Эритроциты, или красные кровяные клетки, обеспечивают транспортировку кислорода к клеткам и тканям. Под микроскопом они имеют уникальную форму и структуру, что позволяет эффективно выполнять свои функции. В статье рассмотрим морфологию эритроцитов, их состав и значение в кровообращении, а также влияние различных факторов на их количество и качество. Понимание этих аспектов поможет осознать важность эритроцитов для здоровья и их роль в диагностике заболеваний.
Содержание
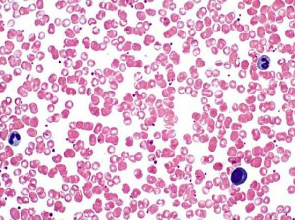
Врачи отмечают, что эритроциты, или красные кровяные клетки, играют ключевую роль в организме человека. Под микроскопом они выглядят как двояковогнутые диски, что обеспечивает им большую поверхность для обмена газами. Специалисты подчеркивают, что нормальное количество эритроцитов в крови важно для поддержания здоровья. Их недостаток может привести к анемии, что вызывает усталость и слабость. В то же время, избыток эритроцитов может свидетельствовать о различных заболеваниях, таких как полицитемия. Врачи рекомендуют регулярно проходить анализы крови, чтобы контролировать уровень этих клеток и своевременно выявлять возможные отклонения. Таким образом, наблюдение за эритроцитами является важным аспектом диагностики и профилактики заболеваний.

История изучения [ править | править код ]
В 1658 году голландский натуралист Ян Сваммердам впервые наблюдал эритроциты под микроскопом, а в 1695 году Антони ван Левенгук запечатлел их на рисунке, назвав «красными корпускулами». После этого исследования новых типов кровяных клеток не проводились, и только в 1842 году французский врач Альфред Франсуа Донне открыл тромбоциты. В следующем году его соотечественник Габриэль Андраль описал лейкоциты одновременно и независимо от английского врача Уильяма Эддисона. Эти открытия положили начало новой области медицины — гематологии. Значительный прогресс в исследовании кровяных клеток был достигнут в 1879 году, когда Пауль Эрлих представил свою методику дифференциального окрашивания клеток крови.
| Характеристика | Норма | Отклонения |
|---|---|---|
| Размер (диаметр) | 6.2 — 8.2 мкм | Микроцитоз: < 6.2 мкм (железодефицитная анемия, талассемия) Макроцитоз: > 8.2 мкм (В12-дефицитная анемия, фолиеводефицитная анемия) |
| Форма | Двояковогнутый диск | Анизоцитоз: Разнообразие размеров Пойкилоцитоз: Разнообразие форм (серповидные, сфероциты, эллиптоциты, акантоциты, шистоциты) |
| Цвет (интенсивность окраски) | Равномерно розовый, бледный центр (1/3 диаметра) | Гипохромия: Бледные, увеличенный бледный центр (железодефицитная анемия) Гиперхромия: Интенсивно окрашенные, без бледного центра (сфероцитоз) |
| Наличие включений | Отсутствуют | Тельца Жолли: Остатки ядра (после спленэктомии, мегалобластная анемия) Кольца Кебота: Остатки оболочки ядра (мегалобластная анемия, свинцовое отравление) Базофильная зернистость: Агрегаты рибосом (свинцовое отравление, талассемия) |
| Агрегация | Единичные, не агрегируют | Монетные столбики: Эритроциты слипаются в столбики (повышение белков острой фазы, миеломная болезнь) |
| Количество (в поле зрения) | Зависит от увеличения микроскопа, но равномерное распределение | Эритроцитоз: Увеличение количества (полицитемия) Эритропения: Уменьшение количества (анемия) |
Виды [ править | править код ]
https://youtube.com/watch?v=xinDk8neInE
Эритроциты [ править | править код ]
Зрелые эритроциты, или нормоциты, представляют собой безъядерные клетки, имеющие форму двояковогнутого диска и размером 7—8 мкм в диаметре. Эти клетки формируются в красном костном мозге и попадают в кровоток в незрелом состоянии, известном как ретикулоциты. Полная дифференцировка происходит через 1—2 дня после их выхода в кровь. Средняя продолжительность жизни эритроцита составляет от 100 до 120 дней. Изношенные и поврежденные эритроциты подлежат фагоцитозу макрофагами, находящимися в селезёнке, печени и костном мозге. Процесс образования эритроцитов, называемый эритропоэзом, активируется эритропоэтином, который вырабатывается в почках в условиях гипоксии.
Основная функция эритроцитов заключается в дыхании. Они переносят кислород от легочных альвеол к тканям и углекислый газ от тканей обратно к легким. Двояковогнутая форма эритроцитов обеспечивает оптимальное соотношение площади поверхности к объему, что способствует эффективному газообмену с плазмой крови. Белок гемоглобин, содержащий железо, заполняет эти клетки и отвечает за транспортировку кислорода, а также около 20% углекислого газа (остальные 80% переносятся в виде бикарбонат-ионов). Кроме того, эритроциты участвуют в процессе свёртывания крови и способны адсорбировать токсичные вещества на своей поверхности. Они также транспортируют различные ферменты, витамины, аминокислоты и ряд биологически активных соединений. В завершение, на поверхности эритроцитов располагаются антигены, которые служат группировочными признаками крови.
Лейкоциты [ править | править код ]
Лейкоциты представляют собой ядерные клетки округлой формы. В зависимости от наличия гранул в цитоплазме их делят на гранулоциты (нейтрофилы, эозинофилы, базофилы) и агранулоциты (лимфоциты и моноциты). Основной характеристикой лейкоцитов является их высокая подвижность, обеспечиваемая белками актином и миозином. Эти клетки способны покидать кровеносные сосуды, проникая между клетками эндотелия. Главная роль лейкоцитов заключается в защите организма. Они фагоцитируют микроорганизмы, инородные частицы и продукты распада тканей, а также синтезируют и нейтрализуют различные биологически активные вещества, участвуя в гуморальном и клеточном иммунитете.
Наиболее распространённым типом лейкоцитов являются нейтрофилы. После выхода из костного мозга они находятся в кровотоке всего несколько часов, после чего оседают в различных тканях. Их основная задача — фагоцитоз остатков тканей и опсонизированных микроорганизмов. Таким образом, нейтрофилы, вместе с макрофагами, обеспечивают первичный неспецифический иммунный ответ.
Эозинофилы остаются в костном мозге на протяжении нескольких дней после своего образования, затем на короткое время попадают в кровоток и мигрируют в ткани, контактирующие с внешней средой, такие как слизистые оболочки дыхательных и мочеполовых путей, а также кишечника. Эти клетки способны к фагоцитозу и участвуют в аллергических, воспалительных и антипаразитарных реакциях. Эозинофилы также выделяют гистаминазы, которые инактивируют гистамин, и препятствуют дегрануляции тучных клеток.
Базофилы являются самым малочисленным типом лейкоцитов (не более 0-1% от общего числа лейкоцитов в крови). В их гранулах содержатся гистамин и гепарин. Эти клетки выходят из кровотока в ткани, где участвуют в аллергических реакциях, выделяя гистамин и другие вазоактивные вещества.
Моноциты представляют собой самые крупные лейкоциты. После нескольких дней циркуляции в крови они покидают кровеносное русло и превращаются в макрофаги. Макрофаги — это фагоцитирующие клетки, которые встречаются во всех тканях и органах. Они поглощают денатурированные белки, старые эритроциты, остатки клеток и внеклеточного матрикса, а также опсонизированные бактерии. После активации макрофаги выделяют разнообразные ферменты, транспортные белки, интерлейкины, факторы роста, тромбоксаны, лизоцим и эндогенные пирогены.
Лимфоциты делятся на T-лимфоциты и B-лимфоциты в зависимости от места их созревания (тимус или красный костный мозг соответственно). Они постоянно поступают в кровь с лимфой из лимфатических узлов. Лимфоциты отвечают за специфический иммунитет. B-лимфоциты вырабатывают антитела, тогда как T-лимфоциты делятся на T-киллеров, которые обеспечивают клеточный иммунный ответ, T-хелперов, поддерживающих пролиферацию и дифференцировку B-лимфоцитов, и T-регуляторные клетки, которые подавляют T-клеточный иммунный ответ после устранения угрозы. Также выделяют особую группу лимфоцитов — натуральные киллеры, которые уничтожают раковые клетки, вирусные инфекции и чуждые клетки.

Тромбоциты [ править | править код ]
Тромбоциты, находящиеся в кровотоке (примерно две трети от общего количества, остальные хранятся в селезёнке), играют ключевую роль в процессе свёртывания крови и восстановлении повреждённых стенок сосудов. Они обладают способностью объединяться между собой и прилипать к стенкам сосудов, а также выделяют факторы роста, которые способствуют заживлению ран. Эти клетки формируются в костном мозге из мегакариоцитов, которые в определённый момент распадаются на множество кровяных пластинок.
Образование [ править | править код ]
Все клетки крови образуются из стволовых гематопоэтических клеток, которые располагаются в костном мозге. На первом этапе они делятся на две группы: предшественники лимфоидных и миелоидных клеток. Лимфоидные предшественники формируют натуральные киллеры, T-лимфоциты и B-лимфоциты. Миелоидные предшественники, в свою очередь, развиваются в мегакариоциты (предшественники тромбоцитов), предшественники эритроцитов, тучные клетки и миелобласты. Из миелобластов возникают базофилы, нейтрофилы, эозинофилы и моноциты.
Процесс образования эритроцитов, известный как эритропоэз, активируется эритропоэтинами в условиях недостатка кислорода в тканях. Уровень лейкоцитов в крови контролируется гормонами тимуса. В печени вырабатывается тромбопоэтин, который способствует образованию мегакариоцитов. Клетки стромы костного мозга и T-лимфоциты производят интерлейкин 3, который воздействует на стволовые кроветворные клетки.
Кровь человека представляет собой жидкость, состоящую из плазмы и форменных элементов, находящихся в ней в взвешенном состоянии. Эти элементы составляют примерно 40-45% от общего объема крови и имеют небольшой размер, что позволяет рассматривать их только под микроскопом.
Клетки крови делятся на две основные группы: красные и белые. Красные клетки, известные как эритроциты, составляют основную массу клеток, тогда как белые клетки представлены лейкоцитами.
Также к клеткам крови относятся тромбоциты. Эти маленькие кровяные пластинки не являются полноценными клетками, а представляют собой мелкие фрагменты, которые отделились от крупных клеток – мегакариоцитов.
Эритроциты
Эритроциты, известные как красные кровяные клетки, представляют собой самую многочисленную группу клеток в организме. Их основная функция заключается в переносе кислорода от легких к тканям, а также в транспортировке углекислого газа от тканей обратно к легким.
Эти клетки формируются в красном костном мозге и имеют срок жизни около 120 дней, после чего они разрушаются в селезенке и печени.
Эритроциты развиваются из предшественников, называемых эритробластами. На пути к окончательной форме эритроциты проходят несколько стадий развития и делятся несколько раз. В результате из одного эритробласта может образоваться до 64 зрелых красных кровяных клеток.
Эритроциты не имеют ядра и имеют форму двояковогнутого диска, диаметр которого составляет примерно 7-7,5 мкм, а толщина по краям – 2,5 мкм. Такая форма обеспечивает высокую пластичность, что позволяет им легко проходить через мелкие сосуды, а также увеличивает площадь поверхности для газообмена. Со временем старые эритроциты теряют свою пластичность, что приводит к их задержке в мелких сосудах селезенки, где они и разрушаются.
Около 80% эритроцитов имеют стандартную двояковогнутую форму, в то время как остальные 20% могут принимать различные формы, такие как овальная, чашеобразная, простая сферическая или серповидная. Изменение формы клеток может быть связано с различными заболеваниями, такими как анемия или дефицит витаминов B12, фолиевой кислоты и железа.
Основную часть цитоплазмы эритроцитов занимает гемоглобин, который состоит из белка и гемового железа, придающего крови красный цвет. Небелковая часть включает четыре молекулы гема, каждая из которых содержит атом железа. Благодаря гемоглобину эритроциты способны переносить кислород и выводить углекислый газ. В легких атом железа связывается с кислородом, превращая гемоглобин в оксигемоглобин, что придает крови ярко-красный оттенок. В тканях гемоглобин отдает кислород и связывается с углекислым газом, превращаясь в карбогемоглобин, что делает кровь темной. В легких углекислый газ отделяется от гемоглобина и выводится наружу, а кислород снова связывается с железом.
Помимо гемоглобина, в цитоплазме эритроцитов содержатся различные ферменты, такие как фосфатаза, холинэстераза и карбоангидраза.
Оболочка эритроцита имеет довольно простое строение по сравнению с оболочками других клеток. Она представляет собой эластичную тонкую сетку, что способствует быстрому газообмену.
В крови здорового человека могут присутствовать небольшие количества недозрелых эритроцитов, называемых ретикулоцитами. Их количество увеличивается при значительной кровопотере, когда необходимо быстро восполнить запасы красных клеток, и костный мозг не успевает производить зрелые эритроциты, поэтому он выпускает недозрелые, которые все же способны выполнять функции по транспортировке кислорода.
Лейкоциты
Лейкоциты представляют собой белые кровяные клетки, главная функция которых заключается в защите организма от различных угроз, как внутренних, так и внешних.
Эти клетки делятся на две основные категории: гранулоциты и агранулоциты. Гранулоциты – это клетки с зернистой структурой, к которым относятся нейтрофилы, базофилы и эозинофилы. Агранулоциты, в свою очередь, не содержат гранул в своей цитоплазме и включают лимфоциты и моноциты.
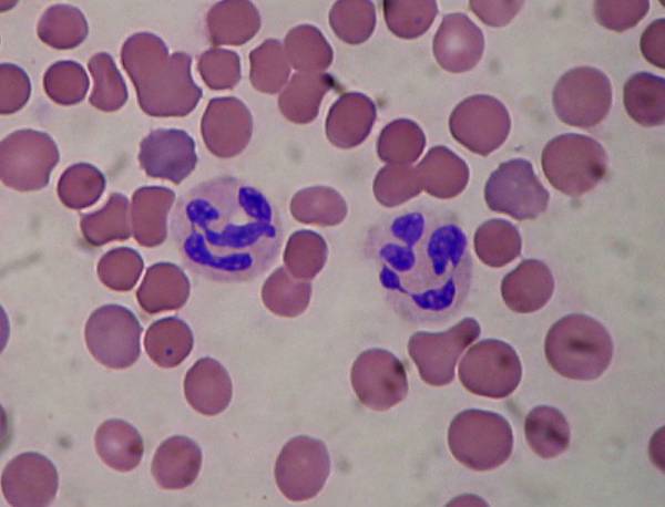
Нейтрофилы
Это самая большая группа лейкоцитов, составляющая до 70% от общего количества белых клеток. Нейтрофилы получили свое название благодаря тому, что их гранулы окрашиваются нейтральными красителями. Их зернистость мелкая, а гранулы имеют фиолетово-коричневый оттенок.
Главная функция нейтрофилов заключается в фагоцитозе, который представляет собой процесс захвата патогенных микроорганизмов и продуктов распада тканей с последующим их уничтожением внутри клетки с помощью лизосомных ферментов, содержащихся в гранулах. Эти гранулоциты в основном борются с бактериями и грибами, а также в меньшей степени с вирусами. Гной формируется из нейтрофилов и их остатков. При распаде нейтрофилов лизосомные ферменты высвобождаются и размягчают окружающие ткани, создавая гнойный очаг.
Нейтрофил – это ядерная клетка округлой формы, размером около 10 мкм в диаметре. Ядро может иметь форму палочки или состоять из нескольких сегментов (от трех до пяти), соединенных тяжами. Увеличение числа сегментов (до 8-12 и более) указывает на наличие патологии. Нейтрофилы могут быть палочкоядерными или сегментоядерными: первые – это молодые клетки, вторые – зрелые. Клетки с сегментированным ядром составляют до 65% всех лейкоцитов, в то время как палочкоядерные в крови здорового человека не превышают 5%.
В цитоплазме нейтрофилов содержится около 250 различных типов гранул, которые содержат вещества, необходимые для выполнения их функций. Это белковые молекулы, влияющие на обменные процессы (ферменты), регуляторные молекулы, контролирующие активность нейтрофилов, а также вещества, разрушающие бактерии и другие вредные агенты.
Эти гранулоциты образуются в костном мозге из нейтрофильных миелобластов. Зрелая клетка находится в костном мозге в течение 5 дней, после чего попадает в кровь, где живет до 10 часов. Из сосудистого русла нейтрофилы проникают в ткани, где остаются на 2-3 дня, а затем направляются в печень и селезенку, где подлежат разрушению.
Базофилы
В крови этих клеток содержится крайне мало – не более 1% от общего числа лейкоцитов. Они имеют округлую форму и ядро, которое может быть сегментированным или палочкообразным. Диаметр этих клеток составляет 7-11 мкм. В цитоплазме можно увидеть темно-фиолетовые гранулы различного размера. Их название связано с тем, что гранулы окрашиваются красителями с щелочной или основной реакцией. Гранулы базофилов содержат ферменты и другие вещества, которые играют важную роль в процессе воспаления.
Основная задача этих клеток заключается в выделении гистамина и гепарина, а также в участии в формировании воспалительных и аллергических реакций, включая реакции немедленного типа, такие как анафилактический шок. Кроме того, базофилы способны снижать свертываемость крови.
Эти клетки образуются в костном мозге из базофильных миелобластов. После завершения процесса созревания они попадают в кровоток, где остаются примерно на два дня, а затем мигрируют в ткани. Что происходит с ними дальше, остается загадкой.
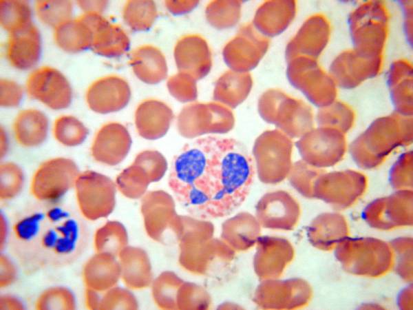
Эозинофилы
Эти гранулоциты составляют около 2-5% от общего количества лейкоцитов. Их гранулы окрашиваются с помощью кислого красителя – эозина.
Эозинофилы имеют округлую форму и слабо окрашенное ядро, состоящее из сегментов одинакового размера (чаще всего двух, реже – трех). В диаметре они достигают 10-11 мкм. Цитоплазма этих клеток окрашивается в бледно-голубой цвет и почти не заметна на фоне крупных круглых гранул желто-красного оттенка.
Эти клетки формируются в костном мозге, их предшественниками являются эозинофильные миелобласты. В гранулах эозинофилов содержатся ферменты, белки и фосфолипиды. Созревшие эозинофилы живут в костном мозге несколько дней, после чего попадают в кровь, где находятся до 8 часов, а затем перемещаются в ткани, контактирующие с внешней средой (например, слизистые оболочки).
Как и все лейкоциты, эозинофилы выполняют защитную функцию. Эти клетки способны к фагоцитозу, хотя это не является их основной задачей. Они в основном захватывают патогенные микроорганизмы на слизистых оболочках. В их гранулах и ядре содержатся токсичные вещества, которые повреждают мембраны паразитов. Главная функция эозинофилов – защита от паразитарных инфекций. Кроме того, они также участвуют в развитии аллергических реакций.
Лимфоциты
Это клетки круглой формы с крупным ядром, которое занимает значительную часть цитоплазмы. Их диаметр варьируется от 7 до 10 мкм. Ядро может быть круглым, овальным или бобовидным и имеет грубую структуру, состоящую из комков оксихроматина и базироматина, напоминающих глыбы. Окраска ядра может быть темно-фиолетовой или светло-фиолетовой, иногда в нем можно заметить светлые вкрапления в виде ядрышек. Цитоплазма имеет светло-синий оттенок, а вокруг ядра она выглядит более светлой. В некоторых лимфоцитах цитоплазма обладает азурофильной зернистостью, которая при окрашивании становится красной.
В крови можно встретить два типа зрелых лимфоцитов:
- Узкоплазменные. У них грубое темно-фиолетовое ядро и узкий ободок цитоплазмы синего цвета.
- Широкоплазменные. В этом случае ядро имеет более светлую окраску и бобовидную форму. Ободок цитоплазмы широкий, серо-синего цвета, с редкими азурофильными гранулами.
Среди атипичных лимфоцитов в крови можно обнаружить:
- Мелкие клетки с едва заметной цитоплазмой и пикнотическим ядром.
- Клетки с вакуолями в цитоплазме или ядре.
- Клетки с дольчатыми, почкообразными ядрами с зазубринами.
- Голые ядра.
Лимфоциты формируются в костном мозге из лимфобластов и проходят несколько этапов деления в процессе созревания. Полное созревание происходит в тимусе, лимфатических узлах и селезенке. Лимфоциты являются клетками иммунной системы, отвечающими за иммунные реакции. Существует два основных типа: T-лимфоциты (80% от общего числа) и B-лимфоциты (20%). Первые созревают в тимусе, а вторые – в селезенке и лимфатических узлах. B-лимфоциты, как правило, больше по размеру, чем T-лимфоциты. Продолжительность жизни этих лейкоцитов может достигать 90 дней. Кровь служит для них транспортной средой, позволяя добираться до тканей, где они необходимы.
Действия T-лимфоцитов и B-лимфоцитов различаются, хотя обе группы участвуют в формировании иммунных реакций.
T-лимфоциты занимаются уничтожением вредных агентов, чаще всего вирусов, через фагоцитоз. Иммунные реакции с их участием относятся к неспецифической резистентности, так как действия T-лимфоцитов одинаковы для всех патогенных агентов.
По выполняемым функциям T-лимфоциты делятся на три категории:
- T-хелперы. Их основная задача – поддержка B-лимфоцитов, но иногда они могут действовать как киллеры.
- T-киллеры. Эти клетки уничтожают вредные агенты: чуждые, раковые и мутированные клетки, а также возбудителей инфекций.
- T-супрессоры. Они подавляют или блокируют чрезмерно активные реакции B-лимфоцитов.
B-лимфоциты действуют иначе: против патогенных микроорганизмов они вырабатывают антитела – иммуноглобулины. Это происходит следующим образом: в ответ на действия вредных агентов они взаимодействуют с моноцитами и T-лимфоцитами, превращаясь в плазматические клетки, которые производят антитела. Эти антитела распознают специфические антигены и связываются с ними. Каждый вид антител специфичен для определенного микроорганизма, что делает резистентность, формируемую B-лимфоцитами, специфической и направленной в основном против бактерий.
Эти клетки обеспечивают защиту организма от различных вредных микроорганизмов, что называется иммунитетом. То есть, при встрече с патогенным агентом B-лимфоциты создают клетки памяти, которые и формируют эту защиту. Аналогичный процесс – создание клеток памяти – происходит при вакцинации против инфекционных заболеваний. В этом случае вводится ослабленный микроб, чтобы человек легко перенес заболевание, и в результате формируются клетки памяти. Они могут сохраняться на протяжении всей жизни или на определенный период, после чего может потребоваться повторная вакцинация.
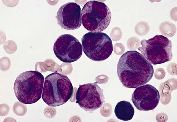
Моноциты
Моноциты представляют собой самые крупные клетки среди лейкоцитов. Их доля в общем количестве белых кровяных клеток варьируется от 2 до 9 %. Диаметр моноцитов может достигать 20 мкм. Ядро этих клеток довольно крупное, занимает почти всю цитоплазму и может иметь различные формы: круглую, бобовидную, грибовидную или напоминать бабочку. При окрашивании ядро приобретает красно-фиолетовый оттенок. Цитоплазма моноцитов имеет дымчатый, иногда синевато-дымчатый, а в редких случаях и синий цвет. Обычно она содержит мелкие азурофильные гранулы. В цитоплазме могут встречаться вакуоли, пигментные гранулы и фагоцитированные клетки.
Процесс образования моноцитов происходит в костном мозге из предшественников, называемых монобластами. После завершения созревания они попадают в кровоток и могут находиться там до 4 дней. Часть из них погибает, а другая часть перемещается в ткани, где они дозревают и превращаются в макрофаги. Эти клетки являются самыми крупными, имеют большое круглое или овальное ядро, голубую цитоплазму и множество вакуолей, что придаёт им пенистый вид. Макрофаги могут жить несколько месяцев и бывают как резидентными (постоянно находящимися в одном месте), так и блуждающими (перемещающимися).
Моноциты вырабатывают регуляторные молекулы и ферменты. Они способны инициировать воспалительные реакции, а также могут их подавлять. Кроме того, они играют важную роль в процессе заживления ран, способствуя его ускорению, а также помогают восстанавливать нервные волокна и костную ткань. Основная функция моноцитов заключается в фагоцитозе. Эти клетки эффективно уничтожают патогенные бактерии и сдерживают размножение вирусов. Хотя моноциты могут выполнять команды, они не способны различать специфические антигены.
Тромбоциты
Эти клетки крови представляют собой небольшие безъядерные пластинки, которые могут иметь как круглую, так и овальную форму. При активации, когда они находятся рядом с поврежденной стенкой сосуда, у них формируются выросты, благодаря чему они напоминают звезды. В тромбоцитах содержатся микротрубочки, митохондрии, рибосомы и специфические гранулы, в которых находятся вещества, необходимые для процесса свертывания крови. Эти клетки окружены трехслойной мембраной.
Тромбоциты производятся в костном мозге, однако их образование происходит иначе, чем у других клеток. Кровяные пластинки формируются из крупных клеток мозга, называемых мегакариоцитами, которые, в свою очередь, развиваются из мегакариобластов. Мегакариоциты имеют значительную цитоплазму, в которой после созревания образуются мембраны, разделяющие клетку на фрагменты. Эти фрагменты затем отделяются, образуя тромбоциты. Они покидают костный мозг и попадают в кровь, где находятся в течение 8-10 дней, после чего погибают в селезенке, легких или печени.
Размеры кровяных пластинок могут варьироваться:
- микроформы – самые маленькие, их диаметр не превышает 1,5 мкм;
- нормоформы – достигают 2-4 мкм;
- макроформы – имеют размер около 5 мкм;
- мегалоформы – варьируются от 6 до 10 мкм.
Тромбоциты играют ключевую роль в организме, участвуя в образовании кровяного сгустка, который закрывает повреждение в сосуде, предотвращая утечку крови. Кроме того, они помогают поддерживать целостность стенки сосуда и способствуют ее быстрому восстановлению после травмы. Когда начинается кровотечение, тромбоциты прилипают к краям повреждения, пока отверстие не будет полностью закрыто. Налипшие пластинки начинают разрушаться и выделять ферменты, которые воздействуют на плазму крови. В результате этого процесса образуются нерастворимые нити фибрина, которые надежно закрывают место повреждения.
Заключение
Кровяные клетки обладают сложной структурой, и каждый их тип выполняет уникальные функции: от переноса газов и питательных веществ до производства антител, защищающих организм от инфекций. На сегодняшний день их характеристики и роли еще не полностью исследованы. Для поддержания нормальной жизнедеятельности человека требуется определенное количество каждой категории клеток. Изменения в их количестве и качестве могут сигнализировать врачам о возможных заболеваниях. Состав крови – это первый аспект, который анализирует специалист при обращении пациента.
Функции эритроцитов
Эритроциты, или красные кровяные клетки, играют ключевую роль в организме человека, обеспечивая транспорт кислорода и углекислого газа. Основная функция эритроцитов заключается в переносе кислорода от легких к тканям и углекислого газа от тканей обратно в легкие. Эта функция осуществляется благодаря наличию гемоглобина — белка, содержащего железо, который связывается с кислородом и углекислым газом.
Эритроциты имеют уникальную двояковогнутую форму, что увеличивает их поверхность и способствует более эффективному газообмену. Эта форма позволяет клеткам легко проходить через узкие капилляры, обеспечивая максимальный контакт с окружающей средой. Эритроциты не содержат ядра и органелл, что позволяет им вместить больше гемоглобина и, следовательно, увеличивает их способность к транспортировке газов.
Кроме транспортировки газов, эритроциты также участвуют в поддержании кислотно-щелочного баланса крови. Они способны связываться с ионами водорода, что помогает регулировать pH крови. Это особенно важно для поддержания гомеостаза и нормального функционирования всех систем организма.
Эритроциты также играют роль в иммунной системе. Хотя они не являются клетками иммунной защиты, их взаимодействие с другими клетками крови, такими как лейкоциты, может влиять на иммунный ответ. Например, при воспалительных процессах эритроциты могут выделять молекулы, которые привлекают лейкоциты к месту инфекции.
Важно отметить, что количество эритроцитов в крови может варьироваться в зависимости от различных факторов, таких как возраст, пол, физическая активность и состояние здоровья. Нормальные значения для взрослых мужчин составляют примерно 4.7-6.1 миллиона клеток на микролитр крови, а для женщин — 4.2-5.4 миллиона клеток на микролитр. Отклонения от этих норм могут указывать на различные заболевания, такие как анемия или полицитемия.
Таким образом, эритроциты выполняют множество жизненно важных функций, обеспечивая не только транспортировку газов, но и участие в поддержании гомеостаза и иммунной защите организма. Их изучение под микроскопом позволяет лучше понять их структуру и функции, а также выявить возможные патологии, связанные с изменением их количества или состояния.
Изменения в эритроцитах при заболеваниях
Эритроциты, или красные кровяные клетки, играют ключевую роль в транспортировке кислорода от легких к тканям и углекислого газа от тканей к легким. Изменения в их количестве, форме и структуре могут служить важными индикаторами различных заболеваний. Рассмотрим подробнее, как именно заболевания влияют на эритроциты.
Одним из наиболее распространенных изменений является анемия, состояние, при котором уровень гемоглобина в крови снижен. Это может быть вызвано недостатком железа, витаминов (например, B12 или фолиевой кислоты) или хроническими заболеваниями. Под микроскопом эритроциты при анемии могут выглядеть меньшими по размеру (микроцитоз) и иметь более светлый цвет, что указывает на низкое содержание гемоглобина.
В случае железодефицитной анемии эритроциты часто имеют неправильную форму и могут быть более изогнутыми, что называется пойкилоцитозом. Это изменение связано с недостатком железа, необходимого для синтеза гемоглобина, что приводит к образованию менее стабильных клеток.
Другим примером является серповидноклеточная анемия, генетическое заболевание, при котором эритроциты принимают форму полумесяца или серпа. Эти аномальные клетки менее эластичны и могут блокировать мелкие сосуды, что приводит к болевым кризам и другим осложнениям. Под микроскопом серповидные эритроциты легко отличить от нормальных, так как они имеют характерную форму и могут быть заметно меньше по размеру.
Также стоит упомянуть о талассемии, наследственном заболевании, при котором нарушается синтез одной из цепей гемоглобина. Это приводит к образованию аномальных эритроцитов, которые могут быть меньшими по размеру и иметь более низкую концентрацию гемоглобина. Под микроскопом такие клетки могут выглядеть гипохромными и микроцитарными.
При некоторых заболеваниях, таких как полицитемия, наблюдается увеличение количества эритроцитов. Это состояние может быть вызвано как первичными, так и вторичными факторами, включая хронические заболевания легких или опухоли, вырабатывающие эритропоэтин. Под микроскопом эритроциты могут выглядеть более крупными и плотными, что может затруднять их нормальное движение по сосудам.
Кроме того, изменения в эритроцитах могут быть связаны с инфекциями и воспалительными процессами. Например, при некоторых инфекциях может наблюдаться увеличение количества незрелых форм эритроцитов, что указывает на активное кроветворение в ответ на стресс. Эти клетки могут иметь аномальные размеры и формы, что также можно наблюдать под микроскопом.
Таким образом, изменения в эритроцитах при различных заболеваниях являются важным диагностическим признаком. Анализ крови и микроскопическое исследование эритроцитов позволяют врачам не только выявлять наличие заболеваний, но и оценивать их тяжесть и стадию. Это подчеркивает важность регулярного мониторинга состояния крови для поддержания здоровья и раннего выявления патологий.
Методы исследования эритроцитов под микроскопом
Исследование эритроцитов под микроскопом является важным методом в клинической лабораторной диагностике. Существует несколько подходов и техник, которые позволяют получить детальную информацию о состоянии этих клеток, их количестве, форме и функциональных характеристиках.
Одним из наиболее распространенных методов является общий анализ крови, который включает в себя подсчет количества эритроцитов, определение их размера и формы. Для этого используется специальный микроскоп, который позволяет визуализировать клетки в различных условиях освещения. Обычно для анализа берется капля крови, которая помещается на предметное стекло и накрывается покровным стеклом. Это позволяет избежать искажения формы клеток и обеспечивает четкость изображения.
Для более детального изучения эритроцитов применяются окрашенные препараты. Наиболее популярным является метод окраски по Романовскому-Гимзе, который позволяет выделить эритроциты и другие элементы крови. Окрашивание помогает визуализировать не только форму и размер клеток, но и их внутреннюю структуру, что может быть полезно для диагностики различных заболеваний. Например, при анемии можно наблюдать изменения в окраске и размере эритроцитов, что указывает на недостаток железа или витаминов.
Другим важным методом является флоуресцентная микроскопия, которая позволяет исследовать эритроциты с использованием флуоресцентных красителей. Этот метод дает возможность выявлять специфические маркеры на поверхности клеток, что может быть полезно для диагностики инфекционных заболеваний или рака. Флуоресцентная микроскопия позволяет получать изображения с высокой разрешающей способностью, что способствует более точному анализу.
Также стоит упомянуть электронную микроскопию, которая предоставляет возможность изучать эритроциты на ультратонком уровне. Этот метод позволяет увидеть детальную структуру клеточной мембраны, органелл и других компонентов, что может быть полезно для понимания патогенеза различных заболеваний. Однако, из-за высокой стоимости и сложности, электронная микроскопия используется реже, чем другие методы.
Наконец, иммунофлуоресцентные методы позволяют исследовать эритроциты на наличие специфических антител или антигенов. Это может быть полезно для диагностики аутоиммунных заболеваний, когда организм вырабатывает антитела против собственных клеток. Использование специфических меток позволяет точно определить наличие или отсутствие определенных молекул на поверхности эритроцитов.
Таким образом, методы исследования эритроцитов под микроскопом являются разнообразными и многообразными, что позволяет получить полное представление о состоянии крови и выявить различные патологии. Каждый из методов имеет свои преимущества и недостатки, и выбор конкретного подхода зависит от целей исследования и доступного оборудования.








