Анализ крови — важный инструмент для диагностики заболеваний, и одним из ключевых показателей являются моноциты. Повышенный уровень этих клеток может указывать на воспалительные процессы, инфекции или другие патологии. В статье рассмотрим, что означает повышенное содержание моноцитов, причины этого состояния и его влияние на здоровье. Понимание этих аспектов поможет читателям лучше интерпретировать результаты анализов и своевременно обратиться за медицинской помощью.
Основные функции
Моноциты являются самыми крупными и активными клетками в составе лейкоцитарной формулы. Они образуются в костном мозге и с кровотоком распространяются по всему организму. Их жизненный цикл короток, однако на смену зрелым клеткам постоянно вырабатываются новые молодые.
Значение моноцитов для здоровья организма трудно переоценить. Их функции включают:
- В случае угрозы, например, при попадании патогенных микроорганизмов в любой орган или ткань, зрелые моноциты активно атакуют агрессивных захватчиков.
- Они трансформируются в гистиоциты – тканевые макрофаги, которые поглощают чуждые клетки, такие как бактерии и вирусы, а также продукты их жизнедеятельности. Эти клетки способны справляться даже с патогенами, которые обитают в кислой среде желудка.
- Моноциты обеспечивают окончательное разрушение и выведение мертвых болезнетворных клеток.
- После очистки организма от «мусора» макрофаги передают информацию новому поколению моноцитов, что позволяет последним быстро распознавать патогенные (чуждые) клетки и защищать организм от различных патологий.
- Моноциты могут поглощать крупные чуждые агенты, с которыми не могут справиться нейтрофилы, обладающие аналогичными свойствами.
- К дополнительным функциям белых клеток крови следует отнести их способность предотвращать образование тромбов в сосудах. Кроме того, они участвуют в процессе кроветворения.
- Моноциты представляют собой серьезную угрозу для злокачественных клеток, способствуя развитию некротических процессов в них. Они также помогают восстанавливать ткани, поврежденные онкологическими или воспалительными процессами.
Важно постоянно контролировать уровень этих клеток в крови. Превышение нормальных значений может свидетельствовать о наличии серьезных заболеваний, негативно влияющих на состояние иммунной системы.
Повышенные моноциты в анализе крови могут свидетельствовать о различных состояниях организма. Врачи отмечают, что моноциты — это тип белых кровяных клеток, которые играют важную роль в иммунной системе, отвечая за защиту от инфекций и воспалений. Увеличение их количества может быть связано с инфекционными заболеваниями, такими как вирусные или бактериальные инфекции, а также с хроническими воспалительными процессами.
Кроме того, повышенные моноциты могут указывать на наличие аутоиммунных заболеваний или даже злокачественных опухолей. Важно отметить, что интерпретация результатов анализа должна проводиться в контексте других клинических данных и симптомов пациента. Врачи рекомендуют не паниковать при обнаружении повышенных моноцитов, а обратиться к специалисту для дальнейшего обследования и установления точной причины изменения в анализе крови.
https://youtube.com/watch?v=GPHJ8zx4x08
Классификация и нормы
Хотя моноциты составляют лишь около 8 % от общего числа белых кровяных клеток, их уровень имеет значительное значение для диагностики.
При анализе учитывается не только общее количество моноцитов, но и их соотношение с другими типами лейкоцитов, такими как нейтрофилы, базофилы и эозинофилы.
Помимо различия между зрелыми и молодыми моноцитами, важно рассмотреть еще два показателя: относительные и абсолютные значения.
Нормальное относительное содержание моноцитов определяется их долей среди всех лейкоцитов. У взрослых это значение стабильно и колеблется от 3 до 11 процентов. Если уровень превышает норму, это называется относительным моноцитозом.
Абсолютное количество моноцитов указывает на их общее число в одном литре крови. Нормальные значения находятся в диапазоне от 0.04 до 0.7 млн/л. Изменения в этих показателях могут указывать на абсолютный моноцитоз.
Отклонения от указанных норм могут свидетельствовать о наличии заболеваний и требуют дальнейшего обследования для выяснения причин.
Важно отметить, что указанные нормы одинаковы для мужчин и женщин.
| Показатель | Значение | Возможное значение |
|---|---|---|
| Моноциты (MONO) | Повышены | Инфекции: бактериальные (туберкулез, сифилис), вирусные (мононуклеоз, корь, краснуха), грибковые, паразитарные. |
| Воспалительные заболевания: ревматоидный артрит, системная красная волчанка, болезнь Крона, язвенный колит. | ||
| Онкологические заболевания: лейкозы (особенно миеломоноцитарный), лимфомы, другие опухоли. | ||
| Заболевания крови: миелодиспластический синдром, хронический миелолейкоз. | ||
| Восстановительный период после инфекций или травм. | ||
| Прием некоторых лекарственных препаратов: кортикостероиды, некоторые антибиотики. | ||
| Стресс, физические нагрузки. | ||
| Другие показатели крови (для комплексной оценки) | Лейкоциты (WBC) | Повышены: инфекция, воспаление, лейкоз. |
| Понижены: вирусные инфекции, угнетение костного мозга. | ||
| Нейтрофилы (NEUT) | Повышены: бактериальная инфекция, воспаление. | |
| Понижены: вирусная инфекция, угнетение костного мозга. | ||
| Лимфоциты (LYM) | Повышены: вирусная инфекция, хронические инфекции. | |
| Понижены: иммунодефицит, стресс. | ||
| СОЭ (ESR) | Повышена: воспаление, инфекция, онкология. | |
| С-реактивный белок (CRP) | Повышен: острое воспаление, инфекция. |
Как определяется количество моноцитов
Для определения уровня моноцитов проводится расширенный клинический (общий) анализ крови.
В этом анализе детально расшифровываются все элементы лейкоцитарной группы.
Для исследования используется венозная или капиллярная кровь. Главное правило подготовки: анализ следует сдавать утром натощак.
https://youtube.com/watch?v=dGNq459J3hc
Причины нарушений
Концентрация моноцитов в крови считается одним из ключевых показателей здоровья человека и важным маркером для выявления серьезных заболеваний, которые могут развиваться в организме.
Повышенное количество моноцитов в крови является тревожным сигналом, который в первую очередь может указывать на наличие инфекционных заболеваний. Также стоит учитывать возможность проникновения внутриклеточных паразитов или различных грибков.
Обнаружение увеличенного уровня этих белых кровяных клеток может свидетельствовать о наличии различных заболеваний, среди которых наиболее опасными являются:
- Туберкулез, сифилис, бруцеллез, кандидоз и другие системные болезни.
- Тиф и венерические инфекции.
- Заболевания, связанные с нарушениями в системе кроветворения: остеомиелофиброз, лейкоз, полицитемия, хронический миелолейкоз.
- Полиартрит, псориатический и ревматоидный артрит, системная красная волчанка.
- Ревматизм и эндокардит.
- Заболевания органов пищеварения, такие как колит и энтерит.
- Злокачественные опухоли различной локализации, лимфогранулематоз.
- Аутоиммунные заболевания.
Выявление повышенного уровня моноцитов требует более детального обследования и предоставляет возможность начать лечение на ранних стадиях заболевания. Это помогает предотвратить развитие состояний, которые могут привести к серьезным последствиям, включая летальный исход.
Другие факторы
Увеличение числа моноцитов может быть связано с ослаблением иммунной системы, что происходит по следующим причинам:
- перенесенные вирусные инфекции, такие как грипп и ОРВИ;
- ревматические заболевания, затрагивающие суставы и сердце;
- состояние пациентов после хирургических вмешательств.
При диагностике важно учитывать все показатели лейкоцитарной формулы. Это позволяет оценить степень и стадию заболевания, а также разработать план дальнейшего обследования для выбора наиболее эффективного метода лечения.
Когда высокие показатели не считаются опасными
Существуют случаи, когда уровень моноцитов может быть немного повышен из-за аллергической реакции. Это состояние, как правило, не вызывает серьезных опасений, поскольку уровень моноцитов восстанавливается после устранения аллергена.
Начало некоторых заболеваний у детей, таких как скарлатина, ветряная оспа и корь, также может сопровождаться умеренным увеличением количества моноцитов. Это происходит потому, что организм активирует свои защитные механизмы для борьбы с инфекцией.
Кроме того, повышенное содержание моноцитов в процессе выздоровления может указывать на положительные изменения в состоянии здоровья.
Причины повышения у женщин
Важно подчеркнуть, что характерные черты женской физиологии могут способствовать увеличению уровня моноцитов.
Во время беременности может наблюдаться отклонение от нормальных показателей из-за попадания в организм различных инфекций, таких как ОРВИ, герпес или грипп.
Кроме того, моноцитоз часто проявляется в первом триместре. Это связано с увеличением общего числа лейкоцитов и необходимостью усиления иммунной защиты организма в период вынашивания ребенка.
Также стоит отметить, что прерывание беременности с помощью аборта может привести к повышению уровня белых кровяных клеток.
Методы нормализации значений
Следует подчеркнуть, что специфические симптомы, указывающие на увеличение уровня моноцитов, отсутствуют.
Тем не менее, если вы замечаете у себя признаки общего недомогания и медленное восстановление после даже незначительных заболеваний, это должно стать поводом для проведения клинического анализа крови.
Выявление отклонений от нормальных показателей служит основанием для дальнейшего обследования, которое поможет установить заболевание, ставшее причиной повышения уровня лейкоцитов.
Не существует универсальных методов лечения моноцитоза, так как это состояние не является отдельным заболеванием, а лишь симптомом, указывающим на наличие патологии. Поэтому основное внимание уделяется лечению заболевания, вызвавшего увеличение моноцитов.
Если повышение уровня моноцитов связано с реакцией организма на грибковую инфекцию, лечение будет сосредоточено на ее устранении. В таких случаях показатели крови быстро приходят в норму.
Однако при наличии более серьезных заболеваний, таких как лейкоз или онкология, процесс снижения уровня моноцитов может быть более сложным и длительным. Тактика лечения будет сосредоточена на борьбе с тяжелым недугом.
Важность нормальных показателей
Своевременное обнаружение отклонений от нормы позволяет предпринять необходимые меры, провести дополнительную диагностику и предотвратить развитие серьезных заболеваний, которые могут угрожать здоровью или жизни пациента.
Важно осознавать, что самостоятельно нормализовать показатели, даже при небольших отклонениях, невозможно.
Только раннее обращение к врачам и строгое соблюдение их рекомендаций помогут избежать нежелательных последствий.
Таким образом, основным принципом борьбы с любыми заболеваниями следует считать регулярное прохождение профилактических осмотров, которые включают лабораторные и инструментальные методы диагностики.
Любое изменение в лейкоцитарной формуле в расширенном анализе крови вызывает множество вопросов. Иногда у пациента фиксируется повышенный уровень моноцитов.
Что означает повышенное содержание моноцитов и является ли это состояние опасным? На эти вопросы нельзя дать однозначный ответ. Изменение уровня моноцитов анализируется в сочетании с другими показателями лейкоцитарной формулы и принимается во внимание при постановке диагноза, наряду с жалобами пациента и результатами других исследований.
Тем не менее, по уровню моноцитов в крови можно сделать предположение о наличии того или иного заболевания, его стадии и, при повторном анализе, оценить эффективность проводимого лечения.
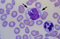
Моноциты — что это такое?
Моноциты в анализе крови
Моноциты представляют собой разновидность лейкоцитов, главной задачей которых является защита организма от чуждых веществ в крови. Эти клетки играют важную роль в иммунной системе и обладают уникальной особенностью. В отличие от лимфоцитов, нейтрофилов и других фагоцитов, которые погибают при первом контакте с патогенными агентами, моноциты могут многократно участвовать в борьбе, поглощая достаточно крупные инородные частицы.
В зрелом состоянии моноциты находятся в крови не более трех суток, после чего они мигрируют в лимфатические узлы, костный мозг, печень и селезенку. Из этих тканевых моноцитов, известных как гистиоциты, образуются клетки Лангерганса в печени, а в кровоток поступает новая партия моноцитов.
Ключевые функции моноцитов:
- уничтожение патогенных микроорганизмов (включая вирусы и бактерии);
- удаление мертвых лейкоцитов и очищение воспалительных очагов;
- выведение отмерших клеток и содействие регенерации тканей;
- активация синтеза интерферонов и передача информации другим иммунным клеткам о своих и чужих;
- растворение тромбов;
- распознавание и уничтожение опухолевых клеток.
Норма моноцитов по возрастам
В диагностике важно учитывать не только общее количество моноцитов, измеряемое на 1 литр крови, но и их процентное соотношение в лейкоцитарной формуле. Эти показатели могут изменяться в зависимости от возраста пациента. Нормальные значения моноцитов (как абсолютное количество, так и процентное содержание) следующие:
- Взрослые — 0 — 0,08х10^9/л, 3-11%;
- Беременные — 3,9 — 4,5% (показатель увеличивается по мере роста срока беременности);
- Дети — 0,05 — 1,1х10^9/л, 2-15% (максимальные нормы в процентном соотношении наблюдаются в первые две недели после рождения).
Если уровень моноцитов превышает верхнюю границу нормы, это свидетельствует о наличии моноцитоза в крови.
Моноциты повышены — о чем это говорит?
Что означает повышение уровня моноцитов?
Увеличение как абсолютного, так и процентного содержания моноцитов в крови не всегда свидетельствует о наличии серьезного заболевания. Ситуации, когда уровень моноцитов повышается у взрослых или детей, могут возникать в следующих случаях:
- После перенесенных инфекций, особенно в период восстановления после ветряной оспы, скарлатины и других детских болезней;
- При любых аллергических реакциях, даже незначительных, таких как кожные высыпания;
- После хирургических операций, например, при аппендиците или гинекологических заболеваниях.
Повышенные значения моноцитов в таких ситуациях объясняются компенсаторным механизмом, который активирует фагоцитарное звено лейкоцитов: вместо погибших лимфоцитов и эозинофилов в кровь поступают моноциты.
Увеличение уровня моноцитов в процессе выздоровления после болезни — это положительный признак, который не должен вызывать беспокойства.
Более серьезной ситуацией является стойкий моноцитоз, когда высокие показатели фиксируются при повторной сдаче крови. Повышенные моноциты могут указывать на следующие серьезные причины для беспокойства:
- Тяжелые инфекции — такие как кандидозы (грибковые инфекции половых органов, кишечника и т. д.), малярия, бруцеллез, сифилис, туберкулез и другие специфические бактериальные заболевания;
- Паразитарные инфекции кишечника — глисты, которые при отсутствии лечения могут вызывать изменения, приводящие к повышению моноцитов у детей;
воспалительные заболевания кишечника — энтерит, колит; - Ревматические заболевания — артриты, эндокардиты;
- Системные болезни — саркоидоз, ревматоидный полиартрит, системная красная волчанка;
- Заболевания крови — тромбоцитопеническая пурпура, лейкоз, сепсис;
- Злокачественные опухоли различной локализации, включая лимфогранулематоз (болезнь Ходжкина) — повышенные моноциты могут быть единственным признаком на ранних стадиях онкологических заболеваний.
Почему моноциты понижены, что это значит?
Сниженные уровни моноцитов свидетельствуют о нарушениях в системе кроветворения и ослаблении иммунной защиты. В таких условиях в организме создаются благоприятные условия для быстрого распространения инфекций: иммунная система не получает сигналов о наличии патогенных микроорганизмов, и воспалительный процесс может стремительно развиваться.
Низкий уровень моноцитов (моноцитопения) указывает на неспособность организма эффективно справляться с инфекциями. Это состояние может возникать в следующих ситуациях:
- Первые семь дней после родов — показатели восстанавливаются самостоятельно без необходимости в медикаментозном вмешательстве;
- Стрессовые ситуации или физическое перенапряжение — уровень моноцитов возвращается к норме после полноценного отдыха;
- Длительное соблюдение строгих диет и режимов голодания, что приводит к общему истощению организма;
- Хронические инфекции, такие как сыпной или брюшной тиф;
- Продолжительная лихорадка;
- Применение гормональных препаратов, иммунодепрессантов, а также химио- и радиотерапия;
- Полное подавление функции кроветворения, например, при апластической анемии, значительной кровопотере или шоковых состояниях (обширные ожоги, тяжелые травмы и т. д.);
- Генерализованные воспалительные процессы — сепсис, гангрена.
Лимфоциты и моноциты повышены \ понижены
Для правильной диагностики необходимо учитывать увеличение количества моноцитов в контексте изменений других лейкоцитарных клеток.
Наиболее распространенные реакции крови:
1) Увеличение лимфоцитов и моноцитов свидетельствует о том, что организм активно борется с инфекцией и демонстрирует хорошую иммунную реакцию. Сильно повышенные уровни этих клеток во время острого вирусного заболевания могут указывать на необходимость применения противовирусных препаратов или на присоединение бактериальной инфекции. При этом часто наблюдается снижение нейтрофилов. Высокие значения обоих типов лейкоцитов в период выздоровления подтверждают отсутствие осложнений и быстрое восстановление организма.
2) Повышение моноцитов и эозинофилов всегда указывает на наличие аллергической реакции. Такие изменения могут также свидетельствовать о глистной инвазии, при которой у пациентов иногда наблюдается сухой кашель, несмотря на отсутствие воспалительных процессов в дыхательных путях.
3) Снижение уровня лимфоцитов и повышение моноцитов может быть вызвано бактериальной инфекцией, часто тонзиллитом или воспалением дыхательных путей. В этом случае также наблюдается увеличение нейтрофилов, а у пациента могут проявляться высокая температура, кашель и насморк с гнойными выделениями, хрипы в легких и другие характерные симптомы. Изменения в анализе крови должны вызывать беспокойство и могут означать начало процесса выздоровления.
4) Одновременное увеличение моноцитов и базофилов может наблюдаться при длительной гормональной терапии.
5) Повышенные лимфоциты и пониженные моноциты могут быть следствием медикаментозного лечения. Однако значительное снижение моноцитов (особенно длительное отсутствие этих клеток в крови) часто вызывает подозрения на онкологические заболевания.
Заключение
Хотя уровень моноцитов является важным показателем в анализе крови, его недостаточно для постановки диагноза. Изменение этого показателя лишь указывает на наличие развивающегося или недавно перенесенного воспалительного процесса. Ключевым является абсолютное количество моноцитов в анализе, тогда как процентные соотношения помогают понять характер иммунной реакции на патогенные факторы.
Максимально полную информацию о характере и стадии заболевания врач получает при анализе всей лейкоцитарной формулы крови с учетом жалоб пациента. Значительные колебания или устойчивые изменения уровня моноцитов требуют тщательного обследования организма (включая инструментальные методы), по результатам которого лечащий врач сможет назначить эффективное лечение.
Когда у взрослого человека наблюдается повышение моноцитов, он обычно ощущает недомогание. Причины этого состояния люди часто ищут в различных факторах, но не в анализах крови. Это неудивительно, ведь повышение моноцитов — это не заболевание, а лишь один из симптомов, который выявляется только в анализе крови. Что такое моноциты и какие причины моноцитоза? Почему уровень моноцитов в крови может быть повышен?
Что такое моноциты?
Название клеток крови, известных как моноциты, происходит от древнегреческого слова, означающего «одна клетка». Моноцит, или мононуклеарный фагоцит, представляет собой крупный одноядерный лейкоцит с незернистой структурой, что относит его к группе агранулоцитов. Эти клетки имеют овальную форму и содержат ядро, богатое хроматином, напоминающее фасоль, а также значительное количество цитоплазмы с лизосомами.
В анализах крови моноциты рассчитываются в процентном соотношении к общему числу лейкоцитов (относительное количество). Нормальные значения моноцитов в крови варьируются от 3 до 11%. Абсолютное количество моноцитов составляет в среднем 450 клеток на 1 мкл (микролитр). В лабораторных анализах моноциты обозначаются как mono, а абсолютный показатель — моноциты абс.
Для людей, не знакомых с медициной, цифры в общем анализе крови могут вызывать тревогу, независимо от того, повышены или понижены моноциты. Однако моноцитоз, то есть увеличение числа моноцитов, встречается довольно часто и может быть временным, вызванным различными факторами. Даже употребление жирной пищи перед сдачей анализа, например, куриного окорочка или борща с мясом, может повлиять на уровень моноцитов, что отразится в результатах анализа.
Моноциты формируются в костном мозге, откуда молодые клетки попадают в кровь. Кроме того, они присутствуют в лимфоузлах, печени и селезенке. В активном состоянии агранулоциты находятся в плазме крови в течение 2-3 дней, после чего они либо превращаются в макрофаги, либо распадаются на апоптотические тельца, окруженные плазматической мембраной.
Функции моноцитов в организме включают:
- Ускорение восстановительных процессов в тканях;
- Регуляцию гемопоэза (образования крови);
- Укрепление иммунной системы;
- Борьбу с опухолями различной природы;
- Содействие в образовании интерферонов — веществ, обеспечивающих противовирусный иммунитет.
Как макрофаги, эти клетки крови способны поглощать крупные микроорганизмы, патогенные клетки и антитела, с которыми не могут справиться нейтрофилы и эозинофилы. В отличие от моноцитов, нейтрофилы и эозинофилы погибают сразу после фагоцитирования.
| Возраст | Процентное содержание моноцитов (%) |
| от 1 до 15 дней | 5 — 15 |
| от 15 дней до 12 месяцев | 4 — 10 |
| 12 месяцев — 2 года | 3 — 10 |
| 2 года — 15 лет | 3 — 9 |
| от 15 лет и старше | 3 — 11 |
Мононуклеарные (одноядерные) фагоциты играют важную роль в восстановлении нервных волокон. В поврежденных отростках нейронов моноциты поглощают остатки миелина и вырабатывают протеин Е, который участвует в регенерации.
Причины повышения моноцитов в крови?
Моноциты у взрослых обычно находятся в диапазоне от 2 до 11%. Что может вызвать их повышение? При возникновении воспалительных процессов, внедрении паразитов или образовании злокачественных опухолей фагоциты начинают активно размножаться, что приводит к увеличению их доли в крови за короткий срок. Состояние, при котором уровень моноцитов превышает норму, называется моноцитозом.
Когда анализ крови показывает повышенное содержание моноцитов у взрослого человека, врачи направляют пациента на дополнительные исследования, чтобы подтвердить или опровергнуть наличие инфекции. К числу инфекционных заболеваний, которые могут быть связаны с моноцитозом, относятся:
- Туберкулез,
- Сифилис,
- Бруцеллез,
- Энтероколит (воспаление тонкого и толстого кишечника, часто сопровождающее кишечные инфекции, такие как дизентерия, сальмонеллез и другие).
Моноцитоз может быть вызван различными инфекциями, включая грибковые, вирусные и паразитарные заболевания. При выявлении той или иной инфекции начинается комплексное лечение. Если инфекция не обнаруживается, назначаются дополнительные анализы крови для диагностики гематологических заболеваний, таких как лейкоз, лимфогранулематоз и тромбоцитопеническая пурпура.
Также моноцитоз может возникать при онкологических заболеваниях, начиная от миеломы (опухоли в костном мозге). Однако не стоит паниковать, увидев повышенное количество моноцитов в анализе. Стресс и самовнушение могут нанести вашему здоровью больший вред, чем сам моноцитоз.
К повышению уровня моноцитов также могут привести такие серьезные и трудноизлечимые заболевания, как ревматизм и красная волчанка. Кроме того, отравления хлорорганическими и фосфорорганическими соединениями также могут стать причиной моноцитоза.
Симптомы, указывающие на моноцитоз
У моноцитоза практически нет специфических симптомов. Однако он может сопровождаться проявлениями различных заболеваний.
К числу таких проявлений относятся:
- Необъяснимая потеря аппетита или его снижение, а также отвращение к мясным продуктам, что может привести к снижению веса;
- Увеличенная утомляемость и общая слабость;
- Чувство тревоги и панические атаки;
- Проблемы с желудочно-кишечным трактом;
- Боли в мышцах и суставах.
Наличие нескольких из этих симптомов является поводом для проведения анализа крови и консультации с врачом.
https://youtube.com/watch?v=emMP6Y9v-jQ
Повышенные моноциты в крови у женщин
У женщин многие показатели имеют свои особенности, в том числе и уровень моноцитов, который зависит от репродуктивной функции.
Мононуклеарные фагоциты присутствуют в половой системе женщины и активно участвуют в контроле воспалительных процессов в организме. Моноциты достаточно чувствительны к изменениям гормонального фона и в некоторых случаях могут подавлять репродуктивные функции. К сожалению, роль этих лейкоцитарных агранулоцитов еще не до конца изучена.
Тем не менее, проводились исследования, направленные на изучение влияния контрацептивов на моноциты, чтобы определить, какие противозачаточные средства оказывают наименьшее негативное воздействие на организм. Известно, что активность моноцитов в различных физиологических процессах сопровождается изменениями их функциональной активности. При активации моноцитов наблюдается увеличение выделения лизосомных ферментов, что связано со стабильностью или изменчивостью мембран лизосом.
Для лучшего понимания сути исследования напомним, что лизосома — это небольшой органоид в клетке, окруженный мембраной. Внутри лизосомы поддерживается кислая среда, способная разрушать патогенные клетки и микроорганизмы. Лизосома можно рассматривать как «желудок» клетки.
Не будем углубляться в детали и механизмы, но отметим, что в исследовании участвовали женщины, которые:
- принимали оральные контрацептивы (КОК), содержащие эстрогены и прогестины,
- использовали презервативы,
- применяли внутриматочную контрацепцию (спирали).
Следует отметить, что наивысшая стабильность мембран лизосом была зафиксирована у женщин, принимавших оральные контрацептивы на основе природных или синтетических гормонов. На механические барьеры иммунная система реагировала повышением изменчивости мембран лизосом и выбросом ферментов. Не трудно предположить, что организм воспринимает механическую контрацепцию как чуждое, что приводит к увеличению числа моноцитов. Несмотря на соблюдение правил личной гигиены, полностью защититься от патогенных микроорганизмов невозможно. Однако незначительное увеличение уровня моноцитов в крови может служить защитным барьером против мочеполовых инфекций. Результаты исследований женской крови часто показывают, что уровень моноцитов может быть повышен, так как их количество в организме женщины варьируется в зависимости от фаз менструального цикла.
Диагностика и обследование
Для диагностики повышенных моноцитов в крови необходимо провести комплексное обследование, которое включает в себя как лабораторные, так и клинические методы. Первым шагом является общий анализ крови, который позволяет определить уровень моноцитов и оценить их процентное соотношение к другим клеткам крови. Нормальные значения моноцитов варьируются от 2% до 8% от общего числа лейкоцитов, и их повышение может указывать на различные патологические состояния.
Если уровень моноцитов превышает норму, врач может назначить дополнительные исследования для выяснения причины этого изменения. К таким исследованиям относятся:
- Биохимический анализ крови: позволяет оценить функцию органов и выявить возможные воспалительные процессы.
- Иммунологические тесты: помогают определить наличие аутоиммунных заболеваний, которые могут приводить к повышению моноцитов.
- Микробиологические исследования: могут быть назначены для выявления инфекций, особенно если есть подозрение на бактериальную или вирусную природу заболевания.
- КТ или МРТ: в некоторых случаях может потребоваться визуализация органов для выявления опухолей или других патологий.
Важно также учитывать клинические проявления, которые могут сопровождать повышение моноцитов. К ним относятся:
- Лихорадка и озноб;
- Увеличение лимфатических узлов;
- Симптомы, указывающие на инфекцию (кашель, боль в горле, высыпания и т.д.);
- Общие симптомы, такие как усталость, слабость и потеря аппетита.
На основании собранной информации врач сможет установить диагноз и назначить соответствующее лечение. Важно помнить, что повышение моноцитов не является самостоятельным заболеванием, а лишь симптомом, который требует дальнейшего изучения и анализа.
Лечение заболеваний, связанных с повышением моноцитов
Повышенные уровни моноцитов в крови могут свидетельствовать о различных заболеваниях и состояниях организма. Лечение таких состояний зависит от основного заболевания, которое вызывает увеличение количества моноцитов. Важно отметить, что само по себе повышение моноцитов не является диагнозом, а лишь индикатором, который требует дальнейшего исследования.
Первым шагом в лечении является установление причины повышения моноцитов. Это может быть связано с инфекциями, воспалительными процессами, аутоиммунными заболеваниями или даже онкологическими заболеваниями. Например, при инфекциях, таких как туберкулез или вирусные инфекции, лечение может включать антибиотики или противовирусные препараты. В случае аутоиммунных заболеваний, таких как системная красная волчанка, может потребоваться применение кортикостероидов или иммунодепрессантов.
Если причиной повышения моноцитов является хроническое воспаление, то лечение может включать противовоспалительные препараты и изменение образа жизни, включая диету и физическую активность. Важно также учитывать психоэмоциональное состояние пациента, так как стресс может усугублять воспалительные процессы в организме.
В случаях, когда повышение моноцитов связано с онкологическими заболеваниями, необходима комплексная терапия, которая может включать химиотерапию, радиотерапию или хирургическое вмешательство. В таких ситуациях важно работать в команде с онкологом и другими специалистами для разработки индивидуального плана лечения.
Кроме того, регулярный мониторинг уровня моноцитов и других показателей крови является важной частью лечения. Это позволяет отслеживать динамику состояния пациента и корректировать терапию при необходимости. Важно также проводить профилактические мероприятия, направленные на укрепление иммунной системы и предотвращение инфекционных заболеваний.
В заключение, лечение заболеваний, связанных с повышением моноцитов, должно быть индивидуализированным и основываться на тщательном анализе состояния пациента. Консультация с врачом и выполнение всех его рекомендаций играют ключевую роль в успешном лечении и восстановлении здоровья.
Профилактика повышения моноцитов
Одним из основных аспектов профилактики является поддержание здорового образа жизни. Это включает в себя сбалансированное питание, богатое витаминами и минералами, регулярные физические нагрузки и достаточный уровень сна. Правильное питание помогает укрепить иммунную систему и снизить вероятность инфекционных заболеваний, которые могут привести к повышению моноцитов. Рекомендуется включать в рацион больше фруктов, овощей, цельнозерновых продуктов, а также источников белка, таких как рыба, птица и бобовые.
Регулярные физические нагрузки также способствуют укреплению иммунной системы и улучшению общего состояния организма. Умеренные аэробные упражнения, такие как ходьба, бег или плавание, помогают поддерживать нормальный уровень кровообращения и обмена веществ, что, в свою очередь, может снизить риск воспалительных процессов.
Важно также избегать стрессов и находить способы их управления. Хронический стресс может негативно влиять на иммунную систему и способствовать развитию различных заболеваний. Практики релаксации, такие как йога, медитация или дыхательные упражнения, могут помочь снизить уровень стресса и улучшить общее самочувствие.
Регулярные медицинские осмотры и анализы крови также играют важную роль в профилактике. Это позволяет своевременно выявлять возможные отклонения в состоянии здоровья и принимать необходимые меры. Если у вас есть предрасположенность к заболеваниям, связанным с повышением моноцитов, важно обсудить с врачом возможные меры профилактики и контроля состояния здоровья.
Наконец, следует помнить о важности вакцинации. Вакцины помогают предотвратить многие инфекционные заболевания, которые могут привести к повышению уровня моноцитов. Регулярная вакцинация, особенно против гриппа и других распространенных инфекций, может значительно снизить риск заболеваний и, как следствие, повышение моноцитов в крови.





