Эритроциты, или красные кровяные клетки, обеспечивают транспорт кислорода к тканям и углекислого газа к легким. Понимание их образования и разрушения важно для диагностики и лечения заболеваний. В статье рассмотрим места образования эритроцитов и механизмы их разрушения, что поможет читателям лучше понять физиологию крови и ее значение для здоровья.
Место разрушения
Место разрушения эритроцитов не имеет четкой локализации. Этот процесс может происходить как внутри сосудов, так и внутри клеток. В случае внутриклеточного разрушения эритроцитов, оно происходит в макрофагах, находящихся в органах кроветворения. Если причина патогенеза связана с патологическим процессом, это может привести к значительному увеличению размеров селезенки и печени.
При внутрисосудистом разрушении эритроциты разрушаются в процессе их циркуляции по кровеносной системе. Этот тип гемолиза может быть вызван различными заболеваниями, включая наследственные.
Показатели гемолиза могут оказаться неверными, если во время анализа и работы с образцом были допущены ошибки. Это может произойти по следующим причинам:
- нарушение техники забора крови;
- несоблюдение условий хранения образца.
Если результаты анализа значительно отклоняются от нормы, может быть рекомендовано повторное проведение теста.
Эритроциты, или красные кровяные клетки, играют ключевую роль в транспортировке кислорода по организму. Врачи отмечают, что их образование происходит в красном костном мозге, где стволовые клетки дифференцируются в эритроциты под воздействием различных факторов, включая эритропоэтин. Этот процесс, называемый эритропоэзом, активно регулируется в ответ на уровень кислорода в крови.
Что касается разрушения эритроцитов, то оно происходит в основном в селезенке и печени. Врачи подчеркивают, что стареющие или поврежденные клетки распознаются макрофагами, которые их поглощают и перерабатывают. Этот процесс важен для поддержания нормального уровня гемоглобина и предотвращения накопления токсичных веществ. Таким образом, баланс между образованием и разрушением эритроцитов критически важен для здоровья организма.

Патогенез
Механизмы разрушения эритроцитов могут быть разнообразными:
- естественный — это процесс, не связанный с какими-либо заболеваниями, а являющийся естественным этапом жизненного цикла красных кровяных клеток;
- осмотический — возникает из-за наличия в крови веществ, негативно влияющих на мембрану красных кровяных клеток;
- термический — происходит при воздействии крайне низких температур;
- биологический — связан с влиянием патогенных микроорганизмов, возникающих в результате вирусных или инфекционных заболеваний;
- механический — вызван внешними факторами, приводящими к повреждению мембраны эритроцита.
Почему же происходит разрушение эритроцитов? Это может быть вызвано завершением их жизненного цикла или воздействием определенных факторов, таких как:
- увеличение размера красной кровяной клетки и изменение её формы — из дискообразной она становится круглой;
- мембрана красной кровяной клетки теряет способность к растяжению, что приводит к её разрыву;
- внутреннее содержимое эритроцита попадает в плазму крови.
Существует множество причин, способствующих этому процессу. Даже сильный стресс может стать триггером для неестественного гемолиза.
| Процесс | Место образования/разрушения | Дополнительная информация |
|---|---|---|
| Образование эритроцитов (эритропоэз) | Красный костный мозг | У взрослых людей, преимущественно в плоских костях (грудина, таз, позвонки) и эпифизах длинных трубчатых костей. У плода — в печени, селезенке, затем в костном мозге. |
| Разрушение эритроцитов (гемолиз) | Селезенка | Основное место разрушения старых и поврежденных эритроцитов. Макрофаги селезенки фагоцитируют их. |
| Разрушение эритроцитов (гемолиз) | Печень | Макрофаги Купфера в печени также участвуют в разрушении эритроцитов, особенно при массивном гемолизе. |
| Разрушение эритроцитов (гемолиз) | Костный мозг | Небольшая часть эритроцитов разрушается в костном мозге, особенно при неэффективном эритропоэзе. |
| Переработка компонентов | Печень | Железо из гемоглобина перерабатывается и запасается, а гем превращается в билирубин. |
| Переработка компонентов | Селезенка | Участвует в переработке железа и других компонентов гемоглобина. |
Возможные причины
Существуют различные факторы, способствующие возникновению преждевременного гемолиза:
- переливание крови, несовместимой по группе;
- отравление токсичными веществами, включая тяжелые металлы и яды;
- хронические инфекционные болезни;
- вирусные инфекции, которые долго не проходят или переходят в хроническую стадию с частыми обострениями;
- диссеминированное внутрисосудистое свертывание (ДВС-синдром);
- наличие аутоиммунных или системных заболеваний;
- термические и химические ожоги;
- электрические травмы.
В некоторых ситуациях гемолиз может иметь идиопатическую природу, что делает невозможным определение его причины.

Примерная симптоматика
В легкой форме патологический гемолиз может протекать практически без выраженных симптомов, тогда как острая форма заболевания проявляется следующими признаками:
- тошнота и рвота — в рвотных массах могут присутствовать следы крови;
- общая слабость;
- бледность кожи;
- боли в области живота;
- желтушность кожных покровов;
- судороги;
- одышка;
- систолические шумы в сердце;
- колебания артериального давления — как повышение, так и резкое снижение до критических значений;
- увеличение размеров селезенки и печени;
- гематурия — наличие крови в моче;
- повышение температуры тела;
- эпизоды лихорадки и озноба;
- возможное отсутствие мочи — анурия.
Желтушность кожи возникает из-за образования билирубина в результате распада клеток, что происходит при разрушении красных кровяных телец.
Диагностика
Для выявления причин патологического гемолиза проводится комплекс диагностических мероприятий:
- консультация гематолога и других специалистов, в зависимости от особенностей клинической картины;
- общий клинический анализ крови и углубленный биохимический анализ;
- тест Кумбса, который позволяет выявить наличие антител к эритроцитам, связанных с резус-фактором;
- ультразвуковое исследование органов брюшной полости и малого таза;
- компьютерная томография живота и почек.
При клеточном гемолизе в анализах наблюдается увеличение уровней билирубина, стеркобилина, железа и уробилина. В случае внутрисосудистого гемолиза в моче будет обнаружен гемоглобин.
Лечение
Лечение будет определяться в зависимости от основного фактора, вызвавшего заболевание. Врач может назначить лекарства из категорий иммуносупрессоров, глюкокортикостероидов или антибиотиков.
Также возможно проведение заместительной терапии, включая переливание клеток крови и ее компонентов. Если консервативные методы не приносят ожидаемого результата или оказываются неэффективными, может быть рекомендована операция по удалению селезенки.
Профилактика
Что касается врожденных или системных заболеваний, то для них не существует специфических методов профилактики. Однако можно выделить несколько общих рекомендаций, которые помогут снизить риски:
- предотвращение инфекционных и воспалительных заболеваний;
- соблюдение правильного питания;
- исключение отравлений тяжелыми металлами, ядами и другими токсичными веществами;
- регулярное прохождение медицинских обследований.
Если вы чувствуете себя плохо, важно обратиться к врачу, а не заниматься самолечением.
В различных случаях, при установлении определенных диагнозов, специалисты часто рекомендуют сдавать анализ крови. Этот анализ предоставляет ценную информацию и позволяет оценить защитные функции организма при различных заболеваниях. В крови содержится множество показателей, одним из которых является объем эритроцитов. Возможно, многие из вас никогда не задумывались об этом, но это важный аспект. Природа все продумала до мелочей, и эритроциты не исключение. Давайте рассмотрим этот вопрос более подробно.

Что такое эритроциты?
Эритроциты, или красные кровяные клетки, выполняют в организме человека ключевую функцию. Их основная задача заключается в транспортировке кислорода, который мы получаем при дыхании, ко всем органам и тканям. В процессе этого обмена образуется углекислый газ, который необходимо быстро удалить из организма, и именно эритроциты играют здесь важную роль. Кроме того, эти клетки также способствуют доставке питательных веществ. В состав эритроцитов входит известный всем гемоглобин — красный пигмент, который связывает кислород в легких для его дальнейшей транспортировки и освобождает его в тканях. Как и другие показатели в организме, количество эритроцитов может варьироваться, и на это влияют различные факторы:
- Увеличение числа эритроцитов может указывать на серьезное обезвоживание или наличие хронического лейкоза (эритремия);
- Снижение их уровня может свидетельствовать об анемии — это не заболевание, но такое состояние крови может привести к развитию множества других недугов;
- Интересно, что эритроциты иногда обнаруживаются в моче у пациентов с проблемами в мочевыделительной системе (например, с заболеваниями почек или мочевого пузыря).
Примечательно, что размер эритроцитов может значительно изменяться благодаря их эластичности. Например, диаметр капилляра, через который может пройти красная кровяная клетка размером 8 мкм, составляет всего 2-3 мкм.
Функции эритроцитов
Значение красных кровяных телец в организме человека крайне важно и включает в себя несколько ключевых функций:
- Перенос кислорода от легких ко всем органам и тканям.
- Удаление углекислого газа из тканей в легкие, который образуется в процессе метаболизма.
- Транспортировка аминокислот и липидов из плазмы крови к тканям – это основные строительные и энергетические элементы.
- Поддержание необходимого кислотно-щелочного баланса, который важен для нормального обмена веществ.
- Перенос белка групповой принадлежности и резус-фактора крови.
- Участие в процессе гемостаза, образовании тромба при повреждении сосудов и возникновении кровотечений.
Главная задача эритроцитов заключается в обеспечении клеток организма кислородом и удалении углекислого газа. Это достигается благодаря уникальному компоненту эритроцитов – гемоглобину. Данное вещество представляет собой сложное соединение, состоящее из белковой части глобина и небелкового компонента – гема.
Активные атомы железа, входящие в состав гема, образуют временные связи с кислородом и углекислым газом, а также придают крови характерный цвет. В легких гемоглобин образует нестабильное соединение с кислородом, что придает крови ярко-красный оттенок. При отдаче кислорода тканям гемоглобин связывает углекислый газ, в результате чего кровь становится темной. Затем она вновь направляется в легкие, где процесс газообмена повторяется.
Место образования эритроцитов
Необходимо понимать, где формируются красные кровяные тельца, чтобы при возникновении проблем с их уровнем в крови можно было своевременно предпринять действия. Сам процесс их образования является довольно сложным.
Строение красного кровяного тельца
Эритроциты, содержащие большое количество гемоглобина, обладают ярко-красным оттенком. Эти клетки имеют характерную двояковогнутую форму. В незрелых эритроцитах присутствует ядро, однако в зрелых клетках оно отсутствует. Размер эритроцитов составляет 7-8 мкм в диаметре, а их толщина варьируется от 2 до 2,5 мкм. Отсутствие ядра в зрелых эритроцитах способствует более быстрому проникновению кислорода. Общее количество красных кровяных телец в человеческой крови весьма велико: если выстроить их в одну линию, ее длина составит примерно 150 тысяч километров. Существуют различные термины, описывающие отклонения в размерах, цвете и других характеристиках эритроцитов:
- нормоцитоз — нормальный средний размер;
- микроцитоз — размер меньше нормы;
- макроцитоз — размер больше нормы;
- анизоцитоз — значительное разнообразие в размерах клеток, где одни слишком большие, а другие — слишком маленькие;
- гипохромия — недостаток гемоглобина в эритроцитах;
- пойкилоцитоз — значительные изменения в форме клеток, где одни имеют овальную, а другие — серповидную форму;
- нормохромия — нормальное содержание гемоглобина в клетках, что обеспечивает их правильную окраску.
Как живет эритроцит
Из ранее изложенного мы узнали, что эритроциты формируются в костном мозге, расположенном в черепе, ребрах и позвоночнике. Но как долго эти клетки остаются в кровотоке? Исследования показали, что продолжительность жизни эритроцита довольно ограничена – в среднем составляет около 120 дней, что эквивалентно четырем месяцам. По истечении этого срока они начинают стареть по двум основным причинам. Во-первых, это метаболизм глюкозы, а во-вторых, увеличение содержания жирных кислот. В результате этих процессов эритроциты теряют свою энергию и эластичность мембраны, что приводит к образованию различных выростов на их поверхности. Чаще всего разрушение эритроцитов происходит в кровеносных сосудах или в некоторых органах, таких как печень, селезенка и костный мозг. Продукты распада эритроцитов легко выводятся из организма через мочу и кал.
Содержание эритроцитов: анализы для выявления их уровня
В медицине можно выделить два основных типа исследований, которые позволяют обнаружить эритроциты: анализы крови и мочи.
Нормы эритроцитов в крови
У здоровых людей в течение жизни редко наблюдаются значительные изменения в этом показателе.
- В первые 24 часа жизни новорожденного – 4,3-7,6 млн/1 куб. мм крови;
- В течение первого месяца жизни – 3,8-5,6 млн/1 куб. мм крови;
- В первые 6 месяцев жизни – 3,5-4,8 млн/1 куб. мм крови;
- В течение первого года жизни – 3,6-4,9 млн/1 куб. мм крови;
- С 1 года до 12 лет – 3,5–4,7 млн/1 куб. мм крови;
- После 13 лет – 3,6-5,1 млн/1 куб. мм крови.
Высокий уровень эритроцитов у новорожденного объясняется тем, что в утробе матери их образование происходит с повышенной скоростью. Это необходимо для того, чтобы все клетки и ткани малыша получали достаточное количество кислорода и питательных веществ для нормального роста и развития. После рождения уровень эритроцитов начинает снижаться, так как они активно распадаются (если этот процесс происходит слишком быстро, у ребенка может развиться желтуха).
Нормальные показатели содержания эритроцитов в крови для взрослых:
- Мужчины: 4,5-5,5 млн/1 куб. мм крови.
- Женщины: 3,7-4,7 млн/1 куб. мм крови.
- Пожилые люди: менее 4 млн/1 куб. мм крови.
Несомненно, отклонения от нормальных значений могут указывать на наличие проблем в организме, поэтому в таких случаях важно обратиться за консультацией к специалисту.
Эритроциты в моче – может ли возникнуть такая ситуация?
Да, врачи дают однозначно положительный ответ. Хотя в редких случаях повышенное количество эритроцитов в моче может быть связано с тем, что человек поднимал тяжелые предметы или долго находился в вертикальном положении, чаще всего это указывает на наличие определенных проблем и требует консультации квалифицированного специалиста. Обратите внимание на некоторые нормы содержания эритроцитов в моче:
- нормальный уровень составляет 0-2 клетки в поле зрения;
- при исследовании мочи по методу Нечипоренко количество эритроцитов может превышать тысячу в поле зрения лаборанта;
Если анализы мочи показывают наличие эритроцитов, врач будет искать конкретные причины их появления, рассматривая следующие варианты:
- у детей могут быть подозрения на пиелонефрит, цистит или гломерулонефрит;
- уретрит (при этом учитываются и другие симптомы: боли в нижней части живота, болезненное мочеиспускание, повышение температуры);
- мочекаменная болезнь: пациент может жаловаться на наличие крови в моче и приступы почечной колики;
- гломерулонефрит или пиелонефрит (может наблюдаться боль в пояснице и повышение температуры);
- опухоли почек;
- аденома предстательной железы.
Изменение количества эритроцитов в крови: причины
Структура эритроцитов предполагает высокое содержание гемоглобина, что позволяет им эффективно связывать кислород и выводить углекислый газ.
- Заболевания крови, включая эритремию. При этом состоянии у человека наблюдается покраснение кожи на шее и лице.
- Патологии легких и сердечно-сосудистой системы.
Снижение уровня красных кровяных клеток, известное в медицине как эритропения, может иметь несколько причин. В первую очередь, это анемия, или малокровие, которая может возникнуть из-за нарушений в образовании эритроцитов в костном мозге. Также такая ситуация может возникнуть при потере крови или при слишком быстром разрушении эритроцитов в организме. Часто врачи ставят диагноз «железодефицитная анемия». Это состояние может быть связано с недостаточным поступлением железа в организм или его плохой усвояемостью. Для коррекции данной проблемы специалисты обычно назначают пациентам витамин В12 и фолиевую кислоту, а также препараты, содержащие железо.
Показатель СОЭ: что он обозначает
Часто, когда врач принимает пациента с жалобами на длительные простудные заболевания, он назначает общий анализ крови.
- Дети: 1-месячные – 4-8 мм/час; 6-месячные – 4-10 мм/час; от 1 года до 12 лет – 4-12 мм/час;
- Мужчины: 1-10 мм/час;
- Женщины: 2-15 мм/час; у беременных женщин – 45 мм/час.
Насколько полезен этот показатель? В последнее время врачи все реже обращают на него внимание. Считается, что существует множество факторов, способных исказить результаты, например, у детей это может быть связано с эмоциональным состоянием (криком или плачем) во время забора крови. В общем, повышенная скорость оседания эритроцитов (СОЭ) указывает на наличие воспалительного процесса в организме, например, при бронхите, пневмонии или других простудных и инфекционных заболеваниях. Также увеличение СОЭ может наблюдаться во время беременности, менструации, при наличии хронических заболеваний, травмах, инсультах, инфарктах и т.д. Снижение СОЭ встречается гораздо реже и может свидетельствовать о более серьезных проблемах, таких как лейкоз, гепатит, гипербилирубинемия и другие.
Как мы выяснили, эритроциты образуются в костном мозге, ребрах и позвоночнике. Поэтому, если возникают проблемы с количеством эритроцитов в крови, следует в первую очередь обратить внимание на костный мозг. Каждый человек должен понимать, что все показатели в анализах имеют важное значение для здоровья, и к ним не стоит относиться легкомысленно. Поэтому, если вы прошли такое исследование, обязательно проконсультируйтесь с квалифицированным специалистом для его интерпретации. Это не означает, что при малейшем отклонении от нормы следует паниковать. Просто доведите дело до конца, особенно когда речь идет о вашем здоровье.
Эритроциты – это ключевые и самые многочисленные клетки крови, выполняющие множество жизненно важных функций. Изменение их количества и формы может привести к патологическим нарушениям в организме. В то же время, патологические процессы могут изменять эритроциты, поэтому их исследование является важным элементом в диагностике различных заболеваний.
Теперь рассмотрим, что такое эритроциты, где они образуются и разрушаются, а также какие функции они выполняют.
Что такое эритроциты и особенности их строения
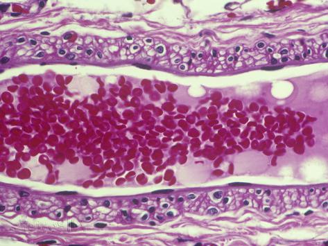
Эритроциты занимают уникальное место среди всех типов клеток крови. Эти красные кровяные клетки (от греческого erythros – красный и cytos – клетка) придают крови характерный цвет. Эритроциты имеют форму дисков с вогнутой центральной частью, что увеличивает их поверхность и позволяет эффективно связывать большее количество молекул кислорода и углекислого газа, которые они транспортируют. В общей сложности площадь поверхности эритроцитов одного человека составляет примерно 2500-2700 квадратных метров.
В отличие от других клеток крови, красные кровяные тельца не содержат ядра, а их размеры не превышают 0,008 мм в длину и 0,0025 мм в ширину. Такая структура позволяет им проходить через самые узкие капилляры, доставляя кислород к тканям и забирая углекислый газ.
Эритроциты формируются в красном костном мозге, который находится в длинных трубчатых костях конечностей, а также в костях черепа, грудины, ребер, таза и позвоночника. Каждый день в организме образуется около 200 миллиардов новых клеток, что составляет примерно 2,5 миллиона эритроцитов каждую секунду.
Процесс образования эритроцитов начинается со стволовой кроветворной клетки и проходит несколько этапов. Сначала формируется крупная клетка с ядром, называемая мегалобластом, которая затем превращается в эритробласт — уже красную клетку. По мере созревания эритробласт уменьшается в размерах и превращается в нормоцит, после чего теряет ядро и образует ретикулоцит — незрелую форму эритроцита, из которой затем формируется полноценная красная кровяная клетка.
Норма эритроцитов у взрослых и детей
Эритроциты представляют собой наиболее многочисленные клетки в крови, и у взрослого человека их количество достигает примерно 25 триллионов. Эти клетки равномерно распределены по сосудистой системе, поэтому в медицинской практике принято измерять их количество в единице объема крови, что зависит от различных факторов.
В норме уровень красных кровяных телец варьируется в зависимости от пола и возраста. В лабораторных условиях их количество определяется на 1 литр крови. У женщин этот показатель колеблется от 3,5 до 5,2 х10^12 /л, что соответствует 3,5-5,2 млн/мкл (в микролитре). У мужчин же этот уровень немного выше и составляет от 4,2 до 5,3 х10^12 /л (или млн/мкл).
У детей количество красных кровяных телец изменяется по мере роста и развития их кроветворной системы. Возрастные нормы эритроцитов у детей представлены в следующей таблице:
| Возраст ребенка | Содержание эритроцитов (х10^12 /л) |
|---|---|
| До 1 года | 4,1 – 5,1 |
| От 1 года до 5 лет | 4,0 – 4,5 |
| От 5 до 6 лет | 4,2 – 4,5 |
| От 6 до 7 лет | 4,0 – 4,4 |
| От 7 до 8 лет | 4,2 – 4,5 |
| От 8 до 9 лет | 4,1 – 4,6 |
| От 6 до 14 лет | 4,2 – 4,5 |
| От 14 до 16 лет | 4,4 – 4,7 |
| Старше 16 лет | как у взрослых |
Количество красных кровяных телец определяется в рамках клинического анализа крови и указывается в соответствующих единицах, с нормами содержания, приведенными в правом столбце, как это показано на образце бланка.
Повышенное количество эритроцитов
Повышенное количество эритроцитов в крови называется эритроцитозом, и его причины могут быть как временными, так и связанными с различными заболеваниями.
Среди временных факторов, способствующих увеличению эритроцитов, чаще всего встречается обезвоживание организма, что приводит к сгущению крови и повышению концентрации всех клеток крови, включая эритроциты. Такой тип эритроцитоза называется относительным, поскольку общее количество эритроцитов в крови остается в пределах нормы.
Истинный эритроцитоз, при котором наблюдается реальный рост общего числа красных кровяных клеток и их концентрации в объеме крови, может возникать в следующих ситуациях:
- При эритремии (болезни Вакеза), когда опухолевые процессы в кроветворных органах приводят к избыточной продукции элементов крови;
- При синдроме Пиквика, когда резкое увеличение массы тела вызывает дыхательную недостаточность, что, в свою очередь, стимулирует организм к повышенной выработке красных кровяных клеток в качестве компенсации;
- При болезни Аэрза – легочно-сердечной недостаточности, когда наблюдается нехватка кислорода (гипоксия), что также приводит к усиленной продукции эритроцитов;
- При любых заболеваниях, сопровождающихся сгущением крови и кислородной недостаточностью (злокачественные опухоли, воспалительные и инфекционные процессы, нарушения работы легких и кровообращения).
Кроме того, эритроцитоз часто наблюдается у заядлых курильщиков, у которых развивается хроническая кислородная недостаточность, и организм пытается компенсировать это, увеличивая выработку красных кровяных клеток.
Дополнительную информацию о повышенном уровне эритроцитов у детей можно найти здесь.
Пониженные эритроциты
Когда уровень эритроцитов в крови оказывается ниже установленной нормы, это состояние называется эритроцитопенией, которое неизменно приводит к анемии – снижению концентрации гемоглобина. Основные причины эритроцитопении включают:
- Острую или хроническую потерю крови – в результате травм или заболеваний внутренних органов с кровотечениями;
- Уменьшение функции органов, отвечающих за кроветворение, и снижение производства эритроцитов – на фоне нехватки железа, витамина В12 и фолиевой кислоты, что может происходить при заболеваниях органов пищеварения;
- Ускоренное или преждевременное разрушение красных кровяных телец, что наблюдается при острых аллергических реакциях, интоксикациях и воздействии ионизирующей радиации;
- Онкологические заболевания крови, такие как лейкемия и миеломная болезнь;
- Наследственные нарушения в работе кроветворных органов, при которых образуются неполноценные эритроциты с коротким сроком жизни.
Снижение количества красных кровяных телец может также не быть связано с патологическими состояниями и носить временный характер, например, у беременных женщин, при гипергидратации (избыточном потреблении жидкости), а также у людей, придерживающихся вегетарианской диеты, когда в организме наблюдается нехватка белка, необходимого для формирования полноценный эритроцитов.
Роль эритроцитов в диагностике заболеваний
Определение количества красных кровяных телец в крови и их морфологических характеристик играет ключевую роль в диагностике различных заболеваний.
Изменения в кровообращении, дыхательной и пищеварительной системах, а также в работе почек напрямую влияют на количество эритроцитов. Эти показатели также варьируются при онкологических заболеваниях и нарушениях в системе крови. Исследование морфологических особенностей красных кровяных телец, таких как их размеры, форма и стадия зрелости, имеет большое значение.
Анализ показателей эритроцитов осуществляется в сочетании с другими параметрами крови – уровнем гемоглобина, показателями гематокрита (соотношение плазмы к клеточной массе), а также содержанием белка, ионов железа и других элементов, что является важным диагностическим критерием.
Клинический анализ крови, который включает в себя исследование красных кровяных телец, обязателен при любых заболеваниях, а также во время плановых обследований и профилактических медицинских осмотров как для взрослых, так и для детей. Этот анализ помогает выявить ранние патологические изменения, которые могут еще не проявляться клинически.
В анализе крови также представлены такие показатели, как MCHC, MCH, MCV, RBC и RDW, связанные с эритроцитами.
Если вам понравилась статья, поделитесь ею с друзьями в социальных сетях!
История открытия эритроцитов
Эритроциты, или красные кровяные клетки, были впервые описаны в XVII веке. В 1658 году голландский ученый Антони ван Левенгук, используя свой микроскоп, наблюдал за каплями крови и заметил мельчайшие клетки, которые позже были идентифицированы как эритроциты. Однако их функция и значение для организма стали понятны лишь в XIX веке, когда ученые начали изучать состав крови более подробно.
В 1865 году немецкий физиолог Густав Гейдебрехт предложил теорию о том, что эритроциты отвечают за транспортировку кислорода в организме. Это открытие стало основополагающим для дальнейших исследований в области гематологии и физиологии. В 1873 году английский врач Джон Грегори впервые описал процесс гемопоэза, то есть образование кровяных клеток, включая эритроциты, в костном мозге.
С тех пор исследования эритроцитов продолжали развиваться, и в XX веке ученые смогли установить, что эритроциты образуются из стволовых клеток, находящихся в красном костном мозге. Этот процесс, известный как эритропоэз, регулируется гормоном эритропоэтином, который вырабатывается почками в ответ на низкий уровень кислорода в крови.
Современные методы исследования, такие как микроскопия и молекулярная биология, позволили глубже понять структуру и функции эритроцитов, а также их роль в различных заболеваниях. Например, в 1940-х годах было открыто, что эритроциты содержат гемоглобин — белок, который связывает кислород и углекислый газ, что стало важным шагом в понимании дыхательной функции крови.
Таким образом, история открытия эритроцитов охватывает более трех столетий, и каждое новое открытие добавляло важные детали в понимание их роли в организме человека. Эритроциты не только являются основными транспортерами кислорода, но и играют ключевую роль в поддержании кислотно-щелочного баланса и иммунной функции, что делает их изучение актуальным и важным для медицины и науки в целом.
Влияние внешней среды на уровень эритроцитов
Уровень эритроцитов в крови может значительно варьироваться под воздействием различных факторов внешней среды. Эти факторы могут оказывать как прямое, так и косвенное влияние на образование и разрушение эритроцитов, что в свою очередь сказывается на общем состоянии организма.
Одним из основных факторов, влияющих на уровень эритроцитов, является кислородная насыщенность окружающей среды. В условиях высокогорья, где содержание кислорода в воздухе ниже, организм начинает компенсировать этот дефицит, увеличивая выработку эритроцитов. Этот процесс регулируется гормоном эритропоэтином, который вырабатывается в почках. Увеличение количества эритроцитов позволяет улучшить транспортировку кислорода к тканям, что критически важно для поддержания жизнедеятельности в условиях недостатка кислорода.
Температура окружающей среды также может влиять на уровень эритроцитов. При повышенной температуре, например, в жарком климате, происходит расширение сосудов и увеличение кровообращения, что может привести к снижению концентрации эритроцитов в крови. В то же время, в условиях холода, организм может реагировать на пониженную температуру сужением сосудов и увеличением выработки эритроцитов для поддержания нормального уровня кислорода в тканях.
Питание играет не менее важную роль в поддержании нормального уровня эритроцитов. Дефицит железа, витамина B12 и фолиевой кислоты может привести к анемии, что снижает количество эритроцитов и ухудшает их функциональные характеристики. Важно, чтобы рацион питания был сбалансированным и включал все необходимые микроэлементы, способствующие образованию эритроцитов.
Кроме того, воздействие токсичных веществ, таких как угарный газ или химические соединения, может негативно сказаться на уровне эритроцитов. Угарный газ связывается с гемоглобином, что препятствует нормальному транспортировке кислорода и может привести к снижению уровня эритроцитов. Химические вещества, такие как свинец, могут вызывать разрушение эритроцитов и нарушать их образование в костном мозге.
Физическая активность также влияет на уровень эритроцитов. Регулярные физические нагрузки способствуют улучшению кровообращения и могут стимулировать выработку эритроцитов. Однако чрезмерные нагрузки без должного восстановления могут привести к истощению запасов железа и снижению уровня эритроцитов.
Таким образом, уровень эритроцитов в крови является динамическим показателем, который зависит от множества факторов внешней среды. Понимание этих факторов и их влияния на организм позволяет более эффективно управлять состоянием здоровья и предотвращать возможные заболевания, связанные с нарушением уровня эритроцитов.
Современные исследования и перспективы в изучении эритроцитов
Современные исследования в области эритроцитов охватывают широкий спектр тем, включая их образование, функции, разрушение и роль в различных заболеваниях. Эритроциты, или красные кровяные клетки, играют ключевую роль в транспортировке кислорода от легких к тканям и углекислого газа от тканей к легким. Понимание механизмов их образования и разрушения имеет важное значение для диагностики и лечения различных заболеваний.
Образование эритроцитов, известное как эритропоэз, происходит в красном костном мозге. Этот процесс начинается с гемопоэтических стволовых клеток, которые под воздействием различных факторов роста, таких как эритропоэтин, дифференцируются в предшественники эритроцитов. В ходе этого процесса клетки проходят несколько стадий, включая проэритробласты, базофильные и полихроматофильные эритробласты, и, наконец, становятся ретикулоцитами, которые попадают в кровоток. Полный цикл образования эритроцитов занимает около 7-10 дней.
Разрушение эритроцитов, или гемолиз, происходит в основном в селезенке и печени. В этих органах старые и поврежденные эритроциты распознаются и удаляются макрофагами. Процесс разрушения включает деградацию гемоглобина, который распадается на глобин и гем. Глобин перерабатывается в аминокислоты, а гем превращается в билирубин, который затем выводится из организма с желчью. Этот процесс важен для поддержания нормального уровня эритроцитов в крови и предотвращения накопления токсичных веществ.
Современные исследования также сосредоточены на изучении патологии, связанной с эритроцитами. Например, анемия, вызванная недостаточным образованием эритроцитов или их избыточным разрушением, является распространенной проблемой. Исследования показывают, что генетические мутации, инфекции и хронические заболевания могут влиять на эритропоэз и приводить к различным формам анемии. Кроме того, изучение механизмов, регулирующих выработку эритропоэтина, открывает новые горизонты для разработки терапий, направленных на лечение анемии.
Перспективы в изучении эритроцитов также связаны с использованием стволовых клеток для регенеративной медицины. Исследования показывают, что стволовые клетки могут быть использованы для создания эритроцитов в лабораторных условиях, что может стать основой для новых методов лечения анемии и других заболеваний крови. Кроме того, технологии редактирования генов, такие как CRISPR, открывают новые возможности для коррекции генетических дефектов, связанных с эритроцитами.
Таким образом, современные исследования эритроцитов не только углубляют наше понимание их роли в организме, но и открывают новые пути для диагностики и лечения заболеваний, связанных с этими клетками. Важно продолжать изучение механизмов их образования и разрушения, чтобы разработать более эффективные методы лечения и улучшить качество жизни пациентов.





