Ноющая боль в районе копчика — это широко распространённая проблема малоподвижного образа жизни. Для неосведомлённого человека в данной области такие симптомы воспринимаются, как несущественные. Но знайте, что боли в копчике при сидении и вставании означает появление серьёзного заболевания либо травмы.
Почему возникает боль в копчике
Если болит копчик когда сидишь причин может быть множество. Копчик является нижним отделом позвоночника человека, который составляют рудиментарные позвонки, плотно сросшиеся друг с другом. К передней части крепятся мышцы и связки, принимающие участие в нормальной работе мочеполовых органов. Ещё на нём располагает пучки мышц большая ягодичная мышца.
Копчиковая кость отвечает за распределение нагрузки. Боль в копчике при сидении и вставании может означать появление довольно серьёзного недуга, чему стоит уделить внимания. Влияние на его состояние могут оказать:
- Травмы, нанесённые копчику при езде на велосипеде по неровным дорогам на твёрдом сидении;
- Ушибы, полученные при падении на ягодицы;
- Повреждения, вызванные перегрузками, воздействующими на копчик, вследствие неправильного положения при сидении на стуле (смещение таза вниз);
Проще говоря, риск получения травмы велик, поэтому при первом появлении дискомфорта в упомянутой зоне, следует обратиться к врачу.
Ещё толчком к появлению болей в копчике когда сидишь или встаешь становятся дегенеративно-воспалительные процессы и заболевания крестца. Статистика зарубежных исследователей показывает, что боли в области копчика чаще беспокоят людей с особым строением копчика: его расположение имеет угол 90 °с резко направленной вперёд верхушкой.
Классификация болевых ощущений
Боль в области копчика можно поделить на 2 класса:
- Кокцигодиния;
- Боль аноректальная.
В первом случае источник боли исходит из самого копчика. Она возникает вследствие проблем с суставами, невралгическое отклонение или скопившаяся соль. При кокцигодинии копчик болит когда сидишь или встаешь со стула. Для определения точной проблемы проводится тщательная диагностика.
Аноректальная боль имеет свои особенности: источник находится в прямой кишке или в переделах анального отверстия, но отдаёт она именно в копчик. Источником таких неудобств могут быть шрамы — следствие хирургического вмешательства, воспалительный процесс, вызванный заболеванием, нестабильная работа желудка или кишечника.
Второй класс может стать причиной, при которой болит копчик когда сидишь. Он встречается у пенсионеров и людей пожилого возраста. Неудобство может находиться ощущать в крестце, у анального прохода либо в промежности. Заболевания толстого и тонкого кишечника тоже относятся к причинам боли в копчике при сидении.
Почему появляется боль в копчике когда встаешь
В большей части, копчик болит когда встаёшь с кресла или дивана вследствие травмы. Когда вы ударяетесь или падаете, то возникает вероятность образования трещины или перелома, хуже того со смещением. И если болит копчик при вставании — воспринимайте это как знак о присутствии определённых проблем.
Испытывать дискомфорт в копчике при вставании можно после перенесённых на тазе операций или после травмы тазобедренного сустава.
Для правильного ответа на поставленный вопрос, нужно учитывать факторы, которые способны спровоцировать такое состояние:
- Скопившиеся соли;
- Отклонения от нормального состояния мышц в промежности;
- Период беременности;
- Болезненные ощущения в промежности после родов;
- Запор;
- Нарушения функций нервов промежности;
- Последствия перенесённой операции в упомянутой области;
- Нарушения находящихся недалеко от копчика органов;
- Нарушенное кровообращение.
Если вы не знаете что делать, если болит копчик когда сидишь — обратитесь в доктору. Ведь возбуждающим фактором могут выступать проблемы в функциях организма.
Болевые ощущения в копчике при сидении
Как упоминалось ранее, боль в нижней части позвоночника возникает у женщин и мужчин после долгого сидения, например, на работе и дома за компьютером после неё. Но болевой синдром появляется и при чрезмерно активной жизни.
Люди с сидячей работой часто задаются мыслью: «почему болит копчик когда сидишь». Ответ довольно простой: они не умеют правильно подобрать для себя стул.
Дело в том, что копчиковая кость — это место, где сосредотачиваются множественные нервные окончания. Здесь же сосредотачиваются волокна мышц, отвечающих за работоспособность тазобедренного сустава и ног. Поэтому важно поддерживать стабильный доступ крови к упомянутой части тела и не нарушать связь копчика с центральной нервной системой.
Если неправильно подобрать мебель, произойдет изменение хряща, позвонки начнут смещаться и сдавливать мягкие ткани. Такие факторы вызывают боль в копчике когда долго сидишь. Этим можно объяснить появление тупых болей в области копчиковой кости в конце рабочего дня у работников офисов.
Если размышлять почему болит копчик при сидении, нужно отметить такие факторы, как:
- Нарушения внутренних органов (в том числе и гинекологические болезни);
- Травмы малого таза;
- Копчиковые грыжи;
- Воспаление слизистой оболочки прямой кишки;
- Острое или хроническое воспаление параректальной клетчатки;
- Последствия острого парапроктита.
Любая из перечисленных проблем может протекать с симптомами, которые будет дополнять боль в копчиковой кости. Такими симптомами могут стать выделения из влагалища, геморроидальные шишки, боля при выделении кала (дефекации).
Другие причины появления боли
Когда больно сидеть и дискомфорт сосредоточен в поясничной области, то можно задуматься о невралгии. Здесь можно говорить о воспалительном процессе в нервной ткани, выходящей из крестца или поясничной области позвоночника. Скорее всего, пострадала прямая кишка, вследствие острого воспаления или заболевания.
Несвоевременное лечение причины, при которой болит копчик когда сидишь, может способствовать развитию гнойной стадии болезни и повышает риск образования свищей. При таком развитии ситуации, лечение проводится исключительно хирургическим вмешательством.
Диагностика проблемы
Если вам больно сесть, эффективно устранить проблему, возможно, при 100% определённом источнике боли. Не проводя диагностику сделать это невозможно. Оставьте свои надежды самостоятельно выявиться проблему и запишитесь на осмотр к врачу. Специалисты в области проктологии рекомендуют пройти обследования:
- Обязательно сделайте рентгенографию копчиковой кости и крестца;
- Пройдите сфинктерометрию (измерение силы анального сфинктера);
- Сдайте анализы на выявление отёчных процессов и воспалений в органах, находящихся рядом с копчиком;
- Сделайте пальпацию прямого кишечника;
- Обязательно пройдите ректоскопию.
Для наиболее точного диагноза вам потребуется посетить травматологическое отделение, урологию, гинекологию и невропатолога.
Как устранить боль
Зачастую устранить дискомфорт в рудиментарных позвонках получается традиционными методиками, без вмешательства хирургов. Здесь вам помогут:
- Препараты, устраняющие болевой эффект;
- Комплексная терапия, предусматривающая полный покой для пациента;
- Лечебно профилактические упражнения;
- Мануальная терапия;
- Физиотерапия;
- Восстановительные массажи.
Как было упомянуто ранее, если больно садиться, выяснить причину нужно до назначения конкретного лечения. Поэтому выбирается методика исходя из того, присутствуют или нет серьёзные заболевания в организме, являющиеся возбудителем проблемы. Если отклонения в организме обнаруживаются, их обязательно нейтрализуют.
Начальный этап лечения корректирует все выявленные нарушения комбинированного характера. Но заболевшему следует подготовиться к лечению возможного остеохондроза, воспалительных процессов мочеполовых органов либо дисбактериоза: они являются основными причинами появления болезненных ощущений в указанной части позвоночника.
Вам поможет физкультура
Нужно отметить упражнения, которые заболевший может делать без посторонней помощи. Лечебные профилактические упражнения помогут преодолеть боль, доставляющую неудобства. Но вам стоит придерживаться важных советов по их применению: упражнения не должны сопровождаться спортивной ходьбой, нельзя бегать, прыгать, запрещено применение резких движений и рывков.
Гимнастическая профилактика должна выглядеть так:
- Лягте на спину, выпрямите ноги и удерживайте мяч между ступней; давите на него стопами на протяжении 8 — 10 секунд, прилагая при этом усилие. Манипуляции повторяйте 6 раз, делая перерывы на 20 секунд.
- Удобно устроившись на спине, разведите ноги по сторонам со слегка согнутыми коленями. Руками возьмитесь за внутреннюю сторону коленей. Теперь начинайте сводить коленки вместе, мешая сделать это сопротивлением рук. Рациональное число подходов 10 раз, выдерживая перерывы по 10-15 секунд.
- Примите положение как в упражнении №2 и зажмите коленями мяч. Руки держите на животе. Давите на мяч прилагая усилия на протяжении 10 секунд, не давая животу «выпячиваться» при помощи рук.
- В лежачем положении согните колени и разведите ноги по сторонам, одновременно приподнимая таз на 8 секунд. Так вы будете напрягать мышцы ягодиц. Повторных подходов делайте до 8 с перерывами в 20 секунд.
Если вы задумались, что делать если болит копчик когда сидите, то помните: за болевым симптомом может скрываться довольно опасная проблема, которая при несвоевременном лечении станет толчком к разрушительным процессам в организме. Почувствовав болевые отголоски в копчиковой кости, не затягивайте, ведь можно серьезно заболеть. Как можно скорее пройдите обследования и получите качественную консультацию профессионального врача.
| Пожалуйста, оцените статью |
Источник
Копчик — место локализации боли при сидении и вставании.
Причины появления болей в области копчика при сидении и вставании разнообразны. Дискомфорт в нижней части спины провоцируют воспалительные и дегенеративно-дистрофические поражения костных, хрящевых, мягких тканей, связок, мышц и сухожилий. Боли бывают острыми, пульсирующими, режущими или ноющими, давящими, тупыми. Устранить дискомфортные ощущения любой интенсивности можно только после лечения вызвавших их патологии.
Как определить источник боли
Важно знать! Врачи в шоке: «Эффективное и доступное средство от боли в суставах существует…» Читать далее…
Копчиком, или копчиковой костью, называется нижний отдел позвоночника, который состоит из 4-5 сросшихся позвонков. Он служит местом крепления связок, мышц, сухожилий, поэтому считать его рудиментом несколько ошибочно. Поражение любой взаимосвязанной с копчиком соединительнотканной структуры приводит к появлению болей.
То, что дискомфортные ощущения локализованы в этой кости, понять несложно. Существует несколько специфических признаков:
- область боли находится между ягодицами;
- наиболее выражена болезненность на участке немного выше ануса, а иногда расположена именно в анальном отверстии;
- даже небольшое надавливание на копчик вызывает неприятные ощущения;
- боль практически всегда появляется при долгом нахождении в положении сидя, особенно на твердом стуле или табурете;
- при подъеме ее интенсивность существенно возрастает.
Другой типичный признак того, что боли локализованы в копчике — их быстрое исчезновение при наклоне вперед. Такую совокупность симптомов называют кокцигодинией. Чаще всего она обнаруживается у женщин старше 40 лет.
Причины боли в копчике при сидении и вставании
Дискомфортные ощущения при сидении или подъеме могут возникать из-за воспалительного или деструктивного процесса, развивающегося в области копчика. Но чаще всего является отраженной. Она распространяется на него из других, поврежденных патологией органов, которые иннервируются общими нервными сплетениями.
Боли исходящие из области копчика
Четкая локализация боли в области копчика позволяет довольно быстро диагностировать спровоцировавшую ее патологию. Чаще всего кокцигодиния проявляется при формировании доброкачественных или злокачественных опухолей, воздействия на кость избыточных нагрузок, что характерно при ожирении.
Боль в копчике нередко появляется во 2-3 триместрах беременности. Она естественна и не требует приема анальгетиков — для ее устранения достаточно непродолжительного отдыха. Дискомфорт при сидении или вставании ощущается из-за постоянно увеличивающего объема и веса матки, выработки в организме особых гормонов для подготовки родовых путей.
Травма
Травмирование копчика происходит редко, но оно становится самой частой причиной дискомфорта в нем. Интенсивность боли зависит от степени повреждения костных и мягких тканей. При переломе она острая, пронизывающая, иррадиирущая в рядом расположенные участки тела. Даже после, казалось бы, полного восстановления дискомфорт внизу спины сохраняется еще очень долго. Его выраженность повышается в межсезонье, во время острого течения респираторных или хронических заболеваний. Если перелом обычно случается при дорожно-транспортных происшествиях, то менее серьезное травмирование может произойти в следующих ситуациях:
- падение с большой высоты в положении сидя;
- сильный прямой удар в нижнюю часть спины;
- осложненные роды;
- постоянное длительное микротравмирование копчиковой кости при езде на велосипеде или лошади.
В этих случаях боль обычно исчезает после рассасывания гематомы и воспалительного отека. Но при некачественной регенерации тканей она принимает хронический характер, обостряется после физических нагрузок или интенсивных спортивных тренировок.
Подвывих копчиковых позвонков происходит при родах. При прохождении плода по родовым путям кость сдвигается для расширения выхода из таза. Но иногда смещение копчика избыточно, что и становится причиной его подвывиха. Это возможно при стремительных родах или крупном плоде. В группе риска находятся также женщины с узким тазом.
Пилонидальная болезнь
Так называется поражение кожи между ягодицами немного выше копчика. Патология возникает в результате повреждения волосяного фолликула при травмах, переохлаждении, экземе, аллергическом дерматите. Это приводит к закупорке пор кожи между ягодицами. Если бы такой процесс протекал в другой части тела, то сформировался бы только хорошо поддающийся лечению прыщ. А закупорка межъягодичного фолликула из-за повышенной потливости и натирания бельем приводит к инфицированию пор. Формируется киста, наполненная гнойным экссудатом, выводящимся наружу через свищевые ходы. Для пилонидальной болезни характерна следующая симптоматика:
- кратковременные притупленные боли в области копчика, возникающие в положении сидя;
- усиление болей при переохлаждении, физической нагрузке;
- зуд, мацерация (набухания верхнего слоя эпидермиса) кожных структур;
- незначительные выделения в глубинах складки.
Патология визуализируется, как натягивание или втягивание кожи между ягодицами, ее разглаживание. При остром течении болезни возникают признаки общей интоксикации организма.
Опухоли крестцово-копчиковой области
Боль в крестце может быть спровоцирована тератомой — эмбрионально-клеточной опухолью, развивающейся из эндо-, экзо- и мезодермы. Чаще всего выявляются доброкачественные новообразования, при этом их формирование обнаруживается у ребенка еще до его рождения с помощью УЗИ. Если тератома своевременно не выявлена и не удалена, то возможно ее инфицирование или перерождение в злокачественную опухоль. В последнем случае операции недостаточно — требуется многостадийная химиотерапия. На образование тератомы могут указывать следующие признаки:
- слабость, вялость, сонливость;
- быстрая потеря веса;
- субфебрильная температура (в пределах 37,1—38,0 °C) в течение длительного времени.
Если доброкачественная опухоль небольшого размера, то у человека не возникает каких-либо симптомов вовсе. Крупные тератомы сдавливают расположенные поблизости органы, что приводит к разнообразным клиническим проявлениям. Опухоли злокачественные вызывают сильнейшую боль в копчике, дают метастазы, в том числе в позвоночник.
Ожирение
Наличие лишнего веса — причина болей не только в копчике, но и практически во всех суставах. Избыточная масса тела провоцирует неправильное расположение тазовых костей при сидении. А это — один из провоцирующих факторов подвывиха копчиковой кости. В группу риска входят женщины с индексом массы выше 27,4, мужчины — 29,4. При ожирении нагрузки на позвоночные сегменты существенно возрастают, что нередко становится толчком для развития воспалительных и дегенеративно-дистрофических патологий: артрозов, артритов, спондилоартрозов, остеохондрозов.
Идиопатические боли
Боль в области копчика иногда возникает без какой-либо причины. В нижней части спины ощущается время от времени дискомфорт, но при обследовании не выявляется никаких патологий. Нередко ему предшествуют неврозы или депрессии, поэтому в терапии используются антидепрессанты и успокаивающие средства. В большинстве случаев кокцигодиния возникает внезапно и вскоре исчезает. Если же она приняла хроническую форму, пациентам назначаются физиотерапевтические процедуры, улучшающие состояние структур копчика.
Боли, отдающие в район копчика
Если в области копчика не обнаружена причина кокцигодинии, то проводится обследование органов малого таза. Их поражение приводит к появлению отраженной боли в нижней точке спины.
Геморрой
Геморрой — патология, характерными признаками которой становятся тромбоз, воспаление, расширение и извитость геморроидальных вен, формирующих узлы около прямой кишки. Он развивается постепенно, поэтому интенсивность болей в копчике при геморрое медленно, но неуклонно возрастает.
Вначале возникает тяжесть и зуд в аноректальной области, расстройства перистальтики. К появлению болезненности предрасполагают:
- употребление жирной пищи, алкоголя, продуктов с большим содержанием соли, специй, пряностей;
- значительные физические нагрузки.
Один из типичных признаков геморроя — появление в кале свежей крови или темных кровяных сгустков. Болезненность в копчике возникает при дефекации, чихании, сидении на твердых предметах, длительном нахождении на ногах. Постоянная потеря крови провоцирует анемию, проявляющуюся в слабости, быстрой утомляемости, бледности кожи, плохом состоянии ногтей и волос.

Опухоли
На начальном этапе формирования злокачественной опухоли дистального отдела толстого кишечника не возникает каких-либо симптомов. Это и становится причиной позднего диагностирования новообразования, осложненного метастазами лечения. Опухоль может прорастать внутрь кишечника или охватывать прямую кишку, распространиться на матку, мочевой пузырь, позвоночные структуры. Патология сопровождается следующей симптоматикой:
- расстройство перистальтики (запор, диарея);
- кишечная непроходимость;
- болезненность в области копчика, усиливающаяся при сидении и вставании;
- кровотечения из заднего прохода;
- появление примесей крови в фекальных массах;
- анемия;
- быстрое похудение.
К образованию опухолей прямой кишки предрасполагают ожирение, болезнь Крона, воспалительные патологии кишечника. Установлена взаимосвязь между частотой их формирования и употреблением большого количества мясных продуктов.
Опухоль на МРТ.
Синдром грушевидной мышцы
Так называется комплекс симптомов, который возникает при ущемлении седалищного нерва в подгрушевидном отверстии. Причинами развития синдрома становятся предшествующие травмы, анатомические особенности строения мышц, врожденные или приобретенные аномалии позвоночника. Намного реже болезненность в копчике при подъеме ощущается после интенсивных физических нагрузок. Клинически синдром проявляется:
- периферическими парезами (снижением силы) стопы;
- болью по ходу пораженного нерва.
Интенсивность кокцигодинии нарастает, если в результате сдавления седалищный нерв воспаляется. В этом случае боль не локализуется в копчике, а иррадиирует в область паха, бедра, бока, лодыжки.

Эндометриоз
Эндометриоз характеризуется разрастанием железистой ткани матки за ее пределами. Фрагменты эндометрия проникают в другие органы, претерпевают такие же изменения во время менструального цикла. Клинически это проявляется болями, увеличением пораженных органов, нарушениями менструальной функции. Нередко возникают выделения из молочных желез. При отсутствии лечения значительно повышается вероятность бесплодия.
При эндометриозе болезненность копчика наблюдается при образовании очагов патологии в области, где расположены маточно-крестцовые связки. Это происходит и при повреждении стенок матки. Болезненность усиливается перед менструацией и во время нее, ослабевает или полностью исчезает после завершения цикла.
Виды эндометриоза.
Болезни пояснично-крестцового отдела позвоночника
Ведущий симптом остеохондроза пояснично-крестцового отдела — боль в нижней части спины, иррадиирущая в копчик, крестец. Если сформировалась межпозвоночная грыжа, то интенсивность кокцигодинии возрастает из-за ущемления спинномозговых корешков. Боль усиливается при вставании, сидении, малейшей физической нагрузке, ходьбе. Для остеохондроза с корешковым синдромом характерны и такие признаки:
- ограничение объема движений;
- снижение чувствительности пораженной области;
- уменьшение мышечного объема.
Нередко причиной болезненности копчика становится спондилолистез. Он развивается в результате травмы, дегенеративных изменений позвоночника, опухолей, когда смещается вышележащий позвонок по отношению к нижележащему.
Спондилолистез на МРТ.
Классификация
«Врачи скрывают правду!»
Даже «запущенные» проблемы с суставами можно вылечить дома! Просто не забывайте раз в день мазать этим…
>
В основе классификации болей в копчике лежат их локализация, интенсивность и иррадиация в расположенные поблизости участки тела.
Боль в копчике при вставании
Такая боль называется кокцигодинией. Она ощущается и в положении сидя на любой твердой поверхности. Но стоит человеку встать, как боль многократно усиливается. Дискомфортные ощущения локализованы непосредственно между ягодицами и не распространяются на соседние области тела.
Боль в копчике в сидячем положении
Аноректальные боли всегда возникают в положении сидя, а их выраженность при подъеме практически не изменяется. Причины их многочисленны, обычно связаны с протекающим в окружающих тканях воспалительным процессом.
Методы диагностики
Диагноз выставляется на основании внешнего осмотра пациента, его жалоб, наличия травм, воспалительных или дегенеративно-дистрофических заболеваний в анамнезе.
Пальпация
На источник дискомфорта указать болезненность при пальпации. При надавливании на копчик, пояснично-крестцовые позвонки, области расположения мышц, связок, сухожилий возникают неприятные ощущения различной интенсивности. Если при увеличении механического воздействия выраженность болей не изменяется, то, вероятнее всего, они являются отраженными. Наиболее информативна пальпация через прямую кишку. Таким способом оценивается подвижность структур копчика, исключаются новообразования в толстом кишечнике и влагалище.
МРТ, УЗИ
С помощью УЗИ можно диагностировать патологии опорно-двигательного аппарата на ранней стадии развития. Исследование проводится для оценки состояния кровеносных сосудов, расположенных около копчика и в органах малого таза. УЗИ — самая безопасная диагностическая процедура, позволяющая с высокой точностью обнаружить опухоли и воспалительные процессы в брюшной полости.
На полученных при МРТ изображениях отчетливо визуализируются мягкие, хрящевые, костные структуры. Диагностическая манипуляция часто используется при неинформативности других процедур.
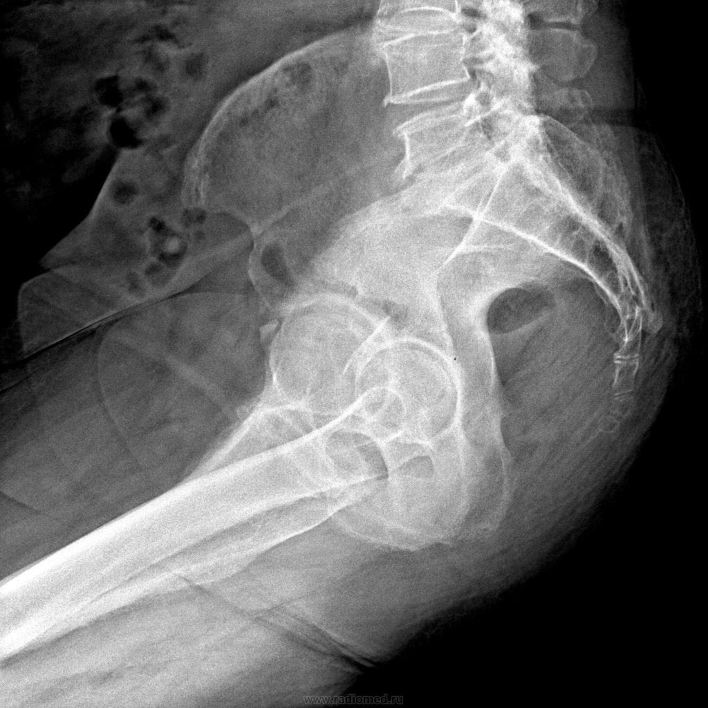
Рентген
Исследование помогает выявить причины, приведшие к болезненности копчика. С помощью рентгенографии можно диагностировать поясничный остеохондроз, межпозвоночную грыжу, спондилолистез. Процедура позволяет установить также стадию заболевания, степень поражения тканей, количество возникших осложнений.
Рентген копчика.
Когда и к какому врачу обращаться
Не станет ошибкой обращение к врачу широкого профиля — терапевту. После обследования, выявления причины болей в копчике или при подозрении на определенную патологию пациент будет направлен к другому специалисту. Если больной заранее предполагает, что спровоцировало дискомфорт внизу спины, то целесообразно сразу записаться на прием к травматологу, невропатологу, ортопеду, эндокринологу, вертебрологу.
Вопросы доктора во время приема
На приеме врач обычно просит рассказать о том, когда появились боли, об их продолжительности и интенсивности. Выставить диагноз помогает установление факторов, предшествующих болезненности в копчике. Врач расспросит, не было ли недавно сильных ударов в спину, ушибов при падении.
Лечение боли в копчике
Болезненность копчика не исчезнет, пока не будет вылечена спровоцировавшая ее патология. К терапии практикуется комплексный подход с использованием препаратов, ЛФК, массажных и физиопроцедур.

Нестероидные противовоспалительные препараты
Для полного устранения острых болей применяются НПВП для парентерального введения: Диклофенак, Мовалис, Мелоксикам, Кеторолак, Ортофен. С болями средней выраженности быстро справляются капсулы, драже, таблетки — Ибупрофен, Кетопрофен, Целекоксиб, Нимесулид, Эторикоксиб. Избавиться от слабых, тянущих, ноющих ощущений можно нанесением мазей и гелей (Фастум, Вольтарен, Найз, Артрозилен, Кеторол).
Слабительные
Боли в копчике часто возникают во время опорожнения кишечника. Человек начинает оттягивать посещение туалета, что приводит к запору, больше неврогенного происхождения. Поэтому врачи назначают пациентам слабительные в таблетках, каплях, жевательных пластинках, порошках для растворения в воде (Гутталакс, Слабилен, Сенаде).
Местные анестетики
При малоэффективности таблеток и мазей практикуется введение растворов анестетиков (Новокаин, Лидокаин) в мягкие ткани, расположенные около копчика. Если кокцигодиния спровоцирована мышечным спазмом, то удается ее устранить на длительное время.
Специальные подушки
В аптеке или магазине медтехнике можно приобрести специальное ортопедическое приспособление — подушку, имеющую форму клина или плоского валика. Ее использование снижает интенсивность болей, становится хорошей профилактикой их появления.
Подушка для сидения.
Физиотерапия
Хроническая болезненность копчика нередко осложняется постоянной спазмированностью расположенных около него мышц. Наиболее эффективны методы лечения с использованием физических факторов. Это магнитотерапия, лазеротерапия, УВЧ-терапия, ударно-волновая терапия, дарсонвализация.
https://youtube.com/watch?v=ShAX1C95a3s
Лечебная физкультура
На этапе реабилитации врач ЛФК составляет индивидуальную программу занятий лечебной физкультурой. Регулярные тренировки способствуют укреплению мышц и связочно-сухожильного аппарата, ускорению кровообращения и микроциркуляции.

Хирургическое вмешательство
Операции проводятся при неэффективности консервативного лечения в течение нескольких месяцев, при болях, не устраняемых медикаментозно, или при осложненной патологии. В некоторых случаях требуется кокцикотомия, или удаление копчиковой кости.
Народная медицина
После проведения основного лечения на этапе восстановления могут использоваться народные средства: настои, отвары, компрессы, растирки, мази домашнего изготовления. Но их применение должно быть согласовано с врачом.
Облегчение в домашних условиях
Устранить болезненность помогают НПВП в таблетках. Но применять их дольше недели нельзя, так как они провоцируют изъязвление слизистой желудка. Лучше использовать средства для локального нанесения — обезобливающие мази, гели, кремы. Снизить выраженность болевого синдрома можно с помощью ортопедических подушек и бандажей.
Диета при заболевании
Улучшить самочувствие часто помогает изменение рациона. В ежедневном меню должны преобладать продукты с грубой клетчаткой — злаковые, овощи, фрукты, а вот количество мяса следует минимизировать. Это позволит нормализовать перистальтику, ускорить регенерацию поврежденных тканей.
Возможные осложнения
Если больной не обращается за медицинской помощью при появлении первых симптомов, то в патологию постепенно вовлекаются здоровые ткани и органы. Возникают осложнения, затрагивающие работу многих систем жизнедеятельности — пищеварительной, сердечно-сосудистой. Возможно перерождение доброкачественной опухоли в злокачественную.
Профилактика обострений
Избежать болезненных рецидивов позволит соблюдение всех рекомендаций врача при проведении лечения и в восстановительный период. Нельзя переохлаждаться, подвергать пояснично-крестцовый отдел избыточным физическим нагрузкам. Необходимо регулярно посещать врача для осмотра и оценки состояния органов малого таза.
Прогноз
При своевременно начатом лечении любой патологии, провоцирующей боли в копчике при вставании и сидении, прогноз на полное выздоровление благоприятный.

Похожие статьи
Как забыть о болях в суставах?
- Боли в суставах ограничивают Ваши движения и полноценную жизнь…
- Вас беспокоит дискомфорт, хруст и систематические боли…
- Возможно, Вы перепробовали кучу лекарств, кремов и мазей…
- Но судя по тому, что Вы читаете эти строки — не сильно они Вам помогли…
Но ортопед Валентин Дикуль утверждает, что действительно эффективное средство от боли в суставах существует! Читать далее >>>
загрузка…
Источник









