями в грудной клетке или животе, наличием пульсирующего опухолевидного образования, а также симптомами компрессии соседних органов, такими как одышка, кашель, дисфония, дисфагия, отечность и цианоз лица и шеи. Основными методами диагностики аневризмы аорты являются рентгенологические исследования (рентгенография грудной клетки и брюшной полости, аортография) и ультразвуковые методы (УЗДГ, УЗДС грудной и брюшной аорты). Хирургическое лечение аневризмы включает резекцию с последующим протезированием аорты или закрытое эндолюминальное протезирование аневризмы с использованием специального эндопротеза.
МКБ-10
Общие сведения
Аневризма аорты представляет собой необратимое увеличение диаметра артериального ствола в определенной области. Примерное распределение аневризм по различным участкам аорты выглядит следующим образом: 37% случаев приходятся на аневризмы брюшной аорты, 23% — на восходящий отдел, 19% — на дугу аорты, а 19,5% — на нисходящий отдел грудной аорты. Таким образом, аневризмы грудной аорты составляют почти две трети всех случаев патологии в кардиологии. Часто аневризмы грудного отдела аорты наблюдаются в сочетании с другими аортальными заболеваниями, такими как аортальная недостаточность и коарктация аорты.
Причины
Существует два основных типа причин, способствующих образованию аневризмы: врожденные и приобретенные.
К наиболее распространенным врожденным причинам можно отнести:
- нехватка белка эластина в организме. Эластин является важным компонентом сосудистых стенок и отвечает за их гибкость;
- синдром Марфана. Этот синдром вызывает нарушения в формировании соединительной ткани, что может привести не только к аневризме аорты, но и к различным заболеваниям сердца, опорно-двигательной системы и органов зрения;
- синдром Элерса-Данлоса. Данная врожденная аномалия характеризуется недостаточным образованием коллагена, что затрагивает крупные артерии.
Что касается приобретенных причин аневризмы аорты, то к ним относятся:
- атеросклероз. Избыточные отложения холестерина на стенках сосудов приводят к их истончению и последующему расширению просвета;
- аортит (воспаление аорты). Чаще всего воспаление аорты возникает из-за сифилиса или грибковых инфекций;
- гипертоническая болезнь. Постоянно повышенное артериальное давление вызывает расширение аорты, что может привести к образованию аневризмы;
- травмы аорты, полученные в результате аварий или хирургических вмешательств;
- аутоиммунные заболевания, вызывающие воспаление стенок крупных сосудов.
Патогенез
В образовании аневризмы аорты помимо дефектов стенки важную роль играют механические и гемодинамические факторы. Аневризмы чаще всего возникают в зонах, подверженных значительным нагрузкам, что связано с высокой скоростью кровотока, крутизной пульсовой волны и ее формой. Хронические повреждения аорты и повышенная активность протеолитических ферментов приводят к разрушению эластического каркаса и вызывают неспецифические дегенеративные изменения в стенках сосуда.
Развившаяся аневризма аорты постепенно увеличивается в размерах, так как напряжение на ее стенках возрастает пропорционально расширению диаметра. Кровоток в аневризматическом мешке замедляется и становится турбулентным. В дистальное артериальное русло поступает лишь около 45% крови от общего объема, находящегося в аневризме. Это происходит потому, что, попадая в аневризматическую полость, кровь движется вдоль стенок, в то время как центральный поток затрудняется из-за турбулентности и наличия тромботических масс в аневризме. Присутствие тромбов в полости аневризмы увеличивает риск тромбоэмболий в дистальных ветвях аорты.
Классификация
Существует два основных типа аневризмы.
| Истинная | При истинной аневризме затрагиваются все три слоя стенки аорты. Стенка выпячивается, формируя плавное расширение, которое на 50% и более превышает диаметр аорты. |
| Ложная (псевдоаневризма) | Ложная аневризма возникает в результате повреждения внутренней стенки аорты. В результате этого образуется «карман», куда попадает кровь. На поврежденной стороне аорты формируется пульсирующее расширение, при этом диаметр сосуда остается неизменным. |
Аневризмы также классифицируются по форме расширения:
- веретенообразная. Расширение происходит равномерно, охватывая весь диаметр сосуда;
- мешотчатая. Выпячивание имеет форму мешка, при этом его размер не превышает 50% диаметра аорты;
- расслаивающаяся. Расслаивающаяся аневризма развивается из-за повреждения внутреннего слоя сосуда. Кровь затекает в образовавшийся карман, постепенно увеличивая его и вызывая расслоение стенок аорты.
Симптомы аневризмы аорты
Клинические проявления аневризм аорты разнообразны и зависят от их расположения, размеров аневризматического мешка, длины и причин заболевания. Аневризмы могут не проявляться симптомами или иметь незначительные признаки, что приводит к их обнаружению во время профилактических обследований. Основным симптомом является боль, возникающая из-за повреждения стенки аорты, ее растяжения или сдавления окружающих структур.
Аневризма брюшной аорты
Клиника аневризмы брюшной аорты может проявляться как временными, так и постоянными разлитими болями, дискомфортом в области живота, отрыжкой, ощущением тяжести в верхней части живота, чувством переполненности желудка, тошнотой, рвотой, нарушениями работы кишечника и потерей веса. Эти симптомы могут возникать из-за сжатия кардиального отдела желудка и двенадцатиперстной кишки, а также вовлечения висцеральных артерий. Часто пациенты самостоятельно замечают усиленную пульсацию в области живота. При пальпации можно выявить напряженное, плотное и болезненное пульсирующее образование.
Аневризма грудной аорты
Аневризма восходящего отдела аорты часто проявляется болями в сердце или за грудиной, что связано с сжатием или сужением коронарных артерий. У пациентов с аортальной недостаточностью наблюдаются одышка, учащенное сердцебиение и головокружение. Аневризмы значительных размеров могут привести к синдрому верхней полой вены, что проявляется головными болями и отечностью лица и верхней части тела.
Аневризма дуги аорты может сжимать пищевод, вызывая дисфагию; если затрагивается возвратный нерв, это приводит к осиплости голоса (дисфонии) и сухому кашлю. При вовлечении блуждающего нерва могут возникать брадикардия и повышенное слюноотделение. Компрессия трахеи и бронхов вызывает одышку и стридорозное дыхание, а сжатие корня легкого может привести к застойным явлениям и частым пневмониям.
При раздражении аневризмы нисходящей аорты периаортального симпатического сплетения возникают боли в левой руке и области лопатки. Если вовлекаются межреберные артерии, это может привести к ишемии спинного мозга, парапарезам и параплегиям. Компрессия позвонков сопровождается их износом, дегенерацией и смещением, что может привести к кифозу. Сдавление сосудов и нервов проявляется радикулярными и межреберными невралгиями.
Осложнения
Аневризмы аорты могут привести к серьезным осложнениям, таким как разрыв, который вызывает обильное кровотечение, коллапс, шок и острую сердечную недостаточность. Разрыв аневризмы может произойти в систему верхней полой вены, перикардиальную и плевральную полости, пищевод или брюшную полость. Это может привести к тяжелым, иногда смертельным состояниям, таким как синдром верхней полой вены, гемоперикард, тампонада сердца, гемоторакс, а также кровотечения в легких, желудочно-кишечном тракте или внутрибрюшной области.
Если из аневризматической полости отрываются тромботические массы, это может вызвать острое окклюзионное состояние сосудов конечностей, проявляющееся цианозом и болезненностью пальцев ног, а также ливедо на коже конечностей и перемежающейся хромотой. Тромбоз почечных артерий может привести к реноваскулярной артериальной гипертензии и почечной недостаточности, в то время как поражение мозговых артерий может вызвать инсульт.
Диагностика
Диагностика аневризмы аорты включает в себя анализ как субъективных, так и объективных данных, а также проведение различных рентгенологических, ультразвуковых и томографических исследований. Одним из аускультативных признаков аневризмы является наличие систолического шума в области расширенной аорты. Аневризмы брюшной аорты могут быть выявлены при пальпации живота, где они проявляются в виде пульсирующего опухолевидного образования. Инструментальная диагностика включает в себя следующие методы:
-
Рентгенография. В рамках рентгенологического обследования пациентов с аневризмой грудной или брюшной аорты проводятся рентгеноскопия и рентгенография грудной клетки, обзорная рентгенография брюшной полости, а также рентгенография пищевода и желудка. На завершающем этапе исследования выполняется аортография, которая позволяет уточнить локализацию, размеры и протяженность аневризмы, а также ее взаимосвязь с соседними анатомическими структурами.
-
УЗИ. Для диагностики аневризм восходящего отдела аорты применяется эхокардиография; в других случаях используется ультразвуковая допплерография (УЗДГ) грудной и брюшной аорты.
-
Компьютерная томография. Компьютерная томография (МСКТ) грудной и брюшной аорты предоставляет возможность точно и наглядно визуализировать аневризматическое расширение, а также выявить наличие расслоений, тромботических масс, парааортальных гематом и очагов кальциноза.
На основании результатов комплексного инструментального обследования принимается решение о необходимости оперативного вмешательства. Важно дифференцировать аневризму грудной аорты от опухолей легких и средостения, а аневризму брюшной аорты – от объемных образований в брюшной полости, поражений лимфоузлов брыжейки и забрюшинных опухолей.
Лечение аневризмы аорты
При бессимптомном и не прогрессирующем течении аневризмы аорты достаточно динамического наблюдения со стороны сосудистого хирурга и рентгенологического контроля. Для минимизации риска возможных осложнений назначаются гипотензивные препараты и антикоагулянты, а также проводится работа по снижению уровня холестерина.
Хирургическое вмешательство необходимо при аневризме брюшной аорты, если ее диаметр превышает 4 см, а также при аневризме грудной аорты с диаметром от 5,5 до 6,0 см или при увеличении аневризмы меньшего размера более чем на 0,5 см за полгода. В случае разрыва аневризмы аорты показания к экстренной операции становятся абсолютными.
Хирургическое лечение аневризмы аорты включает в себя удаление аневризматически измененного участка сосуда, зашивание дефекта или его замену сосудистым протезом. В зависимости от анатомического расположения может быть выполнена резекция аневризмы брюшной аорты, грудной аорты, дуги аорты, торакоабдоминальной части аорты или подпочечного отдела аорты.
При гемодинамически значимой аортальной недостаточности резекцию восходящей грудной аорты комбинируют с протезированием аортального клапана. В качестве альтернативы открытому хирургическому вмешательству предлагается эндоваскулярное протезирование аневризмы аорты с установкой стента.
Прогноз и профилактика
Прогнозирование аневризмы аорты в значительной степени зависит от ее размеров и наличия атеросклеротических изменений в сердечно-сосудистой системе. В общем, естественное течение аневризмы имеет неблагоприятный характер и связано с высоким риском летального исхода из-за разрыва аорты или тромбоэмболических осложнений. Вероятность разрыва аневризмы аорты с диаметром 6 см и более составляет 50% в год, в то время как для аневризм меньшего размера этот показатель составляет 20% в год. Раннее обнаружение и плановое хирургическое вмешательство при аневризмах аорты оправдано благодаря низкой интраоперационной летальности (5%) и удовлетворительным долгосрочным результатам.
Рекомендации по профилактике включают контроль артериального давления, формирование здорового образа жизни, регулярные осмотры у кардиолога и ангиохирурга, а также медикаментозное лечение сопутствующих заболеваний. Людям из групп риска по развитию аневризмы аорты рекомендуется проходить скрининговое ультразвуковое обследование.
Автор: Николай Захаров Дата: 16.08.2018
Аневризма аорты представляет собой расширение сосуда, вызванное потерей упругости его стенок. Это расширение происходит на определенном участке, который может напоминать по форме веретено или мешок. Диагноз аневризмы устанавливается, если диаметр сосуда увеличивается в два раза и более по сравнению с нормальными показателями. Одним из самых опасных типов аневризмы является аневризма грудной аорты.
Анатомия
Аорта — это самый крупный сосуд в организме, который начинается в левом желудочке сердца и обеспечивает большой круг кровообращения. Она обладает высокой эластичностью и способностью к растяжению, что позволяет ей выдерживать давление, возникающее в левом желудочке во время сердечного выброса, то есть в фазе систолы. В стенках аорты содержится значительное количество эластина — белка, который обеспечивает ей прочность и упругость. После систолы грудная аорта растягивается, а в фазе диастолы возвращается к своему первоначальному состоянию.
Стенка аорты и других крупных артерий состоит из трех основных слоев:
- внутренний слой, образованный эпителиальными клетками;
- средний слой, который включает прочную соединительную ткань (коллагеновые и эластиновые волокна) и мышечные волокна;
- наружный слой, состоящий из рыхлой соединительной ткани.
Аорта делится на три основные части: восходящий отдел, который располагается рядом с сердцем, дугу аорты и нисходящую часть. Нисходящая часть, в свою очередь, подразделяется на грудную и брюшную, находящиеся соответственно над и под диафрагмой.
Аневризма может возникнуть в любом участке аорты, однако чаще всего она формируется в области грудного отдела, где наблюдается максимальное давление крови, поступающей от сердца во время его сокращения.
Симптомы аневризмы грудной аорты
Наиболее распространенным признаком аневризмы грудной аорты является боль в области груди, которая усиливается при физической активности и эмоциональном напряжении. Кроме того, у пациента могут наблюдаться следующие симптомы аневризмы:
- тахикардия (увеличение частоты сердечных сокращений);
- одышка;
- частые головокружения;
- быстрая утомляемость.
При значительных размерах аневризмы может развиваться синдром верхней полой вены, который проявляется отечностью лица и его синюшностью, отеками верхней части тела и конечностей, а также кашлем. Это состояние возникает из-за того, что расширение аорты нарушает венозный отток крови к нижней части тела.
Если аневризма локализуется на дуге аорты, она может сдавливать нервы, проходящие в грудной области. При поражении возвратного нерва у пациента могут возникать изменения голоса и постоянный кашель без выделения мокроты. Если аневризма сжимает блуждающий нерв, это может привести к гиперсаливации и брадикардии.
Аневризма может развиваться без ярко выраженных симптомов или с неявной клинической картиной, часто выявляясь случайно во время профилактических осмотров.
Осложнения
Наиболее серьезным осложнением аневризмы является ее разрыв. Это приводит к массивному кровотечению, которое в короткие сроки может вызвать шок и коллапс. Разрыв аневризмы может произойти в верхнюю полую вену, перикардиальную полость (пространство между сердечной мышцей и околосердечной сумкой), легкие или плевральную полость, что может привести к сердечной или легочной недостаточности.
Аневризма аорты у детей
Аневризма сердца у детей чаще всего возникает из-за нарушений, произошедших в процессе внутриутробного развития. Среди других распространенных факторов, способствующих образованию аневризмы у детей, можно выделить:
- атеросклероз;
- сифилис, который может быть передан от матери к ребенку;
- гипертония. Хотя гипертоническая болезнь у детей встречается довольно редко, если ребенок находится в группе риска (например, если у его родственников была диагностирована аневризма), родителям рекомендуется регулярно контролировать его артериальное давление;
- васкулит (системное воспалительное заболевание сосудов).
Основные симптомы аневризмы аорты у детей включают:
- храп во время сна;
- жалобы на боли в области груди, которые могут отдавать в спину;
- трудности с глотанием пищи, что может приводить к поперхиванию и кашлю во время еды.
Диагностика
Для диагностики аневризмы аорты применяются следующие методы исследования:
- рентгенография. Этот метод позволяет оценить контуры аорты и выявить ее расширение или выпячивание;
- ультразвуковое исследование сосудистой стенки. В аорту вводится датчик, который с помощью ультразвука помогает обнаружить имеющиеся изменения;
- эхокардиография. Данный метод позволяет изучить структуру стенок аорты, а также определить расположение, форму и размеры аневризмы;
- аортография. В просвет аорты вводится контрастное вещество, после чего выполняется рентгеновский снимок, на котором четко виден просвет сосуда и возможные патологии;
- компьютерная томография (СКТ) и магнитно-резонансная томография (МРТ). Эти современные технологии позволяют точно определить локализацию аневризмы и степень поражения других сосудов, таких как верхняя полая вена.
Это лишь часть методов, используемых для исследования аорты. Врач выбирает наиболее подходящие диагностические процедуры для каждого конкретного пациента. В некоторых случаях для уточнения диагноза может потребоваться проведение нескольких инструментальных обследований одновременно.
Лечение
Лечение аневризмы начинается с определения ее размеров, местоположения и типа. Терапия может быть как консервативной, так и хирургической.
Основные цели консервативного лечения включают:
- контроль уровня артериального давления;
- снижение силы сердечных сокращений;
- уменьшение содержания холестерина в крови.
Кроме того, пациентам настоятельно рекомендуется отказаться от курения и употребления алкоголя, а также перейти на сбалансированное питание. Если аневризма небольших размеров, правильный выбор медикаментов и изменение образа жизни могут помочь избежать осложнений и необходимости в операции.
Хирургическое вмешательство показано в тех случаях, когда аневризма угрожает жизни пациента, например, существует высокий риск разрыва аорты и обширного внутреннего кровотечения.
Тип операции определяется врачом в зависимости от состояния пациента и стадии заболевания.
| Протезирование аорты | В ходе операции удаляется поврежденный участок аорты, и на его место устанавливается протез из синтетического материала. Для доступа к аорте врач делает разрез в грудной клетке. Этот метод позволяет излечить аневризму любого размера и формы, но требует длительного наркоза (до 6 часов). Также существует риск послеоперационных осложнений. |
| Внутрисосудистые операции | В аорту вводится каркас, который укрепляет стенки сосуда. Аневризма не удаляется, но ее рост останавливается. Операция проводится под местной анестезией, доступ к аорте осуществляется через катетер, введенный в бедренную артерию или другой крупный сосуд. Внутрисосудистые операции обычно хорошо переносятся и редко приводят к осложнениям, однако в некоторых случаях могут оказаться неэффективными. |
Аневризма грудной аорты представляет собой патологическое расширение сосуда, что приводит к истончению его стенок. Это состояние может вызвать серьезное внутреннее кровотечение, которое быстро приводит к летальному исходу. Регулярные визиты к врачу для профилактических осмотров, контроль артериального давления и внимание к болям в сердце помогут избежать осложнений аневризмы и необходимости в хирургическом вмешательстве!
Факторы риска развития аневризмы аорты сердца
Аневризма аорты сердца представляет собой локальное расширение стенки аорты, которое может возникать в различных участках этого крупного сосуда. Развитие аневризмы может быть связано с несколькими факторами риска, которые способствуют ослаблению стенок аорты и увеличивают вероятность ее разрыва.
Одним из основных факторов риска является возраст. С возрастом стенки сосудов теряют свою эластичность и становятся более подверженными повреждениям. Мужчины старше 65 лет имеют более высокий риск развития аневризмы аорты, чем женщины, хотя у последних риск также увеличивается после менопаузы.
Генетическая предрасположенность играет важную роль в развитии аневризмы. Некоторые наследственные заболевания, такие как синдром Марфана или Элерса-Данлоса, могут приводить к слабости соединительных тканей, что увеличивает вероятность формирования аневризмы.
Гипертония, или высокое кровяное давление, является еще одним значительным фактором риска. Постоянное повышение давления в сосудах может привести к повреждению стенок аорты, что способствует образованию аневризмы. Контроль артериального давления и его нормализация могут значительно снизить риск развития этого заболевания.
Курение также является важным фактором, способствующим развитию аневризмы аорты. Никотин и другие вещества, содержащиеся в табачных изделиях, негативно влияют на состояние сосудов, способствуя их воспалению и ослаблению. Отказ от курения может значительно снизить риск возникновения аневризмы.
Кроме того, наличие других сердечно-сосудистых заболеваний, таких как атеросклероз, может способствовать развитию аневризмы. Атеросклероз приводит к образованию бляшек на стенках сосудов, что может ослабить их и увеличить вероятность расширения аорты.
Наконец, травмы и хирургические вмешательства на аорте также могут стать причиной развития аневризмы. Повреждения, полученные в результате аварий или операций, могут ослабить стенки сосуда и привести к образованию аневризмы в будущем.
Понимание факторов риска развития аневризмы аорты сердца позволяет своевременно принимать меры по их предотвращению и контролю, что может существенно снизить вероятность возникновения данного опасного состояния.
Роль образа жизни в профилактике аневризмы аорты сердца
Образ жизни играет ключевую роль в профилактике аневризмы аорты сердца. Аневризма аорты — это опасное состояние, которое может привести к серьезным осложнениям, включая разрыв аорты, что в свою очередь может быть фатальным. Поэтому важно понимать, как различные аспекты образа жизни могут повлиять на риск развития этого заболевания.
Первым и наиболее значимым фактором является питание. Сбалансированная диета, богатая фруктами, овощами, цельнозерновыми продуктами и нежирными белками, может помочь поддерживать нормальный уровень холестерина и артериального давления. Избегание насыщенных жиров и трансжиров, а также ограничение потребления соли и сахара, также способствуют снижению риска сердечно-сосудистых заболеваний, включая аневризму аорты.
Физическая активность — еще один важный аспект. Регулярные физические нагрузки помогают поддерживать здоровье сердечно-сосудистой системы, способствуют контролю веса и снижают уровень стресса. Рекомендуется заниматься аэробными упражнениями, такими как ходьба, бег, плавание или велосипед, не менее 150 минут в неделю. Это не только укрепляет сердце, но и улучшает общее состояние организма.
Отказ от курения и ограничение потребления алкоголя также играют важную роль в профилактике аневризмы аорты. Курение является одним из главных факторов риска для сердечно-сосудистых заболеваний, так как оно повреждает сосуды и увеличивает вероятность образования аневризм. Алкоголь, в умеренных количествах, может иметь некоторые положительные эффекты на сердце, но его чрезмерное употребление может привести к повышению артериального давления и другим проблемам со здоровьем.
Управление стрессом и психоэмоциональное здоровье также имеют значение. Хронический стресс может негативно сказаться на сердечно-сосудистой системе, способствуя повышению артериального давления и увеличению риска заболеваний. Практики, такие как медитация, йога и дыхательные упражнения, могут помочь снизить уровень стресса и улучшить общее самочувствие.
Наконец, регулярные медицинские осмотры и контроль за состоянием здоровья являются важными мерами профилактики. Людям с повышенным риском развития аневризмы аорты, таким как курильщики, люди с высоким кровяным давлением или с семейной историей сердечно-сосудистых заболеваний, рекомендуется проходить регулярные обследования и следить за состоянием своего здоровья.
Таким образом, здоровый образ жизни, включающий правильное питание, физическую активность, отказ от вредных привычек и управление стрессом, может значительно снизить риск развития аневризмы аорты сердца и других сердечно-сосудистых заболеваний.
Советы по реабилитации после лечения аневризмы аорты сердца
Реабилитация после лечения аневризмы аорты сердца является важным этапом, который помогает пациентам восстановить здоровье и улучшить качество жизни. Процесс реабилитации может варьироваться в зависимости от типа проведенного лечения (хирургического или эндоваскулярного), общего состояния пациента и наличия сопутствующих заболеваний.
Первоначально после операции пациенту необходимо находиться под наблюдением врачей в стационаре. В этот период важно контролировать основные жизненные показатели, такие как артериальное давление, частота сердечных сокращений и уровень кислорода в крови. После выписки из больницы начинается этап амбулаторной реабилитации.
Одним из ключевых аспектов реабилитации является физическая активность. Врач может рекомендовать постепенное увеличение физической нагрузки, начиная с легких прогулок и заканчивая более интенсивными упражнениями. Физическая активность способствует улучшению кровообращения, укреплению сердечно-сосудистой системы и повышению общего тонуса организма.
Кроме того, важным элементом реабилитации является соблюдение диеты. Пациентам рекомендуется придерживаться сбалансированного питания, богатого фруктами, овощами, цельнозерновыми продуктами и нежирными белками. Ограничение потребления соли, сахара и насыщенных жиров также поможет снизить риск осложнений и улучшить общее состояние здоровья.
Психологическая поддержка играет не менее важную роль в процессе реабилитации. Пациенты могут испытывать страх и тревогу после операции, поэтому важно иметь возможность обсудить свои переживания с врачом или психологом. Группы поддержки также могут стать полезным ресурсом для обмена опытом и получения моральной поддержки.
Регулярные медицинские осмотры и контроль за состоянием здоровья необходимы для раннего выявления возможных осложнений. Врач может назначить дополнительные исследования, такие как УЗИ или КТ, для мониторинга состояния аорты и общего состояния сердечно-сосудистой системы.
Важно помнить, что реабилитация после лечения аневризмы аорты сердца — это индивидуальный процесс, и каждый пациент должен следовать рекомендациям своего лечащего врача. Своевременное обращение за медицинской помощью и соблюдение всех предписаний помогут значительно улучшить качество жизни и снизить риск повторного возникновения аневризмы.










